首页/口腔种植/种植钉常见种植部位要点及注意事项!/
种植钉常见种植部位要点及注意事项!
2022-08-02 10:32:222064浏览
支抗钉,是嵌入齿槽骨的暂时性迷你型种植体。由于作用优异,嵌入简易,近些年已变成纠正医治日趋普及化的辅助软件。根据骨类型,骨密度,牙根间距、粘膜后的不同,上下额可以划分为不同区域,每个部位所选择的支抗钉也相应会所差异。

(一)种植钉的使用


1.适应症

①改善面型

②压低牙齿

③不对称缺牙,导致中线控制困难的病例

④成人或低角病例,需要推磨牙向后的病例

⑤其他

2.临床应用程序

①术前检查:常规问诊、血液检查、X线检查

②术前准备:应用专用无菌包,包内有孔巾一条、口镜、探针、镊子及拉钩各一个,方纱布若干、种植体植入专用裂钻一根、专用手柄一把及种植钉数枚。手术过程中还需生理盐水及一次性冲洗针,为钻头降温。

③手术程序:

(1)手术前,嘱患者应用洗必泰含漱液漱口,每次含漱30秒,共3次。

(2)调整椅位同拔牙体位,植入区域局部浸润麻醉。

(3)口内口外分别用2%苯扎溴铵(新洁尔灭)及75%酒精消毒。

(4)术者换无菌手套,开手术包,铺孔巾。

(5)表面消毒电动马达的机头,并与慢机头连接。准备冲洗针。

(6)调节马达转速为2000r/min。

(7)参照X线检查,确定植入位置,切开植入部位的黏骨膜全层并剥离。

(8)应用裂钻穿透骨皮质,直至有落空感。助手应用冲洗针降温。口内放纱块吸收唾液及冲洗盐水。

(9)应用专用植入手柄旋入种植体。

(10)拍摄根尖片观察种植体与牙根的关系。

(11)医嘱注意事项。

右侧种植钉

左侧种植钉

(二)支抗钉植入部位要点

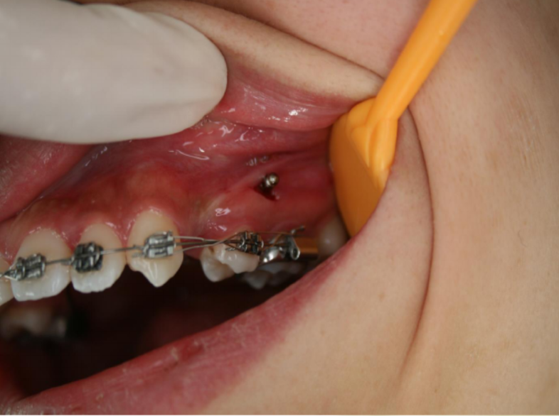
1.上下颌前牙区

可位于中切牙之间、中切牙与侧切牙之间,也可以位于侧切牙与尖牙之间,具体位置根据牙根位置及加载方式决定。

危险因素:此处无重要血管神经,相对安全,但牙根间距较小,植入时应避免伤及牙根。

植入位置和角度:应从膜龈联合处或其牙合方植入,大约距离牙槽嵴顶5-6mm的位置,支抗钉位于牙根之间,与牙体长轴成30-45°角。选择该部位植入原因①此处牙根间隔最大;②避免植入后粘膜覆盖;

支抗钉选择:由于前牙区牙根间距小,骨质疏松,宜选用6×1.4mm,且无切削尖设计支抗钉。

2.上下颌后牙区

通常在56之间植入居多。

危险因素:此处无重要血管神经,相对安全,但牙根距上颌窦较近,植入时应避免伤及。

植入位置和角度:从膜龈联合处或其牙合方植入,大约距离牙槽嵴顶5-6mm的位置,支抗钉位于牙根之间,与牙体长轴成30-45°角。选择该部位植入原因①此处牙根间隔最大②此处植入可有效避免粘膜覆盖。

植入初始阶段尽量与骨面垂直以防止种植钉滑脱,待进入骨皮质后逐渐调整植入角度以避免损伤牙根。依据膜龈联合高度调整最终植入角度,即膜龈联合位置越靠近根方,植入角度越与牙根垂直,反之亦然。

支抗钉选择:由于后牙区牙根间距相对较小,骨质疏松,但承受力值较大,宜选用8×1.4mm,且无切削尖设计支抗钉。

3.颧牙槽嵴

青少年多位于上颌第二前磨牙与第一磨牙之间,随着年龄增长,到成年时逐渐向远中移动至第一、二磨牙之间,具体位置需要根据触诊结合CBCT确定。

危险因素:在此要强调的是:并非所有患者都适合颧牙槽嵴种植钉的植入,颧牙槽嵴解剖形态的各系差异非常明显。此处植入容易穿破上颌窦底,植入角度需注意;骨质较为坚硬,支抗钉易折断。

植入位置和角度:在不滑脱的基础上越平行于骨面越安全。要根据颧牙槽嵴的斜度决定植入角度,为避免滑脱,可先垂直于骨面植入,再调整方向斜向上,一般植入角度向牙合面旋转60-70°。

支抗钉选择:由于此处骨质坚硬,宜用10×2.0mm,且支抗钉尖端应有切削尖设计,以切削骨碎屑,利于植入。

4.腭侧牙根之间

危险因素:①腭大动静脉及神经出腭大孔后在距龈缘5-15mm向前直至切牙孔,植入部位不应超过第二磨牙的远中,以免伤及腭大孔;②患者张口有限,会行成植入角度,容易触碰牙根。

植入位置和角度:牙根之间,冠状面斜向下,避免过于水平未钻入牙槽间隔,距离龈缘6mm-8mm之间处,支抗钉与腭部骨面成70-90°角。

支抗钉选择:宜选用8×1.4mm支抗钉,并采用弯机头植入,以免支抗钉触碰牙根。

提示:因视角不良,腭侧种植钉植入建议使用口镜反复检查植入角度是否正确。

5.腭中缝两侧

危险因素:腭中缝植入时易穿破鼻窦;对于腭中缝尚未完全融合者,请离开中线5mm以上。

植入位置和角度:垂直于骨面。

支抗钉选择:宜选用8×1.4mm支抗钉,并采用弯机头植入,以便垂直于骨面进入。

6.下颌骨外斜线

特别提醒:下颌骨外斜线解剖形态个体变异明显,并非所有患者都适合外斜线种植钉植入,在植入前一定要通过触诊了解外斜线的三维形态。

危险因素:骨密度大,硬度高,种植体易折断和骨裂纹出现;位于前庭粘膜区,种植体易被覆盖,造成植入后刺激粘膜,甚至肿胀脱落。

植入位置和角度:67之间膜龈联合处,可采取助攻式,即先用粘膜打孔器去除部分粘膜,再用小球钻将表面皮质骨预钻,深度0.5mm即可,然后使用弯机头植入工具,平行于牙根植入,不要向舌侧倾斜,以免伤及牙根。也可直接使用自攻式,先用直手柄对表面皮质骨进行预钻,待种植钉开始进入骨质,可以更换弯机头植入工具调整角度继续植入。

支抗钉选择:此处骨皮质厚,密度高,宜选用10×2.0mm支抗钉,并配合弯机植入工具 。

友情链接: