首页/骨科精读/椎弓根螺钉“断钉”取出技巧,全都整理好了!/
椎弓根螺钉“断钉”取出技巧,全都整理好了!
2022-03-10 18:25:392148浏览
椎间融合手术对于后期脊柱稳定起到至关重要的作用。那么后期植骨不愈合,导致后期椎弓根螺钉“断钉”的几率会高很多,临床中取出“断钉”还是有不少困难的,下面分享几种“断钉”的应对方法

椎间融合手术对于后期脊柱稳定起到至关重要的作用。那么后期植骨不愈合,导致后期椎弓根螺钉“断钉”的几率会高很多,临床中取出“断钉”还是有不少困难的,下面分享几种“断钉”的应对方法:

【方法一】

这篇文献介绍了一种相对简单的取钉方法。

具体方法如下:移除近端游离断钉后,取出椎弓根周围增生骨质,暴露残钉近端表面。在显微镜辅助下,使用2mm菱形钻头,在残钉近端表面打磨出一条窄而直的卡槽,然后选择扁头螺钉扳手旋出即可(如图所示)。

笔者观点:

优点:

1.  方法简单,可以避免广泛暴露残钉周围软组织,减少术中出血;

2.  不破坏残钉部钉道,原有钉道在新钉增大直径后仍可使用;

3.  可完全取出断钉,避免断钉残留;

 无需特殊器械,方法更易普及;

缺点:

1.  为暴露残钉近端表面,需要额外刮出部分椎弓根,且刮除深度与残端近端表面深度成正比,造成新钉把持力下降;

2.  磨除的金属碎屑需仔细隔离,防止落入椎管不宜清除引起神经症状;

3.  打磨残钉近端时可能造成椎弓根的破坏及周围软组织损伤;

技术要点:

1.  去除残钉近端骨质需充分暴露残钉近端,以便磨除深度合适的“卡槽”;

2.  打磨残钉近端时避免过多触及临近椎弓根,造成不必要的椎弓根破坏;

3.  打磨残钉近端时避免造成血管神经及软组织损伤;

4.  打磨卡槽时确保卡槽深度;

5.  打磨时注意使用生理盐水轻轻冲洗,同时避免金属碎屑渗入椎管。

【方法二】

作者设计了一种简易的取出器械,取出器械类似螺钉手柄(如图1a所示),远端由方向相对地两个“唇”组成,其内面为锥形,直径由6mm递减至3mm以满足不同直径大小的螺钉。

具体步骤如下:取出相应椎弓根处增生骨质及瘢痕组织,暴露残钉近端表面,必要时可适当刮除部分椎弓根。使用直径为2mm磨钻方向“相对”地适当磨除残钉近端(图1b所示),使取钉器与残钉近端充分卡压,然后旋出。


笔者观点:

优点:

1.  方法简单,可以避免广泛暴露残钉周围软组织,减少术中出血;

2.  原有钉道在新钉增大直径后仍可使用,最大程度避免椎弓根二次损伤;

3.  可完全取出断钉,避免断钉残留;

缺点:

1.  需要特定的取出器械;

2.  为暴露残钉近端表面,需要额外刮出部分椎弓根,且刮除深度与残端近端表面深度成正比,造成新钉把持力下降;

3.  磨除的金属碎屑需仔细隔离,防止落入椎管不宜清除引起神经症状;

4.  打磨残钉近端时可能造成椎弓根的破坏及周围软组织损伤;

技术要点:

1.  去除残钉近端骨质以充分暴露残钉近端,以便磨除深度合适的“卡槽”;

2.  打磨残钉近端时避免过多触及临近椎弓根,造成不必要的椎弓根破坏;

3.  打磨残钉近端时避免造成血管神经及软组织损伤。

【方法三】

在这篇文献中,作者介绍了一种取钉器,这种取钉器依靠摩擦力将残钉取出。取钉器是一种特殊环锯(图2所示,两种型号),环锯内面为锥形空心,内表面粗糙以增加与残钉的摩擦力(图1所示)。

具体操作为:清除残钉周围增生骨质及瘢痕组织,将双向旋转低速电钻(1000-1500转/分)与取出器连接,将取出器的环锯包绕残钉后,顺时针旋转环锯,磨除残钉周围骨质约lmm后,环锯内面的锥形空心结构及粗糙的内表面可使取钉器与残钉紧密结合。适当施加压力,逆时针发动电钻,使螺钉逐渐旋出。



笔者观点:

优点:

1.  方法简单,可以避免广泛暴露残钉周围软组织,避免残钉近端大范围骨质剥除,减少术中出血;

2.  原有钉道在新钉增大直径后仍可使用,最大程度避免椎弓根二次损伤;

3.  可完全取出断钉,避免断钉残留;

缺点:

1.  需要特定的取出器械;

2.  仍需磨除部分骨质,操作不当可导致钉道松动;

3.  取出器与残钉接触面及接触深度少,把持力不牢固,可能需要多次操作;

4.  由于依靠顺时针旋入时形成与残钉之间的牢固摩擦力取出残钉,多次取出失败可能反而导致残钉进入深度增加;

技术要点:

1.  为避免磨除过多椎弓根内骨质,取钉器分大小型号,可根据残钉实际大小选择合适的取钉器;

2.  顺时针旋入环锯时应确保环锯与残端结合牢固后,适当增加压力后逆时针缓慢旋出;

3.  避免多次旋出失败。

【方法四】

本研究采用CT对50例未行腰椎内固定治疗的患者的骶1椎弓根形态进行测量分析,包括椎弓根长度、直径及横截面积,研究结果显示在性别上三者均存在显著性差异,男性的椎弓根长度、宽度、面积均大于女性,而且对于平均直径为6mm的骶1螺钉,在不取出断钉的情况下,重新置入一根新的椎弓根螺钉存在可能。同时作者附加了两个成功应用这种方法的病例报道。

笔者观点:

优点:

1.  无需取出断钉;

2.  减少手术时间、术中出血及避免取出断钉时造成神经损伤;

3.  保留断钉周围骨质,避免取出断钉时造成骨量丢失及钉道松动而引起新钉把持力下降;

缺点:

1.  直钉技术要求高;

2.  高度依赖术前CT评估,反之反而易造成椎弓根皮质爆裂甚至神经损伤;

3.对于直径较细的椎弓根应用有限。

技术要点:

1.  详细地术前CT评估置钉的可能行,以及新钉的最佳直径、长度及置入方向;

2.  新钉直径在椎弓根剩余空间允许范围内应尽可能选用大直径,本研究中均选用7mm螺钉,均大于断钉直径,也可选用小于断钉的直径以保证新钉成功置入;

3.  术中透视必不可少,条件允许可优先选用导航技术;

4.  需明确断钉本身并不引起临床症状才可保留断钉。

【方法五】

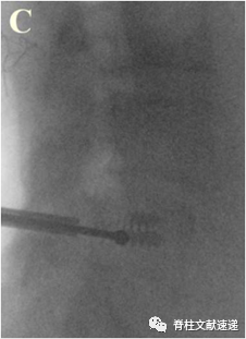
本研究中对三例患者成功实施了该技术,具体技术实施过程如下:取出短棒及近端残留断钉后,以透视机辅助,徒手触及断钉尾端后,依旧采用原来进钉点,置入高速圆头磨钻,触及断钉残端后打磨残端(B图所示),将无菌手套剪开保护硬膜及神经根,金属碎屑用吸引器吸出,期间使用C臂机透视,打磨至可以容纳一根新的螺钉后(C图所示,螺钉残端变短),沿断钉内侧后置入(CT图提示新的螺钉位于断钉内侧)。


笔者观点:

优点:

1.  无需取出断钉;

2.  减少手术时间、术中出血及避免取出断钉时造成神经损伤;

3.  保留断钉周围骨质,避免取出断钉时造成骨量丢失及钉道松动而引起新钉把持力下降;

4.  由原进钉点置钉,磨出椎弓根内断钉残端直至椎体,与前一种方法相比不增加椎弓根容积,降低椎弓根破裂风险;

缺点:

1.  由于从断钉内侧进入,需增大新钉内倾角,术前CT评估仍然必要,仍然有突破椎弓根内壁的风险;

2.  术中会产生金属碎屑,保护不当进入椎管难以清除,并可能引发神经症状;

3.  图中所示病例断钉断裂部位位于椎弓根内,若断裂处位于椎弓根外,磨除残端至椎弓根根部工作量大,可能大大增加手术时间,并且产生的金属碎屑可能残留体内,甚至引起神经症状。

技术要点:

1.  详细地术前CT评估置钉的可能性,以及新钉的最佳直径、长度及置入方向,必要时适当外移进钉点可增大置钉成功率;

2.  文章图片可看到断钉钉道有松动现象,新钉直径在椎弓根剩余空间允许范围内应尽可能选用大直径;

3.  需明确断钉本身并不引起临床症状才可保留断钉。

【方法六】

这篇文献发表于Journal of  Spinal Disorder and Techniques,介绍了一种新型取钉器,专门用于断钉取出。

具体方法如下:取出近端游离断钉后,磨除椎弓根表面增生骨质及瘢痕组织,如图所示取钉器远端为空心分离式环锯,外围包以可上下移动的套筒,套筒下移后可减小环锯直径,图2下方取钉器为套筒未下移时状态,上方取钉器为套筒通过旋转下移后环锯直径缩小时的状态。

术中沿断钉残端置入环锯使环锯包裹断钉残端,顺时针旋转环锯直至深入断钉1-1.5cm,期间同时旋转套筒使套筒下移,使环锯逐渐卡死断钉,环锯与断钉牢固结合后逆时针旋转T型扳手,逐渐旋出断钉。



笔者观点:

优点:

1.  方法简单、高效,可以大大降低取钉过程可能造成的大范围骨质缺损、神经血管损伤,手术时间短;

2.  骨质移除范围小,原有钉道在新钉增大1-2mm直径仍可使用,最大程度避免椎弓根二次损伤;

3.  可完全取出断钉,避免断钉残留;

4.  避免术中多次透视;

缺点:

1.  需要特定的取出器械;

2.  仍需磨除部分骨质,操作不当可导致钉道松动;

3.  选入取钉器时向腹侧施加的力量较大,对于前方结构薄弱的残钉可能导致残钉受挤压后突破椎体,甚至突入腹腔;

技术要点:

1.  环锯选入深度与其把持力成正比,应保证其选入深度,避免卡压过松导致多次操作而致钉道松动;

2.  注意施加力度的大小,避免力度过大造成残钉前移,必要时结合术中透视明确环锯选入深度。

【总结】

1.无症状“断钉”可以考虑不用手术治疗,有症状的“断钉”需要手术介入;

2.部分“断钉”取出技术需要依靠特殊器械;

3.“断钉”取出时应尽量避免过多骨质剥除,尽量保护及再利用原有钉道;

4.椎弓根条件允许以及断钉并未引起临床症状时可以考虑直接置入新的椎弓根螺钉。

友情链接: