首页/骨科精读/THA的假体安装及软组织平衡,手术要点大汇总!/
THA的假体安装及软组织平衡,手术要点大汇总!
2022-06-06 13:47:131513浏览
THA的假体安装及软组织平衡,手术要点大汇总!

先看病例!

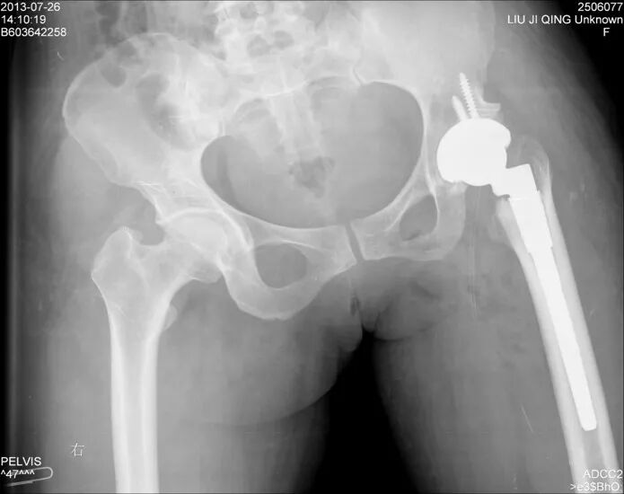
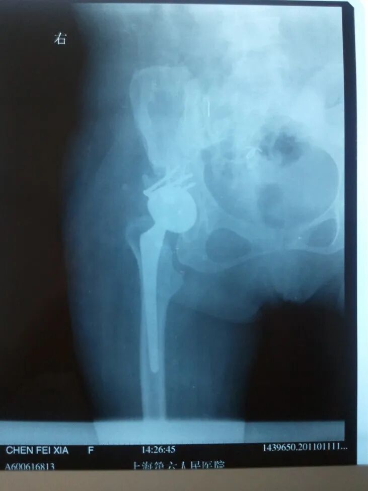
女性患者,48岁,右髋疼痛25年,加重1年

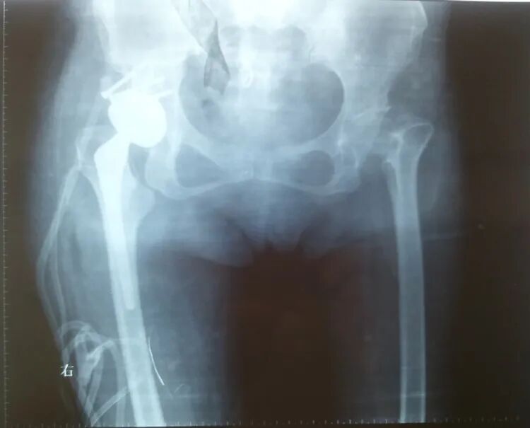
术后5天,脱位

切开复位

术后4月,再一次脱位

屋漏偏遭连夜雨

髋关节重建最重要的目标

长久稳定固定的髋臼和股骨假体髋关节的动态稳定性——不脱位双下肢等长

全髋置换术后早期(5年内)失败占所有髋关节置换术后翻修病例的39%

早期失败的原因:-不稳定-脱位 (33%)-无菌性松动 (30%)-感染 (14%)-骨溶解 (5%) -半髋置换术后髋臼侧磨损(15%) -假体周围骨折(3%) 

髋关节置换术后脱位的危险因素

-手术入路

-软组织张力和偏心距(offset)的恢复

-假体设计:头颈比例、大头 vs 小头

-假体的正确安装

-患者的因素:神经系统疾病、依从性

髋关节置换的解剖学重建解剖学重建与生物力学重建有利于:

-更好的髋关节功能

-更好的外展肌力

-更好的稳定性

-减少双下肢不等长的发生率

-减少磨损

-提高假体的远期生存率

生物力学重建的关键重建、恢复肢体长度与偏距

肢体不等长

1、美国髋关节置换相关医疗诉讼的首位原因

2、定义:差多少算不等长——没有明确统一的定义

3、一般认为:<10mm为可接受

4、发生率:10%-30%

5、结构(解剖)不等长 vs 外观(功能)不等长

6、长度差异在1.5—2cm以上时,可引起许多临床症状 (如破行、继发性腰部疼痛等) ,也可改变人工关节的受力特征,影响假体使用寿命。

7、下肢过度延长还可引起坐骨神经麻痹,尤其当延长超过2.5cm时,发生率明显增加。

8、术后肢体短缩则造成关节周围软组织松弛、外展肌乏力、关节稳定性降低。 

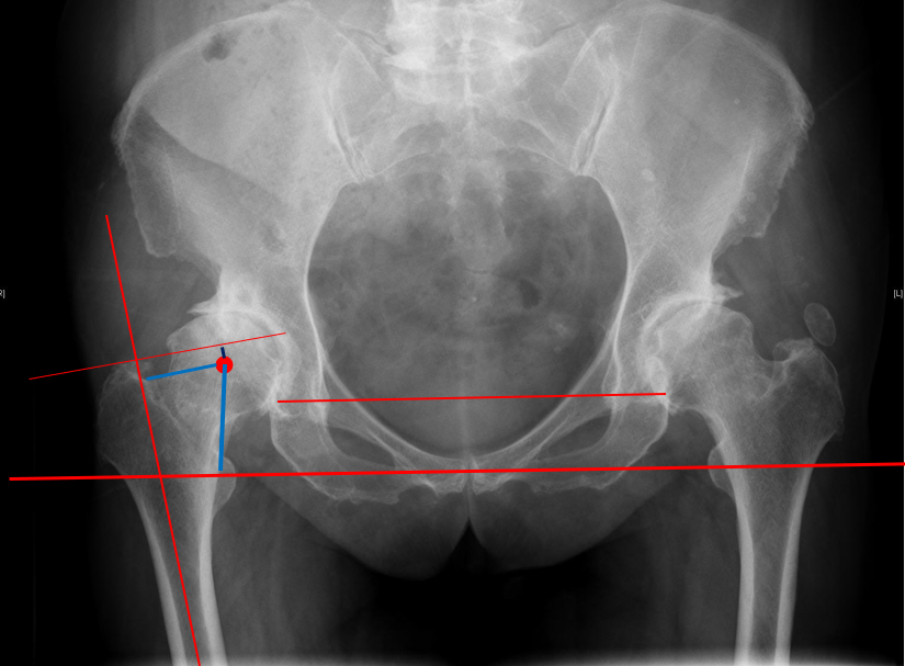
偏心距(Offset)股骨偏心距:股骨头中心到股骨纵轴的垂直距离外展肌的动力臂

髋关节的偏心距(Hip Offset)

-髋关节偏心距 ≠ 股骨偏心距

-关注髋臼(臼杯)偏心距acetabular or cup offset,AO

如何恢复offset及双下肢等长术前评估及模板测量术中评估

-髋臼假体的旋转中心点是不是恢复正常,参考髋臼假体下缘和横韧带的关系

-股骨假体旋转中心点是否恢复正常,参考股骨头假体中心点和股骨大转子的关系

腰骶椎关节退变:

膝关节外翻畸形:

确定正常侧髋关节的旋转中心镜像至患侧:

确定股骨颈截骨线对侧髋关节正常,可以对侧为参照

-选择合适的颈长(一般将设计的颈长定为中颈,以保留适当的调整余地)

-将假体股骨头的旋转中心与髋臼假体的旋转中心相吻合

-定出截骨高度(可以小粗隆为参照)

-镜像确定在患侧的截骨高度

确定股骨假体的大小1、在截骨位置正确选择股骨假体的尺寸2、需考虑股骨在侧位片上的匹配程度

假体的选择

术中评估-根据模板测量的信息-需考虑手术体位-手摸心会-术中X线摄片

单看股骨侧,大转子顶点和股骨头旋转中心的关系恢复了

但髋臼旋转中心点上移了造成了患肢术后肢体短缩因此如果术中发现髋臼旋转中心点有上移或下移,股骨假体也应相应的吊高或下沉以获得双下肢等长

术后股骨头旋转中心点增高,导致患肢延长

术中评估1、用手指感觉臀中肌张力2、直接比较两肢体长度----不是很可靠

-将髌骨和足跟置于同一水平

3、触摸髂胫束张力4、Drop-kick test (将髋关节置中立位,屈曲膝关节至90度,如果肢体过长,放松膝关节时,膝关节有自行伸直活动)5、Shuck test(髋关节中立位牵拉下肢,头臼分离0.5 – 1cm左右)

当 稳定性 遇上 肢体不等长

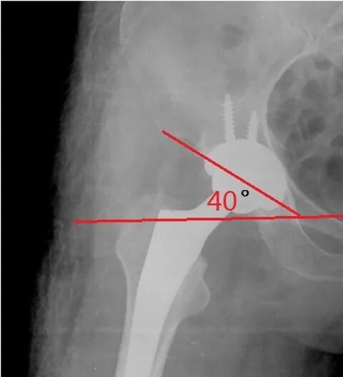
髋臼重建基本原则髋臼位置-优化-活动度/稳定性-45~55度外展

-15~20度前倾-根据解剖

基本原则----髋臼定位和方向

解剖标志

-横韧带

-髋臼周缘的骨性结构

-真髋臼底

器械定位

-髋臼假体固定杆的方向

特殊疾病和体位

髋臼杯安放器:

手柄作为前倾和外展的标尺

髋臼前倾

髋臼俯倾

联合前倾角

小结

肢体平衡恢复肢体长度与偏心距

-术前仔细评估与计划

-术中多种方法检查

髋臼安装

-参照解剖标志

-借助定位装置

-特殊病例特殊考虑

-联合前倾角技术

友情链接: