
1发生率
早期研究报道的骶骨衰竭骨折的发生率为1-1.8%,近期的一项研究调查了250 名到急诊科就诊并CT成像的疑似骨盆损伤患者。在被诊断患有骨盆骨折的 46 名患者中,11 名患者 (4.4%) 被发现患有骶骨衰竭骨折。多见于平均年龄 70-75 岁的患者。下图中1区为骶骨衰竭骨折常见区域。

2风险因素
与骶骨衰竭骨折相关的危险因素包括骨质疏松症、类固醇引起的骨质减少、绝经后、盆腔放疗和类风湿性关节炎。
3临床表现
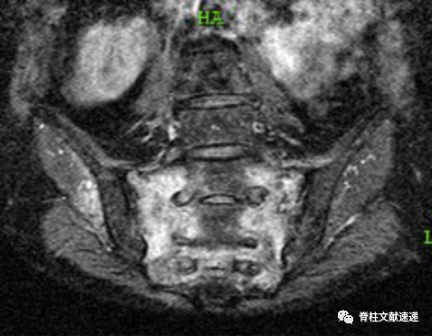
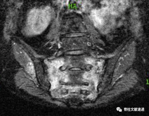
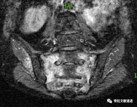
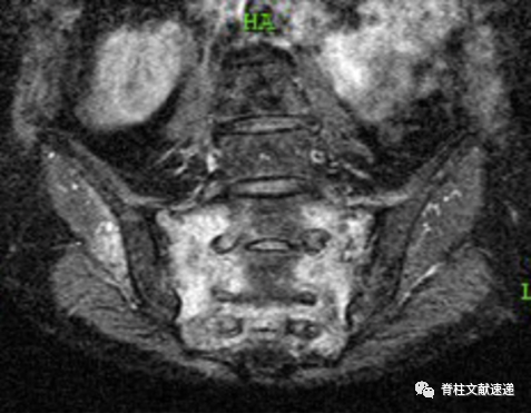
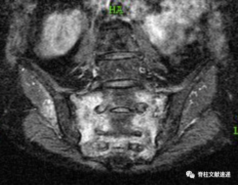
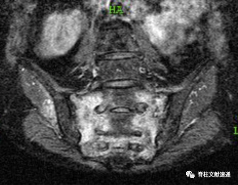
局部疼痛常见,压痛叩击痛常阳性,部分患者存在体位变化时疼痛,与骨质疏松性胸腰椎骨折相似。骶骨衰竭骨折常见于骶骨翼。X线和CT不易诊断,MRI和骨扫描是推荐的影像学检查,敏感度接近100%。成像特点和骨质疏松性胸腰椎压缩骨折类似,MRI T1低信号,T2和脂肪抑制像呈片状高信号。如下图所示,骶骨MRI显示双侧骶骨翼冠状图像上信号增加,表明双侧骶骨翼骨折引起明显的骶骨水肿。

如下图所示,SPECT骨扫描显示双侧骶骨和 T11、L2 和 L3 椎体的摄取增加,提示骨折。

4保守治疗
骶骨衰竭骨折的保守治疗和骨质疏松性胸腰椎压缩骨折相同:卧床休息、镇痛药物、抗骨质疏松治疗、预防并发症等。并发症也相似:下肢血栓形成、肺栓塞、坠积性肺炎、肌肉力量下降、心功能下降、褥疮等。
5 骶骨成形术
椎体成形术已在国内外广泛应用于骨质疏松性胸腰椎压缩性骨折。英文文献中有一些骶骨成形术相关报道,国内骶骨成形术应用非常少。文献中总体认为可以很好的改善症状,更早的下地活动,减少镇痛药物应用,避免卧床并发症。
骶骨成形术手术操作:透视下将13G穿刺针置入骶后孔和骶髂关节中间的骶骨翼,与骶髂关节成45度,侧位上位于骶骨正中,一侧可以置入2-3根穿刺针,以保证骨水泥分布均匀,注入骨水泥时正位片上观察,避免骨水泥向内侧延伸,如下图所示。手术操作较胸腰椎椎体成形容易。

文献中描述了两例骶骨成形术相关骨水泥渗入神经孔的病例,如下图。有一过性 S1 神经炎,在经椎间孔硬膜外注射类固醇后消退。

总之,骶骨衰竭骨折容易漏诊,当中老年患者存在体位变换时疼痛,而胸腰椎未见明显骨松骨折时,应考虑骶骨衰竭骨折。骶骨MRI和骨扫描有助于确诊。保守治疗可使部分患者症状缓解。保守治疗无效时,可考虑骶骨成形术