肩关节脱位(dislocation of the shoulder joint)约占全身关节脱位的40%,仅次于肘关节脱位。肩关节脱位按脱位方向可分为前脱位、后脱位、上脱位、下脱位4种类型,其中以肩关节前脱位最为常见。
肩关节后脱位占肩关节脱位的2%-4%,初诊漏诊率高达 60%~79%(因漏诊率高,实际发生率可能更高)。
一、损伤机制
肩关节后脱位是临床比较少见的损伤,后脱位可造成后方关节囊、关节软骨与关节唇后缘骨折,也常合并小结节骨折。单一肱骨小结节骨折,应高度怀疑合并肩关节后脱位。其损伤机制主要如下:

1.直接暴力直接暴力作用于肩关节前方,导致肩关节后脱位。2.间接暴力常在前臂前屈位,肩关节内收、内旋位,遭轴向暴力(由下至上,如跌倒),使肱骨头穿破后方关节囊导致肩关节后脱位。3.内外旋肌肉力量失衡“3E”患者,即癫痫 ( Eepilepsy )、电击伤( Electric injury ) 和高能量损伤 ( Extreme trauma ) 患者,内旋肌力(胸大肌、背阔肌)大于外旋肌力(冈下肌、小圆肌),导致肩关节后脱位。
二、易漏诊原因分析
肩关节后脱位由于其临床发生率低,普通X线不典型,极易漏诊。
- 肩关节后脱位绝大部分为肩峰下脱位,没有肩关节前脱位明显的方肩畸形及弹性固定,患者肩关节可有一定的活动范围,如内旋活动,但外旋活动绝对受限。
- 仅依赖肩关节正位X线片。肩关节正位X线片“灯泡征”及“肩胛盂空虚征”缺乏特异性,非诊断肩关节后脱位的可靠表现。肩关节X线腋位片及肩胛骨侧位片更加可靠。
- X线片可能存在合并骨折,如关节盂骨折等,认为该骨折是导致症状的唯一因素,未考虑合并肩关节后脱位。
- 3E患者病情较重,对合并伤救治时未考虑合并肩部损伤。
三、临床表现
与肩关节前脱位时明显方肩畸形及Dugas试验阳性不同,肩关节后脱位体征不典型,通常存在以下表现:
- 患侧肩关节肿胀、疼痛;
- 上臂内收内旋畸形;
- 肩关节活动受限,可保留部分内旋功能,外旋、上举受限;
- 外旋时疼痛加重;
- 无明显方肩畸形,喙突突出明显。
四、分类
1. 肩关节后脱位肱骨头和肩胛盂之间对合关系完全丧失,肱骨头位于肩胛盂后方,但是肱骨头和肩胛盂之间没有啮合 。

2. 肩关节后向半脱位 ( subluxation )肱骨头和肩胛盂间,处于不完全吻合状态,肱骨头和肩胛盂之间存在部分接触 。

3. 锁定型肩关节后脱位 ( locked posterior dislocation of the shoulder,LPDS )肱骨头前内侧压缩性骨折发生后,肱骨头缺失部分与肩胛盂后缘之间互相啮合,需要借助手法或手术复位 。

4. 肱骨近端骨折后脱位 ( posterior fracture-dislocation of the shoulder,PFDS )锁定型肩关节后脱位定义内涵宽泛,包括肱骨近端骨折后脱位。

五、治疗
1.手法复位
患者仰卧位,沿肱骨轴线方向牵引,如肱骨头与关节盂后缘有交锁,则需轻柔内旋上臂,同时给予侧方牵引力以松脱肱骨头与盂缘的嵌插绞锁,此时从后方推肱骨头向前,同时外旋肱骨即可复位。复位成功的关键是肌肉应完全松弛,因此应在充分的麻醉下进行手法复位,力求轻柔,避免强力外旋,以免造成肱骨头或颈部骨折。复位后如较为稳定,可用吊带或包扎固定于胸侧,将上臂固定于轻度后伸旋转中立位三周,如复位后肱骨头不稳定,则需将上臂置于外旋轻度后伸位以肩人字石膏或支具固定,也可在复位后以克氏针通过肩峰交叉固定肱骨头。三周后去除固定,开始练习肩关节活动。2.手术治疗① 解剖学重建通过抬高肱骨头压缩性骨折或对肱骨头压缩性骨折处植骨 ( 自体髂骨或同种异体骨 ) 以恢复肱骨头正常的弧线结构;适用于骨量较好的脱位时间较短的年轻患者,肱骨头软骨面保存较为完整,尚未发展至盂肱关节炎改变 。② 非解剖学重建利用肩胛下肌转位 ( McLaughlin 手术 ) 或连带肩胛下肌的小结节截骨转位,填充肱骨头前内侧的骨性缺失 ( Neer 手术 )。Neer 手术的优点是小结节移位能更多的填补肱骨头缺失,且带骨性止点的肩胛下肌转位,能与受区骨床可靠愈合。但小结节截骨破坏了肱骨头的解剖,其最大的诟病是在改善肩关节外旋的同时,也减少了肩关节的内旋活动。③ 肱骨头旋转截骨通过改变肱骨头和肩胛盂间的相对关系,限制肱骨头的活动范围,避免肱骨头的缺失部位在肩关节活动时,与肩胛盂发生再次啮合来达到盂肱关节稳定。文献复习发现该技术难度高,早期盂肱关节炎的发生率高,继发性肱骨头坏死的发生率高,一般作为年轻患者,在其它非人工肩关节置换治疗方法失败后的挽救性手段。④人工肩关节置换对于肱骨头缺失面积较大的老年患者可以行人工肩关节置换术。根据术前评估肩胛盂磨损程度和肩袖功能,选择肩关节假体的类型。应根据术中的假体试模安装后的稳定性来调整肱骨头假体的后倾角。⑤ 尚待发展的关节镜下手术肩关节后方不稳定的手术治疗可分为开放手术和关节镜下手术。经三角肌胸大肌切口是经典的治疗陈旧性肩关节后脱位手术入路,也可附加后方切口,对后肩胛盂缺失或关节囊韧带复合体损伤同时进行修补。近年来,关节镜技术的发展,已经极大地拓展了其原有的治疗领域。一些医生的临床实践显示只要病例选择适当,关节镜手术可取得与开放手术相同的临床疗效。借助关节镜,可在肩关节后脱位复位的同时处理相关合并损伤。如:① 对肱骨头前内侧缺失部分行肩胛下肌腱转位固定术 ( McLaughlin 手术 );② 修补后关节囊韧带复合体等。掌握熟练的关节镜技术需要较长的学习曲线,难以在短时间内普及推广是其不足。
六、典型病例
(本病例来自公众号:杨韵琴正骨传承工作室。作者:湘潭市中医院曹谦教授。已获得转载授权)
患者性别:男
患者年龄:58岁
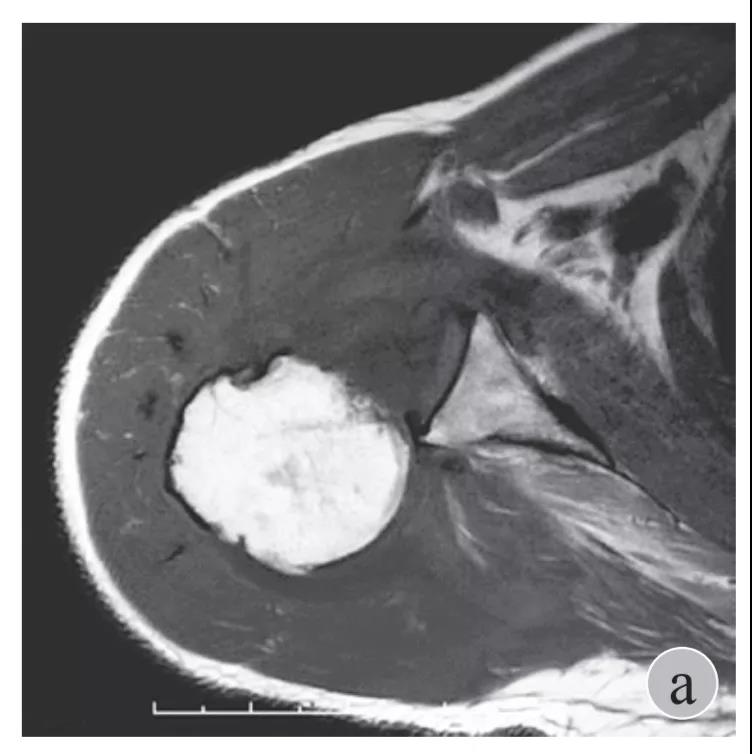
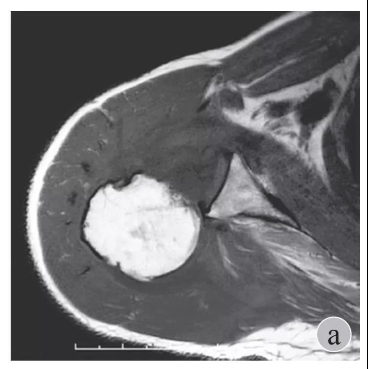
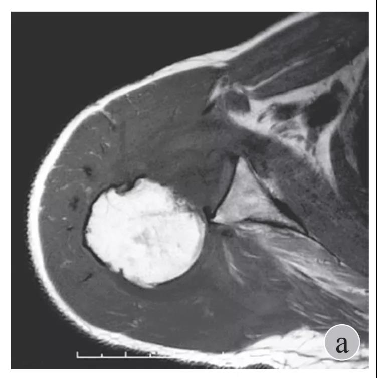
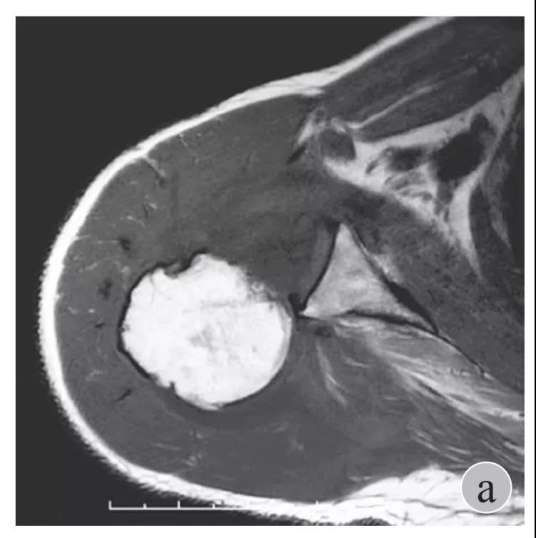
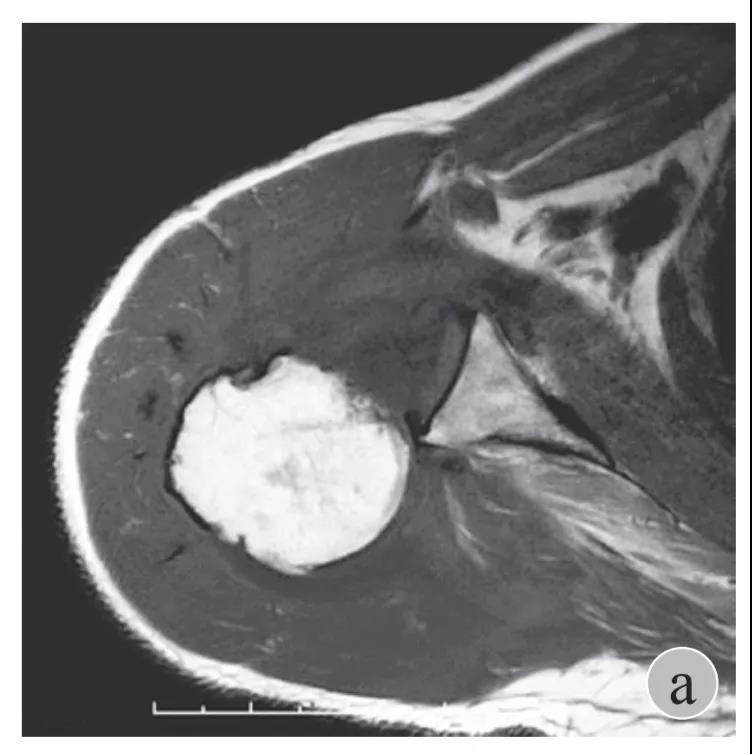
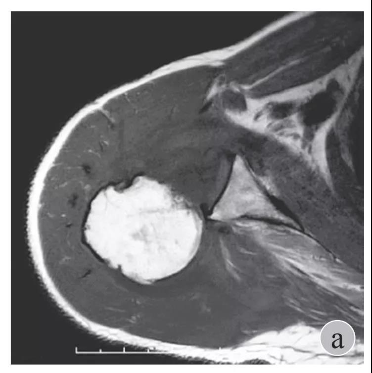
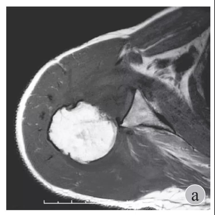
简要病史:骑摩托车跌倒致左肩部肿痛,活动受限,就诊于当地医院,拍片及磁共振检查后诊断为肩袖损伤及肩关节半脱位,予以悬吊固定,因症状缓解不明显就诊于我院。外院拍片情况如下:

应该说是一个典型的“灯泡征”影像,但是并未引起注意。

当地接诊医生应该说还是很负责的,同时拍了健侧片对比:

影像科报告,骨科医生光看报告行吗?







磁共振检查也完善了,还是报了个肩关节半脱位……影像科已经把坑挖好了……

接诊医生直接跳坑里了


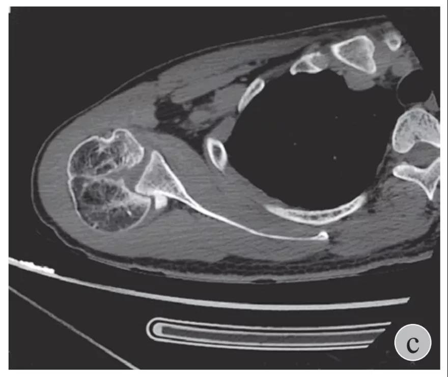
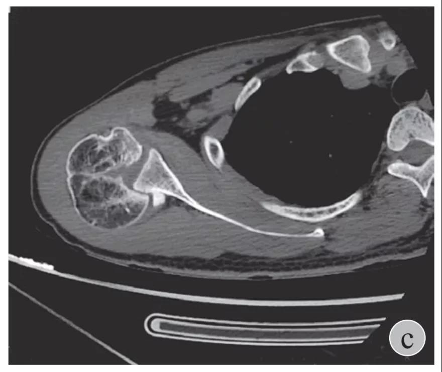
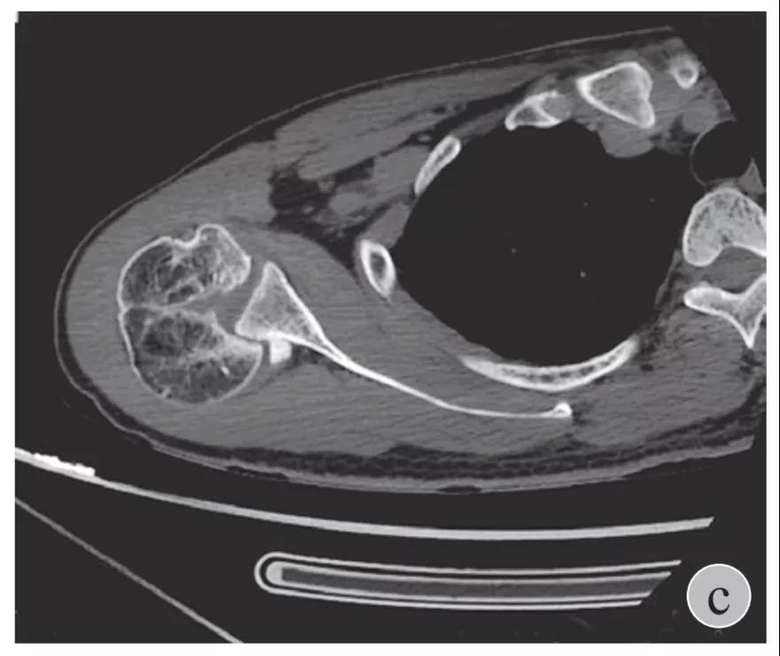
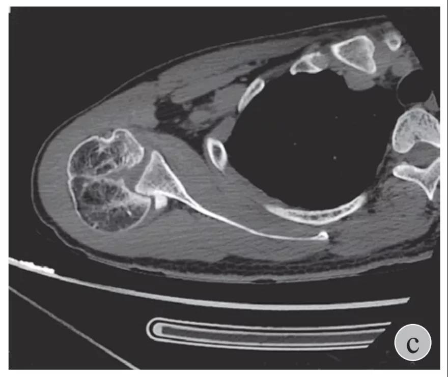
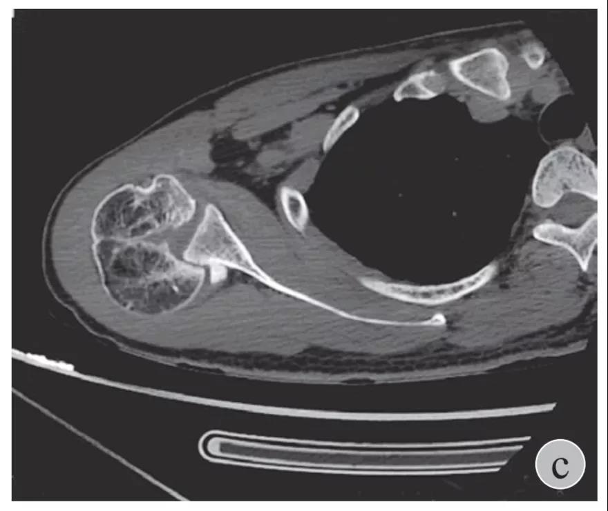
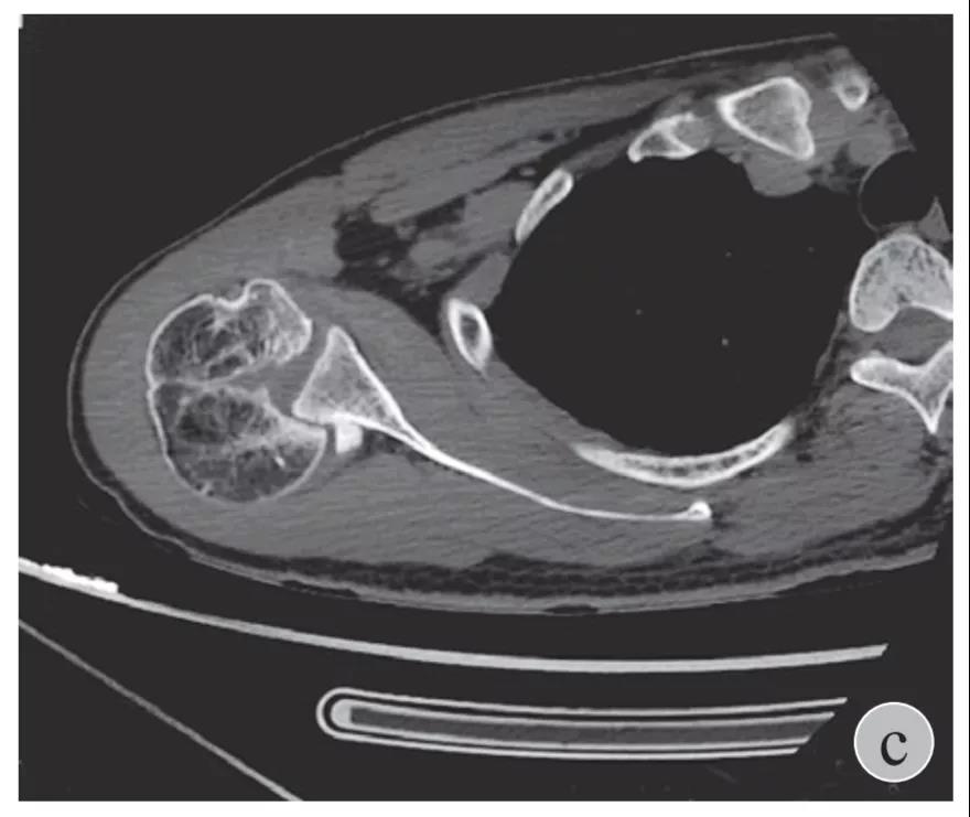
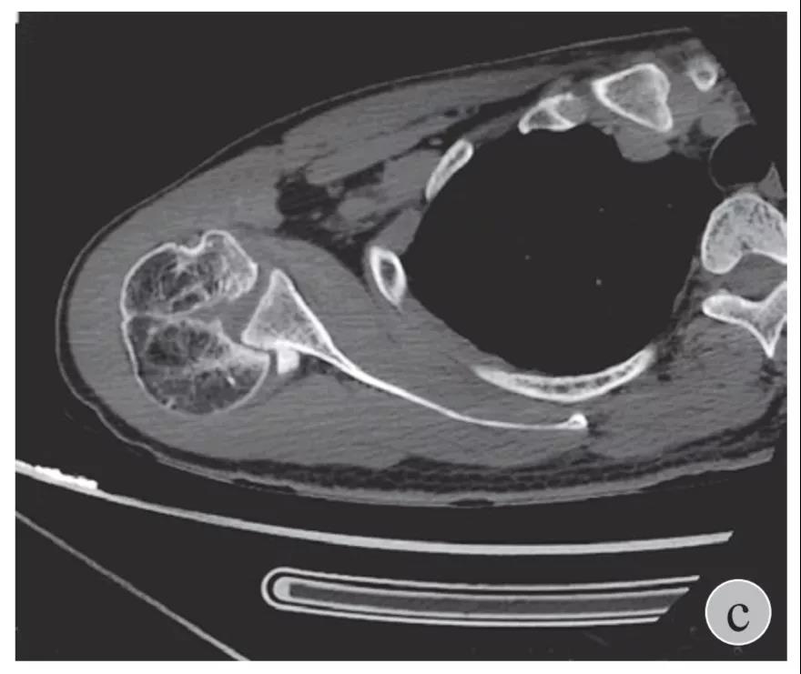
就诊我院后完善CT,诊断明确——左肩关节后脱位:


予以手法复位后拍片复查显示“灯泡征”消失,复位成功。讨论:肩关节后脱位在临床较为少见,特别是影像科经验不足很容易漏报,所以我们临床医生一定要自己仔细阅片,同时要结合体查来进行诊断,防止漏诊。肩关节后脱位时体查也有明显特征:肩关节前方明显变平,喙突较平时明显凸起容易触及,而肩关节后方明显丰满,上臂一般处于内旋内收位,无法主动外旋外展。肩关节后脱位的手法复位相对于前脱位的复位来说也比较容易。患者一般可以取坐位,助手自患侧腋下环抱患者稳定患者躯体,术者一手拉患肢上臂稍牵引内旋,一手自后方推顶肱骨头一般可以复位,如果单纯推顶无法复位也可以术者两手握住伤肢缓慢外展并沿肱骨纵轴牵引,然后逐渐外旋上臂即可复位。整复完成后可以把持患肢作肩关节各个方向的小幅度被动活动,防止肩关节粘连,肩关节后脱位的固定方法与肩关节前脱位的固定方法不同,应将患肢置于上臂外展、后伸、外旋位固定,即外展30度、后伸30度和轻度外旋位,用外展支架固定3周后,循序渐进开始肩关节功能康复。

注:部分内容来自吴晓明,蔡明,东靖明, 等.肩关节后脱位诊断与治疗的专家共识[J].中国骨与关节杂志,2019,8(8):610-616.
内容转载自骨科青年与杨韵琴正骨传承工作室!