首页/骨科精读/肩袖损伤的MRI诊断要点,建议骨科医生收藏!/
肩袖损伤的MRI诊断要点,建议骨科医生收藏!
2022-06-09 18:56:404147浏览
MRI对肩关节伤病诊断的重要性不言而喻,肩袖的MRI诊断首先必须要熟悉肩袖的解剖、功能解剖以及其损伤的病理解剖,其次MR本身的知识必不可少。

MRI对肩关节伤病诊断的重要性不言而喻,肩袖的MRI诊断首先必须要熟悉肩袖的解剖、功能解剖以及其损伤的病理解剖,其次MR本身的知识必不可少。

目前我国肩关节的手术相对其他部位而言较少,因此,绝大部分的骨科医生对肩袖的解剖还不是很熟悉,能够快速准确地进行肩关节MRI阅片的临床骨科医生很少,绝大部分还要依赖MRI报告,而MRI报告一般描述很多、结论很大、靶点模糊,最关键的是准确率还有待提高。因此,临床医生必须要培养自己阅看并快速进行MRI诊断的能力!

肩袖解剖

肩袖(Rotator cuff)损伤由Smith于1834年发现并命名,指组成肩袖的冈上肌、冈下肌、肩胛下肌和小圆肌的损伤。肩袖是以上4条肌腱共同组成的功能复合体,呈一个袖套状包绕肱骨头,维持盂肱关节的稳定,同时提供肩关节活动时所需的动力。


冈上肌和冈下肌在肱骨大结节上有共同止点,冈上肌和肩胛下肌在结节间沟处共同包绕肱二头肌长头腱。这样紧密的关系预示着肩袖的某一部分组织发生病变一般都会波及其余的肩袖组织,也是我们MRI阅片中必须要注意的。

肩袖功能

冈上肌主要功能是肩关节外展,当然外展功能还需要三角肌等协助。


冈下肌和小圆肌的主要功能是肩关节外旋,肩胛下肌的主要功能则是肩关节内旋,旋转袖由此而来。冈上肌、冈下肌、肩胛下肌或小圆肌的断裂会导致其相应功能的受损。

肩袖损伤90%发生在冈上肌,然后波及冈下肌及/或肩胛下肌,极少情况下会损伤小圆肌。肩胛下肌由于喙突的撞击可以单独损伤,冈下肌及小圆肌很少单独损伤。MRI阅片中必须抓住这些特点才能够提高诊断的准确率。

肩袖损伤分期

常用的是Neer的分期:

1期:肩袖尤其是冈上肌的水肿和出血,在年龄小于25岁的有症状患者中最为典型;

2期:炎性过程向纤维化过程(纤维变性和肌腱炎)转化,25-40岁患者多见;

3期:肩袖(部分或完全)撕裂,主要是40岁以上患者。

Neer分期提示我们,年龄是肩袖损伤诊断的重要因素,MRI诊断时也要注意这点,而且1、2期代表退变,应该选择保守治疗,3期为撕裂,也就是真正的肩袖损伤,大部分需要手术治疗。

肩袖撕裂原因

1.撞击:肱骨头和喙肩弓之间的撞击最常见。因此,MRI诊断中必须高度重视并重点关注撞击因素。

2.损伤:运动急性损伤(仅8%)和过度应用。

3.退变:危险区/乏血管区(Codman提出,肩袖距大结节止点约1cm处缺乏血管供应)退变。MRI诊断中要注意与撕裂鉴别。

这里特别提醒,对于老年肩关节脱位肩袖损伤发生率高,既可能是肩关节脱位之前已经有了肩袖的损伤,也可能是肩关节脱位的同时发生了退变肩袖的撕裂,还有年轻病人肩关节脱位造成的Bankart损伤等等,因此,不要把肩关节脱位当成一个简单的损伤,越简单有时往往就越复杂!

肩袖撕裂分裂

按照损伤程度分为部分撕裂( MR准确性>85% )和完全撕裂(MR准确性>95% )。部分撕裂按照受损部位又分为滑囊面、关节面及肌腱内撕裂,在MRI上可以清晰的看到其受损部位。


按照损伤深度分为:

1级:撕裂深度小于3mm;

2级:撕裂深度在3-6mm;

3级:撕裂深度大于6mm。


全层撕裂按照范围分为:

  • 小撕裂:撕裂口<1cm;
  • 中撕裂:撕裂口1-3cm;
  • 大撕裂:撕裂口3-5cm;
  • 巨大撕裂:撕裂口>5cm。

高清晰度的MRI是可以测定撕裂范围的。


按照撕裂的形状又分为新月形撕裂、U形撕裂、L形撕裂、倒L形撕裂、巨大回缩性/不可移动性撕裂想要判断损伤的形状需要在MRI上利用多个平面、多张照片来分析。

肩袖损伤与下列疾病的关系

(1)肩峰撞击

肩峰撞击由Neer于1972年提出,肩峰下关节由于解剖结构原因或动力学原因,在肩的上举、外展活动中,因肩峰下组织发生撞击而产生的症状。肩峰撞击与肩袖损伤互为因果,是肩关节MRI诊断的重中之重!


肩峰撞击并非仅指肩峰,撞击部位可以在肩峰前1/3前下面、喙肩弓、肩锁关节下面以及喙突,对应面是大结节、小结节,MRI阅片中要重点关注这些结果以及夹于其中的肩袖组织。


(2)肩峰下滑囊炎

肩峰下滑囊是一个非常重要的解剖结构,大部分肩关节的病变都会波及,肩袖损伤更不例外,同时,肩峰下滑囊炎的病变也可以波及到肩袖等组织。肩峰下滑囊炎在MRI上表现是非常明显的,如果其正常,肩袖一般也正常。


(3)肱二头肌长头腱病变

肱二头肌长头腱与肩袖关系极为密切,其肌腱炎、肌腱滑脱等改变很多情况下是伴随肩袖损伤而来的。当我们在MRI上发现肱二头肌长头腱的严重病变,应该也要考虑到有肩袖损伤的可能。



总之,大家一定要记住:肩袖损伤永远不会是一种孤立的单纯的损伤!MRI诊断中应该紧紧抓住这个特点才能更准确、更全面地进行诊断!

肩袖MRI检查需要遵循的基本原则

1.全面:多方位扫描。

2.规范:选用恰当的序列和规范定位。

3.细致:保证足够的空间分辨率。

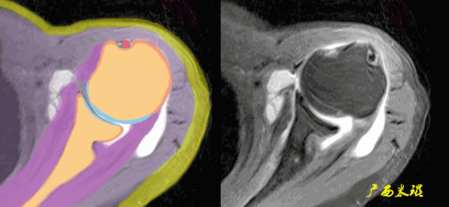
肩关节MRI检查扫描平面


(1)斜冠状位:平行于冈上肌腱长轴,主要评估冈上肌。

(2)斜矢状位:垂直于冈上肌长轴,观察肩峰形态及喙肩弓,观察肩袖4个组分的短轴断面。

(3)平行于关节盂/垂直于盂肱关节,主要评估盂唇,同时兼顾肩胛下肌、冈下肌及小圆肌。

肩关节MRI检查序列

1.T1WI:清楚显示解剖结构。

2.T2WI:显示病灶部位及大小有一定优势,但对于退变的诊断,容易受到脂肪的干扰。

3.PDFS:减少脂肪信号的干扰,增加病变内水分子的信号显示,能更好反映肩袖细微解剖变化。

正常肩袖的MRI表现


各个序列肩袖均表现为均匀的低信号,是肌腱的延续。

肩袖损伤的MRI分级(Zlaikin)

Grade0:肩袖形态正常,连续性完好,肩袖信号正常。

Grade1:肩袖形态正常,连续性完好,肩袖内信号异常。

Grade2:肩袖连续性存在,形态异常(肩袖变薄/变厚,形态不规则)。

Grade3:肩袖外形异常,连续性中断。

在Zlaikin分级中,0级是正常肩袖,1、2级代表退变,3级为撕裂,也就是真正的肩袖损伤。

肩袖撕裂的MRI表现

(1)信号异常

肩袖出现3级信号,是诊断的直接征象,一旦发现3级信号,肩袖撕裂无疑。

a.肩袖关节侧出现3级信号,部分撕裂。


b.肩袖滑囊侧出现3级信号,属于部分撕裂。


c.肩袖内部出现大范围3级信号,属于部分撕裂。


d.肩袖出现3级信号,关节侧撕裂回缩,也属于部分撕裂。


e.肩袖出现3级信号,肩袖完全中断,属于完全撕裂但无回缩。


(2)形态异常

肩袖可以变薄、变厚或不规则,但只有中断才是3级信号,肩袖中断后断端回缩,肌肉萎缩也是肩袖撕裂的直接征象。


(3)邻近组织异常

邻近组织异常包括信号异常和形态异常,是肩袖撕裂的间接征象,对诊断有意义但不能直接诊断肩袖撕裂。邻近组织包括肩峰下滑囊、骨(肩峰、大结节、小结节、喙突)、关节(肩锁关节、盂肱关节)、肱二头肌长头腱等。

a.肩峰下滑囊增大,是肩袖损伤必有的表现。


b.肩峰下滑囊贯通(与关节腔相通),预示着肩袖的完全撕裂。


c.钩状肩峰,发生肩袖撕裂的机会大,但绝不是百分之百。


d.肩峰骨刺,发生肩袖撕裂的机会比钩状肩峰还要大,必须认真阅看,肩峰骨刺在斜矢状位上显示得非常清楚。


肩峰骨刺在斜冠状位上能够看到,应该认真观察并且留意其对应的肩袖面。


e.肱骨大结节骨赘增生,一般是较久的反复的撞击造成,一旦出现,肩袖撕裂的可能性极高。


f.肱骨大结节部位的皮质骨下囊肿,也是长时间撞击的一种表现,不但是肩袖撕裂重要的间接征象,也是肩袖撕裂手术治疗的一个难点。


g.肱骨大结节的部分缺损是长时间严重撞击的表现,在斜冠状位发现缺损的同时,一般都能看到肩袖的中断和回缩。


h.肩锁关节增生水肿,单独的肩锁关节炎也有此表现,所以这只是诊断的间接征象,肩袖撕裂需要结合其他征象才能确诊。


i.盂肱关节关系异常,在斜冠状面上看到肱骨头的上移,肩峰与肱骨头间隙狭窄是肩袖巨大撕裂的表现。


盂肱关节关系异常在轴位片上也可能看到,一般是由于肩胛下肌或冈下肌和小圆肌的撕裂后力量不平衡所造成。


j.盂肱关节骨性关节炎,肩袖撕裂的晚期会出现,其他很多原因也会出现,所以只是诊断的间接征象。


k.肱二头肌长头腱撕裂以及滑脱常常是肩袖撕裂的一种病理改变或者合并症,当我们看见这些改变,也应该认真的观察肩袖是否有撕裂。

肩袖MRI阅片注意事项

(1)危险区/乏血管区信号增高

肩袖危险区在质子加权中信号增高,但是在T2W1中无信号增高,与肩袖撕裂的信号增高不同。


(2)正常的腱性纤维条影

冈上肌的腱性纤维在MRI上表现为长条状低信号影,不要认为是撕裂。


(3)魔角(Magic horn)效应

魔角效应在任何部位都可能发生,当肩袖的走向和磁场的方向成55°角时,局部组织的T2值会显著增加而产生类似撕裂的伪影,当TE增高或者使用STIR序列成像时魔角效应消失。


(4)肱二头肌长头腱伪影

肱二头肌长头腱有时与冈上肌因间隙而出现高信号条影,或者肱二头肌长头腱本身已经有退变信号,不仔细阅片时会误认为是冈上肌撕裂信号。


(5)钙化性冈上肌腱炎信号

钙化性肩袖炎主要发生在冈上肌,可以在肌腱的表面,也可以在肌腱的内部,它在MRI上表现为低信号,冈上肌腱内的不规则钙化性病灶在MR扫描中有时会不连贯,常常被误认为是肩袖撕裂。


(6)正确评估手术后肩袖的改变

肩袖撕裂的手术在我国越来越普及,需要提醒的是肩袖撕裂术后不管愈合与否,肩袖的信号以及形态都不会正常!因此我们的阅片解读特别是书写MRI报告时都要极为小心,以避免不必要的纠纷。

总之,肩袖损伤的MRI诊断不但是放射医生的工作,也是临床骨科医生必须掌握的基本技能,掌握它需要学习、需要过程,同时,作为临床医生,切记MRI仅仅是肩袖损伤临床诊断众多指标中的一项,不是诊断的全部!

友情链接: