首页/牙周病学/舌头难受牵连整个口腔,是灼口综合征在作祟!/
舌头难受牵连整个口腔,是灼口综合征在作祟!
2022-09-01 10:40:452726浏览
灼口综合征(BMS)临床并不少见,在更年期或绝经期妇女中发病率高,女性患者约为男性患者的7倍。

01 定义

灼口综合征(BMS)是一种表现为口腔黏膜灼痛,常不伴有明显的临床损害体征、也无特征性的组织学改变。以舌部为主要发病部位,又称为舌痛症、舌感觉异常、口腔黏膜感觉异常等。该病临床并不少见,在更年期或绝经期妇女中发病率高,女性患者约为男性患者的7倍。

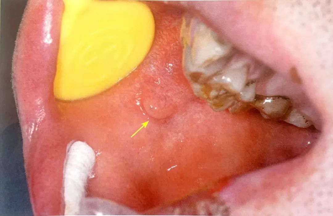
 舌正常结构图

舌腹伞襞(箭头示)

腮腺乳头(箭头示)

舌缘齿印

02 症状

灼口综合征的症状多样,烧灼感也会出现在口腔内的任何一个部位,但是对大多数病人来说,烧灼感通常位于舌尖和舌侧、舌背、上腭、唇内侧黏膜。病人可能会觉得有被热的食物烫过的感觉,可能出现酸、苦、或金属味觉。还会感到口干。

临床上有三个典型特点:

1.最常见的表现:持续症状在醒来后整个一天的时间。

2.晨起时没有或有少许的烧灼感,症状在白天随时间推移加重,晚上症状最重。

3.最不常见的表现:间歇性的症状,存在无症状日。

03 病因

灼口综合征的发病通常是渐进的,没有已知的促发因素或者行为。病因复杂。目前认为可能的诱发因素有局部、系统、精神和神经因素等多方面。传统的观点认为精神因素占突出位置。局部因素包括残根残冠、真菌感染等;全身因素包括更年期综合征、糖尿病、医源性菌群失调、维生素缺乏等。发病机制不明,目前更倾向于被认为是神经性疼痛的一种形式。

04 临床检查

(一)诊断灼口综合征时应注意以下几点:

1.口腔黏膜(以舌表面为主)烧灼样疼痛,或具有异常感为主诉;

2.舌部以及口腔黏膜五器质性病变;

3.无全身性器质性病变,如贫血、糖尿病、结缔组织病等;

4.未服慢性病药物,如心血管等常用药;

5.不符合神经分裂症等心因性神经障碍的诊断。

(二)辅助检查

无特异性的实验室检测指标和病理检查依据,但需要实验室检查除外全身系统性疾患。

(三)鉴别诊断灼口综合征是较常见的口腔粘膜疾病,目前尚缺乏统一的诊断标准。灼口综合征需要与灼口相关症状相鉴别:舌部溃疡、三叉神经痛、叶状乳头炎、舌癌。

05 治疗

(一)传统治疗

BMS病因尚不明确,目前仍缺乏特异的特效方法。治疗主张全身和局部、中医和西医、生理和心理相结合。

(二)对症治疗

消除局部刺激因素,积极疼痛明显者可局部应用止痛药物。

(三)全身治疗

1. 积极治疗全身系统性疾病,如糖尿病、贫血、维生素缺乏等。2. 失眠、抑郁明显者可用谷维素、维生素B1等药物,氯硝西泮等抗抑郁药物可能对于该病的治疗有一定帮助。3.认知疗法等心理治疗。

(四)中医中药治疗

1.中药治疗:以疏肝解郁等为基本治则,成药可选用加味逍遥丸、坤宝丸等。

2.其他疗法:穴位注射疗法、激光治疗等。

(五)其他治疗

非药物治疗方法,可以单独使用或作为药物治疗的辅助治疗,包括:压力管理、瑜伽、运动、与心理治疗等。


06 并发症及预防

(一)并发症

灼口综合征是较常见的口腔粘膜疾病,但相对是一种良性病变。部分患者可因口腔黏膜烧灼感妨碍饮食及言语,影响患者的生活质量。

(二)预防

1.更年期前后女性要注意休息,保持心情愉快,避免过度疲劳;

2.避免过度劳累和紧张,生活起居有规律,保证充足的睡眠;

3.保证饮食均衡,多吃一些新鲜蔬菜水果和富含维生素的食物;

4、避免伸舌自检习惯

(三)饮食

少食或不食辛辣或刺激性食物。营养状况不良者可适当补充维生素类、叶酸等。

(四)疾病护理

心理硫导治疗,消除恐癌心理。纠正患者伸舌自检的不良习惯。

友情链接: