首页/骨科精读/小儿肱骨髁上骨折的复位及手术技巧,建议收藏!/
小儿肱骨髁上骨折的复位及手术技巧,建议收藏!
2022-05-19 13:58:531808浏览
肱骨髁上骨折是最常见的儿童肘部骨折,大约占全部肘关节损伤的50%~70%,常见于3~10岁的儿童。是儿童肘部的严重型损伤,如果治疗不当,并发症发生率会很高。

小儿肱骨髁上骨折重要性





1  肘内翻发生率很高

2  严重病残Vokmann缺血挛缩时有发生〔 0.5%〕

3  小儿肘关节骨折,髁上骨折70%



发病率

小儿肘关节骨折的70%

好发年龄5~8Y

男>女


损伤机制〔伸直型〕

跌倒手撑地

肘关节过伸

身体前倾

髁上薄弱

鹰咀顶压



损伤机制〔屈曲型〕

跌倒肘部着地

髁上剪切骨折

肱二头肌收缩

远端骨折块向上移位



肱骨髁上骨折分类

伸直型 〔97%〕

屈曲型〔3%〕



Gartland分类

一度

  • 无移位或轻微移位
  • 肱骨皮质骨前缘线通过外髁
  • 骨化中心



二度

  • 中度移位
  • 后方骨皮质
  • 保持接触



三度

  • 严重移位
  • 骨折块不接触



病理

A  尸体试验证实,Gartland三度后方骨膜相连。闭合、开放复位不要损伤它。

B  有时闭合复位时骨膜纠缠在骨块间,与旋转畸形不易区别



肘内翻发生机制和预测

1  过去认为骨骺生长障碍

2  现在认为骨折复位不良造成

预防方法:尽可能解剖复位


实际问题

  • 伸直型骨折复位后,肘关节屈曲,X线正位
  • 很难判断内或外翻,侧位投照容易。
  • 1  有问题x线片发现不了,片子质量不好
  • 2   有问题x片没有能力认识 
  • 3  治疗过程再移位


解决问题

  • X线正位投照方法
  • 肘关节最大屈曲
  • 片盒放在肘关节下
  • 球管90度针对片盒



Baumann角

A 肱骨干中线a

B 作a的垂线b

C 通过外髁骺线

∠A,原始Baumann角

∠B ,现在Baumann角

正常72度[64~81],81度以内,不会发生肘关节内翻












肘外翻

1  比较肘内翻,不是问题,因为正常肘关节有5~10度外翻,稍增 加,外观无妨

2  严重肘外翻不仅外观不雅,可能发生延迟性尺N麻痹


鉴别诊断



肱骨髁上骨折临床表现

1  畸形

2  肿胀

3  疼痛

4  功能障碍

5  血循环障碍

N损伤,多为压迫.表现无脉;对掌障碍;垂腕。



屈曲型髁上骨折易损伤尺N



  • 随着骨折复位,桡A搏动常常恢复
  • N功能也慢慢恢复
  • 如果肱A功能不恢复,应该急诊手术探查


治疗方法

1  小儿肱骨髁上骨折应该急诊处理,半夜来诊也不得推迟

2  肿胀严重,应该过头牵引



治疗

GartlandⅠ度

  • 石膏夹板固定,消肿后改成石膏管型


移位骨折〔Ⅱ、 Ⅲ度〕

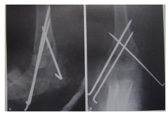
  •  手法复位,经皮克氏针内固定



方法

A  患者麻醉后仰卧于手术台边肩关节外展90度c臂x线机在床头牵引腕部,反牵引胸部

B术者一膝跪地,先矫正 侧方移位。拇指顶在鹰咀,余四指环抱肘前牵引下完全屈曲肘关节

C X线透视,AP,L位对位良好,外侧经皮克氏针二根平行或分叉固定

D 透视下外旋肘关节观察稳定性。如果移位,重新复位,内侧第三根克氏针固定




闭合复位方法

前臂外旋时,骨折外侧张开。内旋时,外侧闭合。所以,复位时肩关节尽量外旋,前臂内旋。



经皮克氏针固定

克氏针平行或交叉固定内侧进针,容易损伤尺N.诚然,内外侧交叉固定比较稳定。




方法

A 透视下骨折移位,拔除克氏针重新复位,三根克氏针固定 

B 内侧克氏针固定方法:拇指挤压肱骨内上髁许时,水肿消退,拇指压迫下移到后方,保护尺N,穿针时有软T保护套更好



第三根克氏针内侧固定


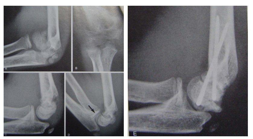
屈曲型复位方法

屈曲型伸直复位,伸直固定是方法之一。但石膏容易滑脱另一方法,伸直复位后屈曲肘关节,向后推挤维持复位,然后经皮克氏针固定。A、B术前x线片C 、D 手法复位 E 克氏针固定后


术后处理

  • 石膏管型固定:肩关节下到手掌
  • 1w后换石膏。4w后去除石膏和克氏针。
  • 主动锻炼肘关节
  • 术前、术后3d应用抗菌素,预防感染。


ORIF适应证

1  闭合复位不成功

2  复位后桡A搏动没有恢复

3  骨尖部刺入皮内复位很难成功



ORIF方法

肱A探查,骨折ORIF,克氏针外侧固定或交叉固定




肘关节后方入路,克氏针固定



肘外侧入路,髁上骨折ORIF用得更多。克氏针固定。



肘内侧入路,适用于屈曲型,探查尺N.




小儿肱骨髁上骨折并发症


  • 筋膜间隙综合症
  • 及时诊断:4P征
  • 压力测量<30~35mmHg
  • 及时处理:切开减压


Herry前切口,切开浅、深筋膜


并发症

  • 肘内翻截骨矫形
  • 度数确定:内翻度+正常携物角


后外侧入路,切除一定度数楔形骨,内侧1/4连接,闭合后克氏针固定或张力带固定

友情链接: