首页/创伤/实用技巧:股骨颈骨折内固定的稳定优化!/
实用技巧:股骨颈骨折内固定的稳定优化!
2022-07-21 10:14:562279浏览
三枚空心拉力螺钉平行固定是股骨颈骨折最常见的内固定方法,但对于Pauwels Ⅲ型、股骨颈后内侧粉碎及严重骨质疏松的股骨颈骨折患者,传统三枚空心拉力螺钉平行固定容易失败。

三枚空心拉力螺钉平行固定是股骨颈骨折最常见的内固定方法,但对于Pauwels Ⅲ型、股骨颈后内侧粉碎及严重骨质疏松的股骨颈骨折患者,传统三枚空心拉力螺钉平行固定容易失败。如Pauwel's Ⅲ型股骨颈内固定术后的总体翻修率高达18%[Slobogean 2015]。

Pauwels Ⅲ型

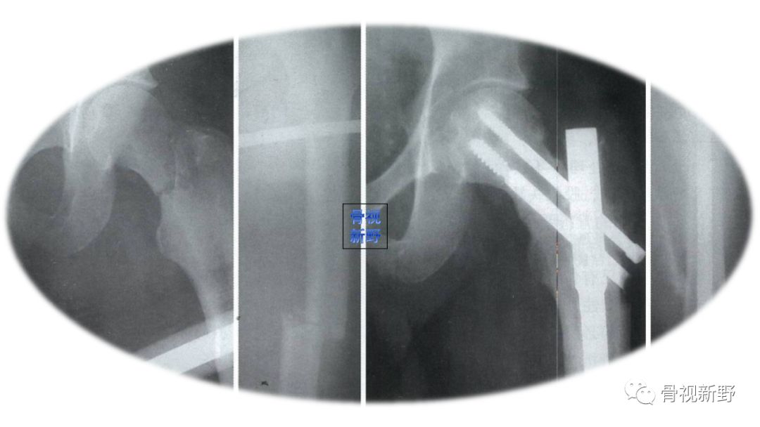
垂直剪力大,易内翻、固定失败、骨不连

内翻、断钉

股骨颈粉碎骨折(尤其股骨颈后内侧粉碎者)

严重骨质疏松

传统固定理念——正三角平行空心钉(Triangle configuration in parallel with the neck)

平行置钉、滑动加压。

贴边固定,通过骨皮质,对骨质疏松者稳定性尤其重要(下图示):

优 点:两枚螺钉靠近骨质坚硬的股骨矩,固定较牢固,可有效对抗股骨颈内侧的压应力,防止退钉。

缺 陷:A.由于股骨颈上宽下窄,正三角固定时螺钉间距小,应力相对集中,会增加转子下骨折的发生概率。因此,正三角形固定应避免在小转子以下进钉。

B.仅靠一枚螺钉固定张力侧骨小梁,抗剪切能力较弱。

传统固定理念——倒三角平行空心钉(Inverted triangle configuration in parallel with the neck)

是目前最常见的内固定方式。

平行置钉、滑动加压(同正三角)。

贴边固定通过骨皮质,对骨质疏松者尤其稳定(下图示):

优 点:

A. 倒三角增强了对股骨颈外侧张应力的抵抗,能耐受更高的垂直负荷,力学稳定性更佳。

B. 倒三角固定更符合股骨近端上宽下窄的解剖特点,置钉较为容易,且三枚螺钉分散,更有利于局部的生物力学固定。

缺 点:倒三角固定时,上方的两枚螺钉会破坏股骨头的血供,从而增加股骨头坏死的风险。

传统固定理念——髓内钉固定(Intramedullary nail fixation)

对于合并股骨干骨折的股骨颈骨折,选择髓内钉较其它固定方式有优势。

传统固定理念——动力髋螺钉(Dynamic hip screw, DHS)

比较适合骨质疏松及基底骨折质部分的股骨颈骨折(坎贝尔12版,pp2572)。

也可全螺纹钉防旋,以减少过度加压导致的股骨颈短缩,但增加了不愈合的风险。

传统固定理念——股骨近端锁定钢板 (Proximal femoral locking plate,PFLP)

比较适合严重骨质疏松及股骨颈粉碎骨折者(坎贝尔12版);但由于锁定固定缺乏滑动加压,易致骨不连。

传统固定理念——角翼钢板(blade screw)

较少使用,偶用于翻修和外翻截骨固定。

上图股骨颈骨折空心钉固定失败,内翻畸形、不愈合。行转子间外翻截骨翻修术改用角翼钢板固定(坎贝尔12版,pp2736)。

优化固定新理念——角稳定滑动髋钢板(Telescoping hip plate)

该固定方式将角稳定与滑动加压结合起来。但文献报道:骨不连/再移位:15.4%;头坏死:11.1%;转THA:20.7%[Mir 2015]。

(Telescoping hip plate)

与Targon FN相似,是Zimmer Biomet研发的新产品,尚需多中心临床对照实验验证。

优化固定新理念——第4枚横形拉力螺钉(The 4th tranverse lag scew )

第4枚横形拉力螺钉垂直于Pauwels Ⅲ型骨折线,能对垂直的骨折面起到加压作用,可明显增加平行螺钉固定的稳定性。

在股骨颈内后侧粉碎骨折者,骨折不稳定,增加第4枚横形螺钉也可明显增加固定的稳定性。

优化固定新理念——双平面固定(又称“F”固定技术) (biplane double-supported screw fxation,BDSF技术)

螺钉分布在前后位X线片呈字母“F”形而得名。

优 点

A. 远端空心钉大角度强斜置人,增加了股骨干支撑处的力臂,保证了两支撑点间足够大的距离,从而降低两支撑点的压力负荷(如下图示):

B. 双支撑点、双平面固定具备较强的抗压和抗剪力作用,生物力学性能优越,尤其适用于骨质疏松患者(如图示):

C. 增加了螺钉间距,有效避免应力集中,降低螺钉退出、断裂等风险。

缺 点:

A. 螺钉置入有一定难度,沿股骨颈切线置入时有损伤皮质导致医源性骨折的风险。

B. 在股骨头内分散的螺钉置入有增加股骨头缺血性坏死的风险。

优化固定新理念——内侧支撑钢板(medial buttress)

内侧支撑钢板

后 记

文献报道,Pauwels Ⅲ型股骨颈骨折多由高能量损伤所致,多为青壮年患者。由于垂直剪力较大,易于内翻,固定失败。其骨不连达16-59% ;股骨头坏死率达11-86%[Protzman 1976; Liporace 2008]。

传统的多枚空心钉平行加压固定并不能完全解决稳定性问题,近年来出现了一些新的优化固定理念及其固定方式,有部分与传统固定方式进行了固定强度的比较(如下图示);有的尚未得到大样本、多中心的临床随机对照实验(RCTs), 仅供参考。

友情链接: