首页/创伤/Hoffa骨折的内固定选择,你关心的问题都在这!/
Hoffa骨折的内固定选择,你关心的问题都在这!
2022-08-02 10:52:051091浏览
Hoffa骨折属于不稳定的关节内骨折,保守治疗效果很差。通常需要解剖复位、坚强内固定,使膝关节能够早日恢复运动功能。

Hoffa骨折属于不稳定的关节内骨折,保守治疗效果很差(Ostermann 1994;Lewis 1989; Borse 2010; Jarit 2006)。通常需要解剖复位、坚强内固定,使膝关节能够早日恢复运动功能。

(Albert Hoffa )

长期以来,学者们对Hoffa骨折的内固定方式一直未达成共识。

传统的固定方式是拉力螺钉固定,但由于Hoffa骨折存在较大垂直剪力,单纯螺钉(不论何种螺钉)固定失败的报道较多。近年来,学者们引入了Buttress理念,以弥补单纯螺钉固定不能抵抗垂直剪力的不足。

常见固定方式

螺钉固定

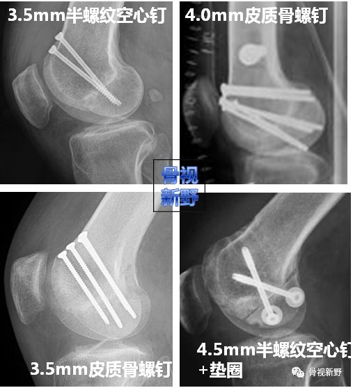
螺钉种类   可用于Hoffa骨折内固定的螺钉种类包括松质骨螺钉、 Herbert钉、 无头加压螺钉等;直径6.5mm的半螺纹空心钉、直径4.5、4.0、3.5mm的皮质骨螺钉/半螺纹空心钉等。

Hoffa骨折到底选择何种螺钉进行固定,文献推荐的固定方式并不统一:

  • Benirschke等人(1993)建议使用3.5mm皮质骨螺钉固定;
  • Liebergall (2000)等人建议用直径6.5mm的松质骨螺钉;
  • Becker等人(2000)用3.5mm、4.5mm的皮钉与6.5mm松钉比较研究发现,这三种钉的固定强度没有显著差异。
  • Mize 等人(2001)认为克氏针及可吸收钉的强度不够,建议用4.0mm松质骨螺钉或其它相似螺钉;

  • Westmoreland(2002)研究发现小直径螺钉(3.5mm)的抗拔出力量与大直径螺钉相当。
  • Jarit GJ(2006)建议关节内骨折用小直径(3.5mm)的皮钉代替大直径的松钉。

Hak DJ等人(2005)用直径6.5mm半螺纹空心螺钉1枚(A组)、2枚(B组);直径3.5mm皮质骨螺钉1枚(C组)、2枚(D组),共4分组对合成股骨Hoffa骨折模型进行固定后作了生物力学的比较研究。

结果发现:

  • 2枚直径6.5mm的半螺纹空心螺钉对骨折的固定强度明显高于1或2枚直径3.5mm皮质骨螺钉;
  • 1枚直径6.5mm的半螺纹空心螺钉对骨折的固定强度与1或2枚直径3.5mm皮质骨螺钉相当;
  • 加用另1枚6.5mm的半螺纹空心螺钉后仅轻微增加固定强度;
  • 如果使用直径3.5mm螺钉,应至少使用2枚才能达到1枚6.5mm的半螺纹空心螺钉对骨折的固定强度。

无头加压螺钉:与普通螺钉采用埋头的方法置入相比,无头加压螺钉置入后在关节软骨面上留下的切迹较小,允许多枚置钉;无头加压螺钉可增加骨折块间压力,其抗轴向压缩及极限负荷明显大于空心拉力螺钉,可极大增加骨折端的稳定性。

但对骨质疏松患者及后髁粉碎骨折的病例,单纯使用拉力螺钉不但不能达到坚强固定,还会导致进一步的骨质压缩;螺钉的把持力也较弱,易致固定失败,因此有必要加用支撑钢板进行固定。

螺钉方向   

Hoffa骨折最经典的固定方式是拉力螺钉由前向后(AP)固定,因为入路、显露及固定容易;同时,可从髁上非关节面入钉,避免了关节软骨损伤。

但研究发现,从后向前(PA)植入拉力螺钉对骨折固定的强度和稳定性显著高于由前向后(AP)置入的螺钉[Soni A 2012;Jarit GT 2006]。

选择PA还是AP置钉,还需考虑如下几个问题:

  • 手术入路:PA得从后方(后外或后内)入路,暴露及置钉操作较困难,血管、神经损伤的风险高;破坏残存血运,有可能增加骨块的缺血坏死。
  • 分型固定:如Letenneur I、III型骨折块较大,AP固定后方有较大的抓持骨块;但II型,尤其IIb/IIc型,后方骨折块较小,PA固定后螺钉前方抓持骨块大,强度自然比AP固定要高。
  • 软骨保护:PA置顶,螺钉必然要穿过软骨面,大直径螺钉必须得埋头处理,势必造成较大的软骨缺损。
  • 复杂骨折:合并股骨髁上、髁间骨折或双髁Hoffa骨折时,入路、固定方式等得全局考虑、权衡兼顾。

Xu(2016)等人以2枚6.5mm半螺纹空心螺钉从侧方非关节面打入,再以另一枚小直径(3.5mm或4.5mm)螺钉自髁间窝非关节面向前外侧(或前内侧)打入,形成三角形交叉螺钉固定的新方法治疗11例Hoffa骨折,与2枚平行加压固定的传统螺钉固定方式对比研究发现,该新方法与传统固定方法一样有效。

Buttress理念

由于Hoffa骨折存在较大垂直剪力,单纯螺钉固定失败病例报道较多。垂直剪力—单纯螺钉固定易导致骨折移位、固定失败:

Buttress固定理念

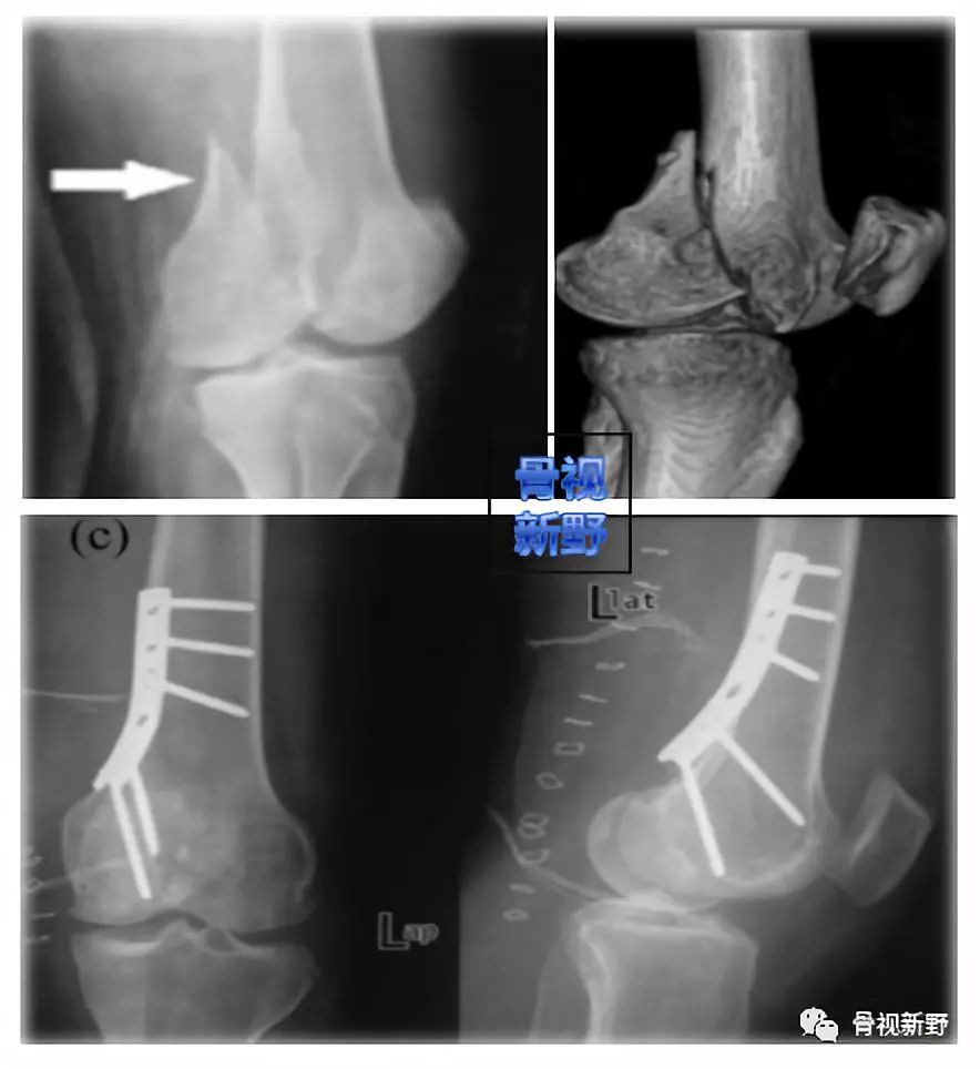
钢板-螺钉固定

在诸多螺钉固定失败的经验教训及在Buttress支理念支持下,各种拉力螺钉+钢板的组合应用均有报道,但总体以小直径拉力螺钉+小钢板支持或保护固定(后方/侧方)为主流趋势:

单纯后方Buttress钢板固定  

后内侧单纯钢板螺钉直接Buttress固定

侧方支持/中和钢板  

小直径拉力螺钉+外侧“L”形支持钢板

后方Buttress钢板固定  

后方Buttress钢板文献支持

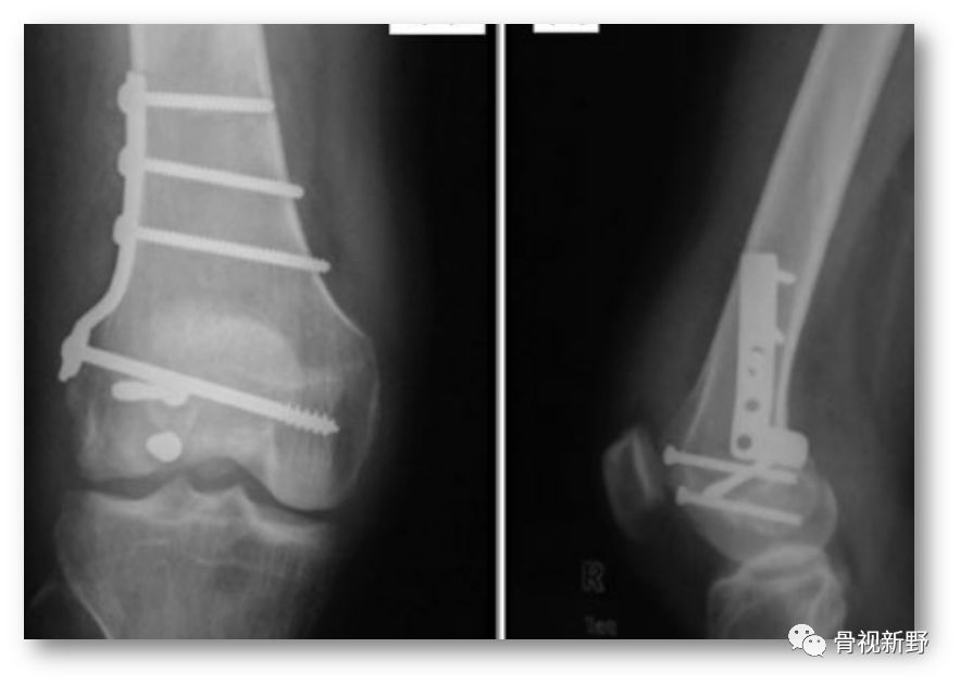
大直径拉力螺钉+重建板后内侧Buttress

无头加压螺钉(PA/AP)+重建板后内侧Buttress

后方+侧方双钢板固定  

小直径拉力螺钉+1/3管型钢板(扭转)后外侧Buttress+外侧LCP中和钢板

小直径拉力螺钉+侧方支持钢板+后方Buttress重建钢板

小直径拉力螺钉+LCP侧方支持钢板+后方Buttress钢板

分型固定研究

Letenneur 分型

Letenneur I型  

Letenneur I型Hoffa骨折骨块较大,有软组织相连,ACL和MCL有可能附着在骨块上;骨折线相对偏前,常见内固定方式为AP拉力螺钉固定,但也有其它固定方式的成功报道。

传统螺钉(小直径或大直径普通螺钉、无头加压螺钉)固定,从非关节面入钉(AP)。

传统拉力螺钉+后方butres或侧方中和钢板组合固定。

Sun等人(2017)对Letenneur I型Hoffa骨折常见内固定方式进行了生物力学研究:前后方向单纯螺钉固定( AP组)、后前方向单纯螺钉固定( PA组)、后方buttress钢板+拉力螺钉固定、侧方中和钢板+拉力螺钉固定,共4个实验性性固定组进行生物力学的对比研究。

结果发现,固定强度:钢板固定组(后方或侧方)总体的轴向强度高于单纯螺钉固定组;侧方中和板组能提供最大的固定强度、后方buttress钢板组次之;而螺钉组,PA组明显强于AP组。

Letenneur II型  

Letenneur II型是完全关节内骨折,骨折线接近后髁关节面,骨折块较小,固定困难;因为没有任何软组织相连,易发生缺血性骨坏死及骨不连。

传统螺钉(小直径普通螺钉埋头或无头加压螺钉)固定(PA)。

传统拉力螺钉(小直径螺钉或无头加压钉多枚、埋头、PA打入)加buttress钢板进行固定[JM Shi 2013]。 

也有人建议以CT分型的各分亚型进行不同的固定方式(但尚未得到广泛认可):

Letenneur III型  

Letenneur III型骨折线呈斜形,骨折块较大,且ACL和LCL有可能附着在骨块上。

传统螺钉固定(AP或PA)。

III型骨折线呈斜形,骨折块较大,髁间窝非关节面部分比较大,足以加打螺钉,因此,Xu等人(SpringerPlus,2016;5:1164)认为,他们创新的三角交叉螺钉固定新术式(图文详见前文)比较适合III型骨折。

也有人建议对III型骨折用拉力螺钉+侧方支持钢板及后方buttress双钢板固定(但尚未得到广泛认可):

总结

各种固定方式的强度对比

虽然有各种固定方式成功的报道及建议,但Hoffa骨折的内固定方式目前仍不统一,下面仅就常见内固定方式的坚强程度作一图解对比:图片侧、后方钢板可增加Hoffa骨折拉力螺钉固定的稳定性,但软组织剥离也势必扩大,进一步破坏骨折块残余血运,有增加缺血性骨坏死的风险。但目前并未见到各型Hoffa骨折坏死几率存在显著性差异的报道。

友情链接: