首页/骨科精读/骨科内固定物断裂的原因,核心知识大汇总!/
骨科内固定物断裂的原因,核心知识大汇总!
2022-06-14 17:50:085376浏览
近年来随着整体医疗救治技术的改善,使得许多骨折患者得到了开放手术、内固定治疗。但随之而来的术后钢板、螺钉或钢针断裂情况已非罕见。

骨折愈合、钢板断裂

  • 直接骨愈合是骨对坚强固定的反应
  • 间接骨愈合是骨对不稳定固定的反应
  • 保守治疗发生骨不连接有多种原因
  • 手术后的骨不连接是手术的并发症,多是手术中剥离软组织太多形成死骨,而又没有一期植骨,内固定选择和使用方法不当所致。缺乏预见性
  • 取出内固定后再骨折多是因为缺乏预见
  • 公平的讲,钢板断裂多是医生的责任


骨传导法则

  • 正常骨应力均匀分布,骨的形态适应于力的变化,就是塑性、改建
  • 应力直接影响骨质密度、骨质量和骨折的愈合
  • Wolf定律—骨传导的骨小梁加强否则吸收
  • 理想的骨折内固定物是能够控制、消除不利于骨折愈合的力,如剪力、弯曲力、扭转力或它们的合力,而又不影响其正常的生理传导力。
  • 坚强的内固定必然存在应力遮挡,降低骨的密度,无外骨痂形成,一旦内固定去除容易骨折

理想方法,很快愈合


看似完美的内固定,为什么断裂?因为骨折存在间隙,钢板承担很大的弯曲应力最终疲劳断裂;钢板影响了骨的应力传导,骨折愈合慢了(此处有强大的内收力),竞争中钢板失败在先


55岁手术后次日下地走路,45天愈合(具有临床愈合特征和X光愈合特征)这是愈合时间最短的股骨颈骨折



没有骨传导导致失败


力学概念


通过一个小实验图来说明几个常用的力学概念:


手套做成的橡皮条给予均匀的竹条施加拉力(应力),竹条有了内应力,其内部产生应变,外部变现为变形弯曲,竹条的外侧为张应力,内侧为压应力,竹条的应力分布均匀。竹条的弹性模量大于钢板的弹性模量,骨的弹性模量在其间(80+-)



当竹条的一处有了虫孔、损伤、瘢痕,此处的面积就减少,此处就会应力集中,这个点叫做应力集中点。此处受力会断裂。长时间承受应力就会疲劳断裂



髓内钉与骨的过度处应力集中


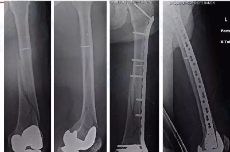
点评:骨折不愈合与手术手法手术中剥离关系比较大;与受伤时的暴力软组织损伤有关:与固定方法有关。骨折不愈合,钢板必然断(引用图)



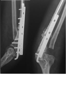
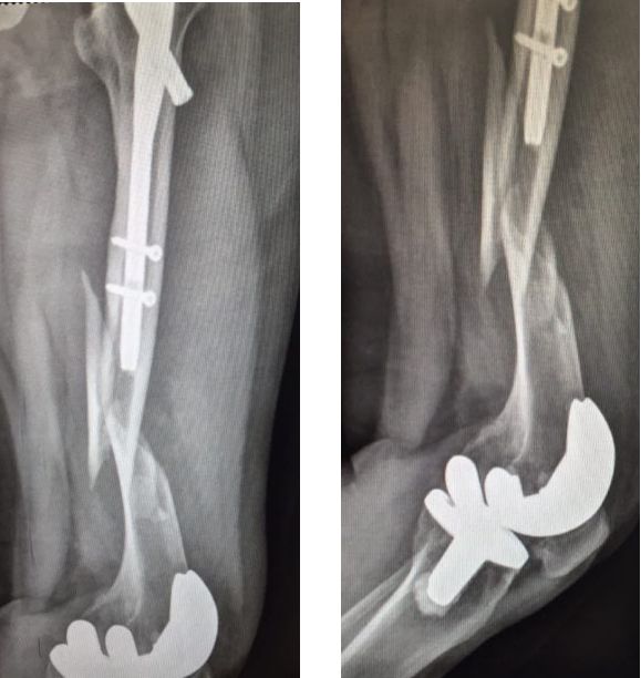
两处腓骨钢板多余(因为下胫腓骨联合没有损伤,特别注意不要犯这种错误)(髓内钉加阻挡钉首选,其次内侧长钢板,如果没有钢板用外固定架也可以)

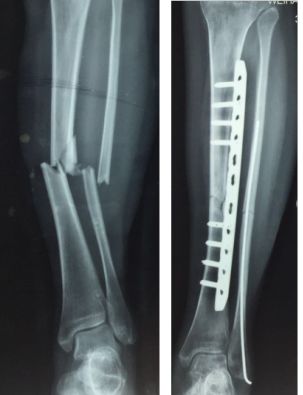
胫骨远端简单骨折选用钢板固定没有实现坚强固定,钢板承受应力,孔处应力集中断裂


更换长钢板后愈合



应力集中断裂。内固定过于坚强,钉子粗,钢板与过度处应力集中(没有必要手术,必须手术可以用随内针加石膏固定)。



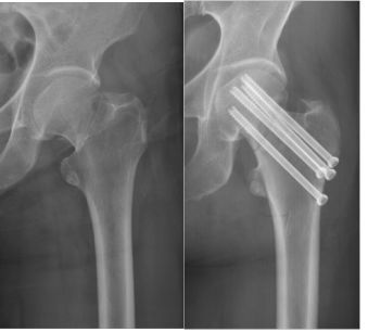
应力集中,一旦断裂很难愈合。髋强直邻近骨折最好方法是关节置换,缓解应力集中同时做接骨手术


下一例:是胫骨骨折局部钢丝螺钉内固定太多干扰骨愈合,骨不连接钢板迟早断裂。




开放骨折,软组织损伤严重,骨不连接导致钢板断裂。应当在伤口愈合后及时干预植骨



断裂原因


钢板断裂(骨不愈合)

钢板断裂后骨愈合(去除了应力遮挡)

愈合和内固定的失败是竞赛关系

外骨痂&死骨&骨愈合

  • 微动的活骨片——骨痂
  • 活动的死骨——不连接
  • 固定坚强的死骨经过爬行替代骨愈合,时间长,或不愈合、愈合不良再骨折
  • 手术中剥离是造成死骨的主要原因,再就是开放性骨折中的游离骨片
  • 开髓腔加骨膜剥离必然造成一大段骨坏死
  • 一段死骨的骨愈合方式是桥型骨痂,时间延长

与皮质骨有关概念

  • 皮质骨血管化
  • 皮质骨松质骨化
  • 伤后骨膜血管扩张充血(炎症反应)
  • 钢板下皮质骨吸收
  • 钢板下骨坏死
  • 应力遮挡皮质骨疏松
  • 皮质骨钉孔应力集中
  • 皮质骨废用性疏松(快速骨丢失)
  • 全身骨质疏松


钢板的断裂是弯曲力和扭力所致,螺钉的松动拔出是因为固定物松动,骨折不愈合导致锁定钢板的断裂依然符合此原则



剥离太多,术者手术中的预见性很重要,必要时要一期植骨。如果发生骨不愈合内固定迟早失败。同一肢体多处骨折有手术指征,方法技巧要提高。



简单骨折和粉碎骨折同样的应力下的应变示意图,是简单骨折坚强固定的依据。相反简单骨折没有坚强固定会发生骨不愈合或迟发骨愈合。


取出钢板再骨折

  • 要求手术后2年才能去除钢板,取钢板时骨密度要求同全身其它部位
  • 如果病人没有异常,上肢尽量不要取出
  • 再骨折的原因:

1.骨质疏松

2.坚强固定(一期愈合)

3.邻近关节僵硬

4.尺桡骨、股骨容易断裂


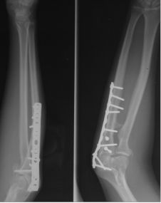
此处用钢板失败率极高,取出内固定后应力集中,(外侧孔或坚强固定内固定的应力遮挡影响局部的骨质、钢板下皮质骨吸收。)都是断裂原因,此病人明显有孔。



点评:可能的原因手术不当,剥离过多而没有植骨;钢丝多此一举;康复不利关节僵硬。骨质疏松提示功能不好。取出钢板骨断裂,取出后片子显示骨折愈合不良;因为功能差桡骨头切除


教训:新鲜孟氏骨折尺骨复位桡骨头即可复位,必要时修复外侧韧带。早期功能锻炼很重要。近关节的骨折愈合不好关节僵硬取出内固定后更容易断裂;不熟悉的方法要有人指导或不用。钢丝代替环韧带有适应症,不适合新鲜骨折。


这几张是吴斗的图——特此说明引用,特别注意骨质疏松病人的骨折愈合时间延长。


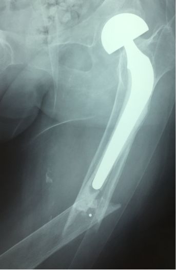
初次关节置换不好。功能差活动受限诱发进一步废用性疏松,应力集中



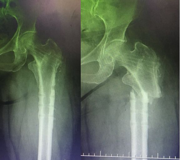
骨质疏松骨折选择钢板固定,应该是剥离过多骨坏死吸收。后大段异体骨移植吸收,最后失败难以收拾。开始用髓内钉会好些(理念问题)。不知道此病例结果如何?

如何预防断裂

  • 固定方式防止应力集中
  • 钢板固定不稳、有骨缺损一期植骨
  • 开放性骨折随访发现有骨折迟发或不愈合迹象早期干预皮质剥离加植骨
  • 尺桡骨orif一期植骨
  • 股骨髁上骨折固定因为内收肌力强大内侧附加钢板
  • 股骨近端骨折禁止应用钢板
  • 预见有骨迟发愈合要植骨
  • 植骨全部用自体优质松质骨
  • 术后早期活动关节,关节的缓冲是防治骨折端应力集中,促进骨折愈合,防治钢板断裂的主要方法


长距离钢板、少螺钉微创减少软组织剥离,应力分散

弹性固定

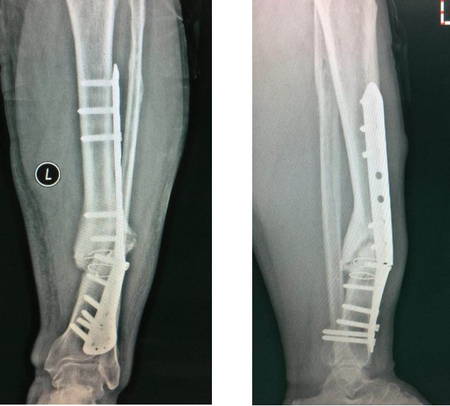
此处应用钢板有两种情况一是不会使用髓内固定,设备条件达不到;再就是理念落后见的病例少,交流少。此处外侧全部是长应力,钢板为张力钢板,内收肌力量强大,目前的钢板不能承受反复的弯曲应力,金属疲劳断裂失败率高,以下病例切开,钢丝捆绑进一步骨膜剥离,破坏了原始血肿,干扰骨愈合,都是失败原因


补救办法:剥削植骨髓内钉固定或动力髁钢板固定。


补救比较好

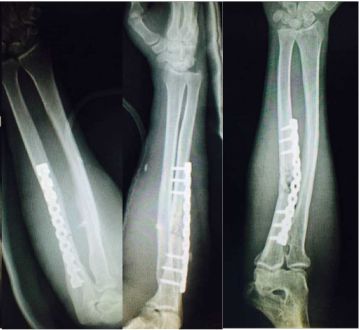
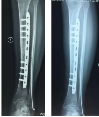
补救:取下一枚钉子骨折愈合了,关键是取钉子后减少了应力集中,延长了钢板的寿命,骨折愈合了。如果骨不愈合钢板迟早断裂(钢板当初放在内侧会好,蝶形骨块不会坏死,腓骨固定后外侧稳定,内外柱均衡愈合机会增加,当然最好还是髓内钉)。


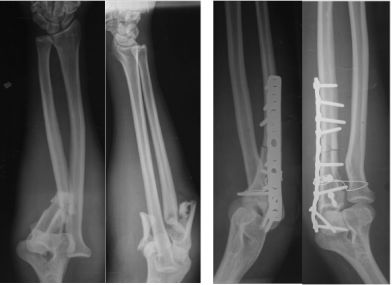
取下3枚钉子骨折愈合了,与上一例同一位医生所做。张力带钢板,去除3螺钉后,钢板的应力分散,弹性增加,骨折端承受有效的应力刺激,最后骨折愈合。去除螺钉的时候如果加骨皮质剥离重新激发骨愈合会更好。(最好选髓内钉)




此手术的关键应该是皮质剥削+植骨,(似乎是剥削植骨+髓内钉更好)而不是铜墙铁壁,不知道预后如何?



骨折病全身表现

  • 体重增加,脂肪vs肌肉比例提高
  • 急性骨丢失,每周丢失骨量约占全身性骨量的1%( 每天丢失骨钙约150-200mg)
  • 全身性各个系统的机能退化
  • 骨折周围关节僵硬
  • 伴有不伴有焦虑


年轻人骨折后骨密度降低可以恢复到原来水平,老年人骨质疏松骨折后的骨密度下降恢复不到原来水平,所以容易造成二次骨折。


急性骨吸收


关节制动附近的急性骨吸收、制动后影响骨传导、骨愈合


24岁因故骨折50天没有负重,出现严重的骨质疏松。

友情链接: