首页/骨科精读/骨水泥技术在创伤骨科中的应用,你掌握了吗?/
骨水泥技术在创伤骨科中的应用,你掌握了吗?
2022-06-06 13:53:371604浏览
骨水泥技术在创伤骨科中的应用,你掌握了吗?


细菌学

  • 手术中送检培养结果晚
  • 抗生素多凭经验选择
  • 个别病例选择敏感药物


常见问题

1.比例

2.温度

3.VSD

4.取出时间

5.对骨的影响

6.肌腱的影响

7.块还是珠?

8.全身抗生素的应用



清创不用杀菌剂的理由

1.骨和皮肤移植是组织器官自体移植

2.伤口愈合是细胞在局部的培养

3.杀菌剂同样会杀灭细胞

4.双氧水在髋翻修中应用不是杀菌是止血;急症应用可以烧伤肌腱、骨膜,导致骨坏死


有关感染

1.开放骨折感染是清创不彻底的并发症

2.VSD及时观察、更换(反复清创、感染不用)

3.深部感染--坏死筋膜/死骨—骨水泥技术

4.新鲜肉芽不是感染屏障(炎性肉芽是其下坏死感染的征象)

5.什么是感染伤口的稳定?(伤口引流通畅,壁增生形成屏障,感染不会向体内扩散)

经验1.感染或有不可避免的感染不要做重建手术(包括皮瓣),骨搬移除外2.缝合后坏死是术者判断失误—严重并发症3.表面骨水泥 & VSD,容易掌握并发症更少4.VSD的并发症是可怕的5.新鲜伤口无张力缝合6.陈旧伤口可以牵张闭合

病例1

8岁脊椎手术8钉两棒固定后感染持续高热低蛋白,糖尿病(创面水肿渗出丢失蛋白,高热消耗)两次病灶清理骨水泥技术全身支持疗法第三次取出内固定伤口愈合3次手术两次局部麻醉

68岁脊柱手术感染,用两次水泥技术取出内固定伤口闭合

TIps:1.确实治疗感染有效2.杀灭细菌刺激肉芽生长3.配合全身支持疗法转危为安

病例2

髓内钉固定后1.5年迟发性低度感染取出髓内钉清理髓腔自制骨水泥髓内钉占位器15天愈合

TIPS:清理髓腔是关键全髓腔感染可以用扩髓器占位器15天左右取出,时间久成为异物全身应用敏感抗生素

病例3

平台骨折手术后继发感染

TIPS:内固定感染常见病不要轻易做皮瓣,感染情况下不可深部骨感染、窦道用水泥切实可行多数皮肤没有缺损,肿胀消退后可以牵张闭合

病例4

车祸伤多发伤胫骨近端开放骨折软组织缺损右上肢截肢

TIPS:开放骨折外固定游离植皮缩小伤口搬移+半开放植骨半开放植骨=骨水泥技术+开放植骨+骨搬移横向、前后调整搬移骨块下地走路刺激骨愈合早期关节功能锻炼

病例5

髌骨手术后继发感染40天髌韧带外露

TIPS:清创后再固定伤口用抗生素骨水泥感染得到控制后皮肤牵张闭合伤口2个月内手法松解关节,骨牵引维持5天

病例6

TIPS:尽量不要跨关节固定水泥对肌腱有保护作用肌腱表面可以有肉芽生长接受游离植皮治疗过程中预防足下垂

病例7

小腿骨折继发感染骨髓炎反复皮瓣9个月未下地骨质疏松继发肥胖

TIPS:9个月反复皮瓣未下地骨质严重疏松病灶清除后应用表面羟基磷灰石涂层骨圆钉半开放植骨 + 骨搬移骨水泥设计为自行吐出伤口开放换药走路骨质改善、骨愈合治疗足下垂

病例8

双下肢车祸外伤保肢的理由是足底皮肤好

TIPS:清创&盐水冲洗(不用双氧水)VSD骨水泥技术&开放植骨单边外固定架(下胫腓联合固定)早期下地 生理应力 + 机械应力游离植皮 / 不用皮瓣清创时游离皮质骨去除胫跖骨牵引技术防治&纠正足下垂

病例9

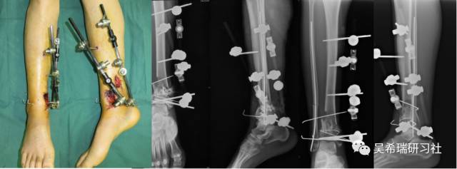
多发骨折车祸伤手术后继发感染,大段骨缺损

去除死骨——骨水泥——植皮

骨搬移

4个月

9个月

剥削植骨

TIPS:开放植骨+针式牵引骨搬移骨水泥Spacer/骨水泥链珠技术剥削植骨技术皮肤牵张技术胫跖骨牵引技术尽早下地走路刺激骨生长,改善骨质量历时2年

病例10

电击伤80天无知名动脉僵硬性足下垂大段骨坏死

TIPS:双段骨搬移技术 + 开放植骨表面鳞片式骨水泥多重胫跖骨牵引技术外固定架吴氏构型(单边+半环搬移)

病例11

男  43岁 从2米处摔伤  开放性Pilon骨折

TIPS:关节内骨折非跨越关节固定技术一期应用骨水泥 + 开放植骨技术腓骨克氏针固定技术截骨矫形胫骨近端取骨技术

病例12

22年前我做的双侧保肢手术当时仅有腓动脉与踝关节网相连近半年关节感染

TIPS:彻底清理病灶骨水泥技术骨牵引纠正足下垂的同时骨面融合患者同意使用个人形象

病例13

手术后40天外地转来胫骨外露感染骨坏死20cm胫前皮肤缺损腘动脉断裂腓总神经损伤足下垂

TIPS:第一次手术  清除病灶抗生素骨水泥填塞。远端整块水泥包裹外露骨质,近端连珠以便骨搬移钢丝克氏针张力缝合皮肤5天后下地部分负重走路联合骨牵引纠正足下垂15天后去除跟骨骨牵引针

TIPS:骨水泥40天后去除,半开放植骨因为有皮肤缺损,用骨水泥做成瓦片闭合伤口自体优质松质骨(如图)(半开放植骨的典范)皮肤采用了钢丝牵张闭合骨搬移+半开放植骨植骨后一个月去除瓦片骨水泥,创面新鲜钢丝克氏针张力闭合伤口加游离植皮继续骨搬移修整入院3个月腓总神经恢复


对病人宣教减轻体重

戒烟负重走路见阳光记住没有?重复一遍。定期复查。

有关外固定架的选择环形—骨搬移骨愈合快单边的骨圆钉刚性大--应力遮挡效应急症—单边半环不影响关节活动 / 半环加单边比较好(钉的入口位置得当不刺激皮肤多无不适)

骨传导骨愈合     力是骨的灵魂固定强度大     骨传导力小消除应力遮挡            利于骨折愈合伤后中断运动    关节粘连   

体会对病人:关怀体贴对病情:尽心尽力 千方百计对结果:心安理得

友情链接: