首页/关节/关节积脂血症,避免漏诊股骨干骨折合并的隐匿性股骨颈骨折!/
关节积脂血症,避免漏诊股骨干骨折合并的隐匿性股骨颈骨折!
2021-10-07 10:22:561303浏览
1%-9%的高能量股骨干骨折合并隐匿性同侧股骨颈骨折,隐匿性股骨颈骨折通常无移位,且19%-55%的隐匿性骨折在影像片上无阳性表现。

未明确诊断的股骨颈骨折,可能会导致计划外的二期手术,因此有学者建议对所有高能量股骨干骨折患者预防性固定股骨颈,但该方法显然并不经济。也有学者建议对所有高能量患者进行股骨颈MR扫描,但MR扫描等待时间长,费用高等仍使其临床应用受限。针对上述问题,有学者探讨在CT影像上,股骨颈骨折表现的关节积脂血症(lipohemarthrosis对股骨颈骨折的预测上是否存在价值。


Background(背景)

本研究的目的是研究对CT上伴有髋关节积脂血症形成表现的囊性征作为术前髋关节磁共振成像(MRI)或同侧股骨颈预防性固定的选择性指标的有效性,以预防因高能量股骨干骨折患者同侧隐匿性股骨颈骨折延迟诊断而导致的计划外手术。

[Background: The purpose of the present study was to investigate the effectiveness of using the computed tomography (CT) capsular sign with lipohemarthrosis of the hip joint as a selective indicator for preoperative magnetic resonance imaging (MRI) of the hip or prophylactic fixation of the ipsilateral femoral neck for the prevention of unplanned surgery due to delayed diagnosis of occult ipsilateral femoral neck fractures in patients with high-energy femoral shaft fractures.]

附:关节积脂血症(lipohemarthrosis)

关节积脂血症又称关节积脂血病、脂肪血性关节炎等,多见于严重的骨关节外伤,尤其是关节内骨折,以四肢大关节多见,最常见于膝关节和肩关节,其次是髋关节和踝关节。1.病理基础

发生关节囊内骨折后,从骨髓腔或撕裂的骨膜处溢出的脂肪组织和血液同时进入关节腔内。由于血液密度相对较大,沉于关节液之下,而脂肪密度相对小,漂浮于关节液之上,从而形成分层现象,即影像上所说的脂肪-血液界面征。

2.影像表现

   脂肪-血液界面征是关节积脂血症的基本影像征象,X线、CT、MRI均可见到。X线片表现X线片上脂肪-血液界面征的发现率较低,因为这与投照体位有着密切的联系。膝关节只有采取水平投照时、肩关节只有在立位前后位或后前位才容易发现脂肪-血液界面征。此外,X线上经常可以见到靠近关节处的骨折或骨折并脱位、周围软组织肿胀等伴发征象。

CT表现:CT可以清楚地显示关节腔内的脂肪和血液及两者形成的液-液平面,有时还可以出现3层,即上层为脂肪,中层为关节液,下层为血液。关节囊内的脂肪CT值约为-130~-100 HU,而关节囊内的血液CT值约为10~30 HU。有时出血和关节腔积液分辨不清,常被笼统地认为关节腔积液。

MRI表现:MRI是显示关节积脂血症的最佳影像方法。在MRI上,脂肪呈短T1、稍长T2(高T1、稍高T2)信号,血液为较稍长T1、稍长T2(稍低T1、稍高T2信号)信号,两者之间常可见到明显的液液界面。有时中间还可以显示长T1长T2(低T1高T2)信号的关节液层。在不同时期血液中的成分不同,MRI可以呈现为不同的信号。随着患者体位的改变,关节腔内的液一液平面亦会发生相应的改变,但高信号的脂肪层始终位于最上方。 

(本附关节积脂血症内容来自影像园。原文链接:http://www.xctmr.com/baike/ct/6761b6fd6cb13a7a9ae7d88297350e23.html)


Methods(方法)

我们评估了在术前未诊断同侧股骨颈骨折的高能量股骨干骨折患者在CT上由积脂血症表现的囊性征。当囊性扩张的左右差异> 1 mm,并且在CT软组织窗图像上看到积脂血症时,具有积脂血症的CT囊性征被认为是阳性的。关节积脂血症表现的阳性CT囊性征提示术前髋关节磁共振成像或用重建钉预防性固定股骨颈[Methods:We evaluated the CT capsular sign with lipohemarthrosis in patients with a high-energy femoral shaft fracture without a preoperative diagnosis of an ipsilateral femoral neck fracture. The CT capsular sign with lipohemarthrosis was considered positive when the side-to-side difference in anterior capsular distension was >1 mm and lipohemarthrosis was seen on soft-tissue-window CT images. A positive CT capsular sign with lipohemarthrosis prompts preoperative hip MRI or prophylactic femoral neck fixation with a reconstruction nail.]

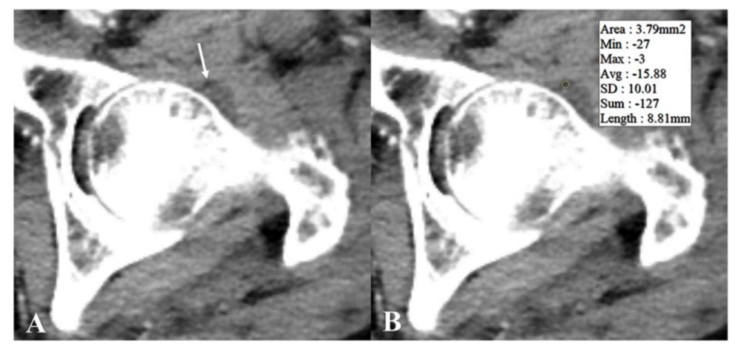
图1 CT软组织窗可见由关节积脂血症导致的囊性征(箭头所示)。测量图B黄色圈内CT值平均为-17。


Results(结果)

共连续纳入156名患者。8名患者术前被诊断为移位或轻微移位的同侧股骨颈骨折,而其余148名患者在X光片和骨窗CT图像上未显示同侧股骨颈骨折。在CT软组织窗图像上,148例患者中有29例(19.6%)CT囊性征阳性并伴有关节积脂血症。我们对3例患者进行了术前磁共振成像;在其余26名患者中,使用重建钉进行预防性股骨颈固定。我们在29例阳性患者中发现了5例隐匿性同侧股骨颈骨折:2例在术前MRI扫描中,2例分别在术后即刻的和术后6周的X线中被证实。在119名阴性患者中,未发现隐匿性同侧股骨颈骨折。所有隐匿性同侧股骨颈骨折均愈合,股骨颈无进一步移位。因此,不需要额外的计划外手术来治疗延迟诊断隐匿性同侧股骨颈骨折。[Results:One hundred and fifty-six consecutive patients were included. Eight patients were preoperatively diagnosed with a displaced or hairline ipsilateral femoral neck fracture, whereas the remaining 148 patients showed no ipsilateral femoral neck fracture on radiographs and bone-window CT images. On soft-tissue-window CT images, 29 (19.6%) of the 148 patients had a positive CT capsular sign with lipohemarthrosis. We performed preoperative MRI for 3 patients; in the remaining 26 patients, prophylactic femoral neck fixation was performed with a reconstruction nail. We identified 5 occult ipsilateral femoral neck fractures among the 29 patients with a positive sign: 2 on preoperative MRI scans, 2 on

immediate postoperative radiographs, and 1 on radiographs made 6 weeks postoperatively. In 119 patients with a negative sign, no occult ipsilateral femoral neck fracture was identified. All occult ipsilateral femoral neck fractures healed without further displacement of the femoral neck. Consequently, additional unplanned surgery for delayed diagnosis of occult ipsilateral femoral neck fracture was not required.]

图2 所有纳入病例的研究方法。

图3 一例高能量股骨干骨折(A)。图B可见在CT骨窗上,未见骨折线,在软组织窗(C)上,可见由关节积脂血症导致的囊性征。因此予以固定股骨颈。在术后6周复查(E),可见明显骨折线。

Conclusion(结论)

在高能量股骨干骨折患者中,使用伴有关节积脂血症的CT囊性征作为术前髋关节磁共振成像或重建钉预防性股骨颈固定的选择性指标,可有效防止因同侧隐匿性股骨颈骨折延迟诊断而导致的计划外手术。

[Conclusion: The use of the CT capsular sign with lipohemarthrosis as a selective indicator for preoperative hip MRI or prophylactic femoral neck fixation with a reconstruction nail in patients with high-energy femoral shaft fractures is effective for preventing unplanned surgery due to delayed diagnosis of occult ipsilateral femoral neck fractures.]

友情链接: