首页/口腔种植/图文结合:上颌窦外提升操作方法,全面解析!/
图文结合:上颌窦外提升操作方法,全面解析!
2022-09-13 10:33:306659浏览
上颌窦底提升术是上颌后牙区最常用的骨增量方法。根据开窗路径的不同,上颌窦底提升术被分为经上颌窦侧壁开窗的窦提升术,简称外提升术,以及经牙槽嵴顶的上颌窦底提升术,简称内提升术。

一、内提升、外提升的选择

上颌窦外、内提升的两种术式的选择,与许多因素相关。决定术式的最直接的因素是缺牙区的剩余牙槽骨高度,通常的原则是当剩余牙槽骨高度介于5~8mm,行上颌窦内提升术,可同期植入种植体;当可用骨高度小于5mm时,应先行上颌窦外提升术,可同期或分期进行种植体植入。

但内提升或外提升的选择标准并不是绝对的,近年随着种植体和提升器械的飞速发展,上颌窦提升术有了更多的选择。

具体病例对提升术式的选择或是否同期植入种植体,要根据临床医师对骨质骨量的判定、提升器械的选择、上颌窦具体的解剖特点以及医师个人的操作经验而定。

以下介绍上颌窦外提升术详细操作方法。

二、上颌窦外提升操作方法

一、侧壁开窗,上颌窦黏膜完整,同期植入种植体

1.单颗牙缺失,同期植入种植体

上颌后牙区第一磨牙是缺失频率较高的牙位(图1A),由于各种原因会导致该位点的牙槽骨高度不足。该病例为47岁男性患者,A6缺失,不吸烟,既往史无特殊,健康状态良好。患者要求种植修复,避免伤及邻牙。

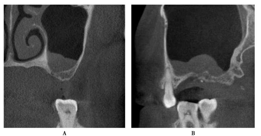
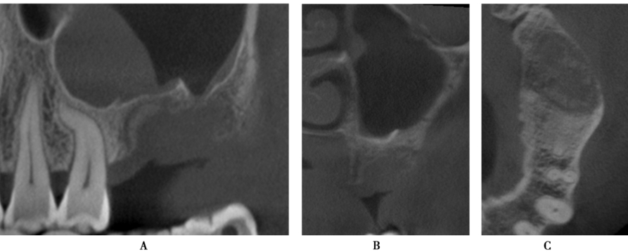
术前CBCT示剩余牙槽骨高度约3mm,近远中距离约10mm,宽度大于8mm,上颌窦内清澈无炎症,上颌窦底黏膜约2mm(图1B,C)。为保证植骨效果,拟进行上颌窦侧壁开窗外提升并同期植入种植体。

图1 A6缺失,CBCT示剩余牙槽骨高度3mmA.口内观;B.矢状面;C.冠状面

在缺牙区的近远中做垂直切口,底部稍宽。采用超声骨刀在上颌窦侧壁开窗并分离上颌窦黏膜(图2)。

由于相邻牙齿牙根的存在,会限制侧壁开窗的大小,但仍然需要在判定清楚邻牙牙根位置的情况下,保证窗口的足够大小,以便于上颌窦黏膜剥离器械的操作和骨粉的填入。

图2 侧壁开窗及分离上颌窦黏膜A.形成开窗口;B.分离窦黏膜

对于人工骨而言,建议在翻瓣时即使用空针管收集1~2ml的术区血液备用,用以混合骨粉,可以提高人工骨的成骨效应。

将混合了血液的骨粉植入分离了窦黏膜的上颌窦腔内,并可以采用慢速备洞的方法制备种植洞形,由于此时人工骨粉已经将窦底黏膜抬起,种植的钻针在备洞的过程中不会刺破窦黏膜,并可以使用骨挤压器改变骨密度,完成上颌窦的提升(图3)。

图3 翻瓣时使用空针收集1~2m l血液,并和骨粉相混合,完成上颌窦内的骨粉充填A.翻瓣后收集血液;B.用收集的血液混合骨粉;C.填入骨粉

骨质较好,能获得足够的初期稳定性,同期植入种植体(图4A),开窗部位覆盖可吸收生物膜,更利于新骨形成(图4B)。

图4 同期植入种植体,开窗部位覆盖可吸收生物膜A.同期植入骨水平种植体;B.覆盖胶原膜

术后当天CBCT,三维方向显示种植体周围及种植体顶部均有充填的骨粉,上颌窦底黏膜完整,提升效果良好(图5)。

图5 术后当天CBCT

上颌窦底黏膜提升后形成的封闭空间具有较强的成骨性能,人工骨颗粒之间的间隙及表面会有新生骨形成,最终形成致密度较高的骨质。

组织学研究表明术后3~4个月,新骨的形成量会完成19%。通常需要6~8个月的时间来完成新骨的形成。

术后8个月,CBCT可以在三维方向清楚地显示种植体周围及种植体顶部均有骨组织结合(图6),提示可以完成上部结构修复(图7)。

图6 术后8个月

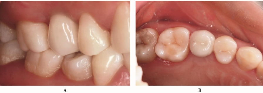
图7 完成最终修复A.置入基台侧面观;B.置入基台𬌗面观;C.完成烤瓷牙修复侧面观;D.完成烤瓷牙修复𬌗面观

对于后牙区的修复而言,由于容易出现食物嵌塞、崩瓷等问题,采用𬌗面开孔的修复方式,开孔处可用复合树脂封闭。

2.多颗牙缺失,上颌窦外侧壁开窗提升,并同期植入种植体

上颌后牙区多颗牙缺失通常直接选用CBCT作为术前检查,可以对每一个植入位点的骨量及相关解剖结构进行详细的分析,以决定采取的手术方式(图8)。

图8 多颗牙齿缺失A.口内观;B. CBCT水平面观

49岁的男性患者,少量吸烟,既往史无特殊,健康状态良好。上颌双侧后牙缺失,CBCT显示上颌窦黏膜厚度适中,窦腔内无炎症。

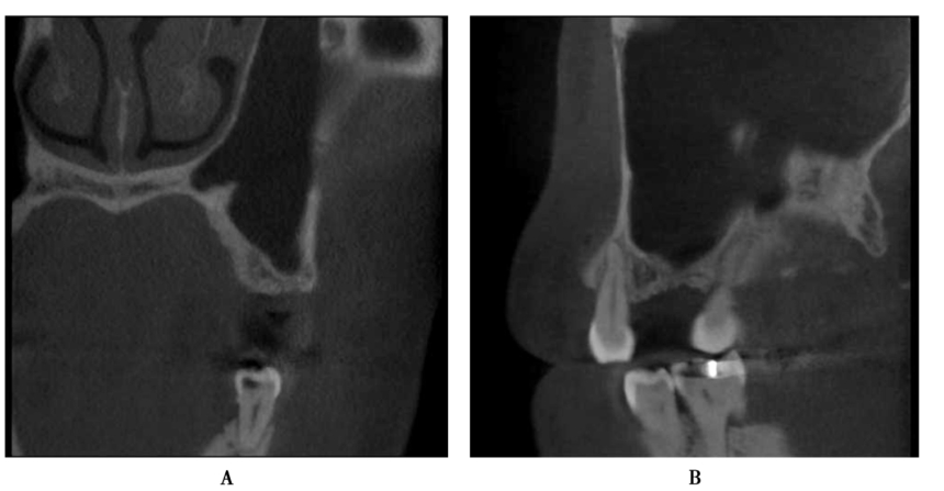
CBCT显示:患者B区牙槽骨吸收较A区严重,剩余牙槽骨高度B区约3mm(图9B),A区约6mm(图9A)。

根据CBCT的分析结果,B区选择侧壁开窗的上颌窦外提升术;为减轻术后反应,A区则选用短种植体并进行经牙槽嵴顶路径的内提升术。

图9 双侧上颌窦CBCT矢状面A.右侧A区;B.左侧B区

B区完成上颌窦外提升术,并同期植入种植体(图10)。

图10 上颌窦外提升术,同期植入种植体A.采用超声骨刀形成约8mm×15mm大小的窗口;B.分离窦黏膜;C.窦底黏膜已经分离;D.填入骨粉,并同期植入种植体

二、侧壁开窗,分期植入种植体

通常由于上颌后牙区的严重蝶形吸收并伴有窦底位置较低,或不能获得较好的初期稳定性,或分离过程中窦底黏膜有破损,窦腔有炎症等各种原因,上颌后牙区的上颌窦提升和种植体植入需要分期完成。

1.上颌窦黏膜穿通

Stephen S.报道,使用机械磨头开窗,黏骨膜的穿孔率平均为30%,绝大多数穿孔发生在使用机械磨头和使用剥离器械进入上颌窦的时候,而不是在剥离的过程;而使用超声骨刀开窗:黏骨膜的穿孔率为7%。下面是一例上颌窦外提升手术过程中上颌窦黏膜发生穿通的病例。患者,女性,37岁,全身状况良好,要求种植牙修复。B5缺失,缺牙间隙大小合适,牙槽骨宽度理想(图11)。

图11 B5缺失,口内观A.颊面观;B.𬌗面观

术前CBCT显示缺牙区牙槽嵴顶到上颌窦底的最小高度约3mm,上颌窦底黏膜约1mm,上颌窦腔影像清澈,无炎症,侧壁厚度1~2mm(图12)。

图12 术前CBCTA.冠状面;B.矢状面

超声骨刀侧壁开窗,剥离上颌窦黏膜(图13A)。但在剥离的过程中,由于开窗中央骨块锐利的边缘,侧壁上颌窦黏膜发生穿孔(图13B)。采用胶原膜封闭穿孔后,植入Bioss®骨粉,采用延期种植。

图13 侧壁开窗A.超声骨刀开窗;B.分离窦黏膜,但出现小的穿孔

术后CBCT,见上颌窦内有血液充盈,但骨粉充填良好,未见骨粉弥散,保持了良好的形态(图14),提示胶原膜对穿孔起到了良好的封闭。

图14 术后CBCT,可见窦腔有积液A.矢状面;B.冠状面

术后6个月,完成种植体植入,并最终完成种植修复(图15)。

图15 完成最终的冠修复A.颊面观;B.𬌗面观

完成修复6个月后复查,CBCT三维方向显示种植体周围有充分的骨组织支持。上颌窦内的血液彻底吸收,窦内黏膜无增厚,窦腔放射影像重新变为透射,说明上颌窦有一定的自愈能力(图16)。

图16 修复6个月后复查CBCTA.冠状位;B.矢状位;C.水平位

2.上颌后牙区的严重凹形吸收并伴有窦底位置较低

由于牙周病等原因导致的上颌后牙区牙齿缺失,往往会在该区域造成明显的凹形骨缺失,并伴有窦底位置较低,不能进行直接的种植体植入,需要先进行骨组织增量。在该区域的ONLAY植骨,由于软组织的缺失和颊部张力的存在,效果并不理想,需要在增高牙槽骨高度的同时,也要进行上颌窦底的提升,这样才能获得足够的骨量。

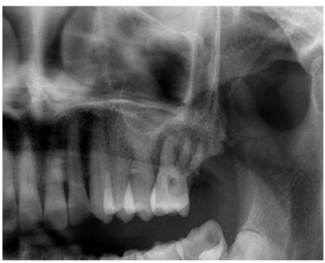
患者,女性,58岁,B7缺失,B6Ⅲ°松动。数码全景片示B6根折,根尖周阴影明显,骨质缺损明显(图17)。

图17 数码全景片(局部)显示B6牙槽骨吸收明显

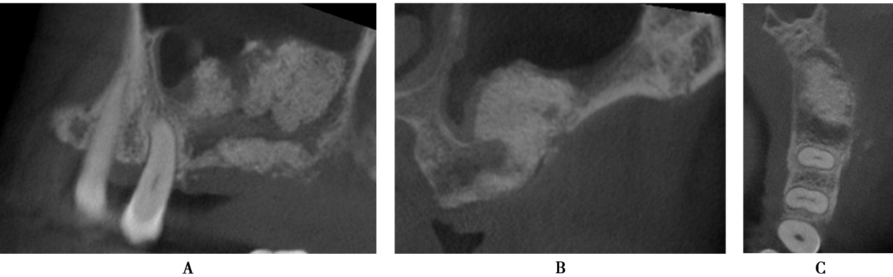
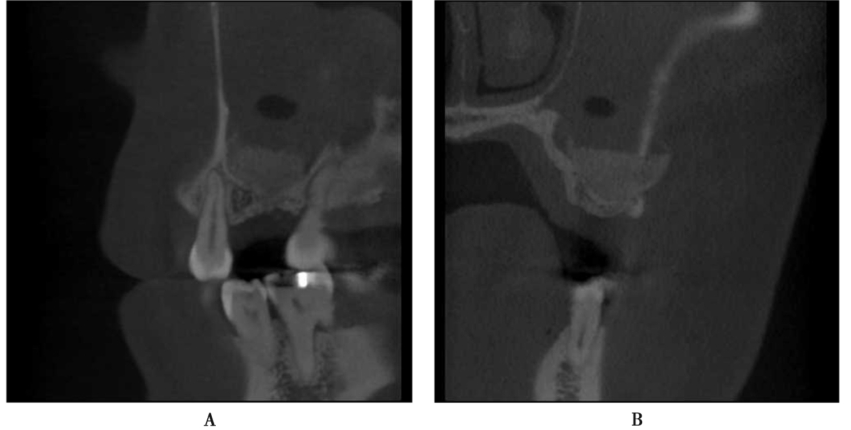
因为B6根尖和牙周炎症较重,拔牙后没有即刻行拔牙位点保护术。拔牙2个月后,外提升术前CBCT示骨质缺损明显,剩余骨量不足以进行种植体植入(图18)。

图18 同一患者拔牙后2个月CBCT,骨量明显不足A.矢状位;B冠状位;C水平位

在B6、B7外提升术的同时,进行了牙槽嵴顶的GBR。术后CBCT示窦底和牙槽嵴顶均填入人工骨粉,骨量增加明显。由于不能获得良好的初期稳定性,没有同期植入种植体(图19)。

图19 完成骨增量后CBCT示骨增量明显A.矢状位;B.冠状位;C.水平位

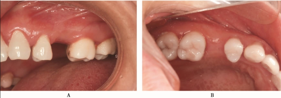
术后6个月,翻瓣,见牙槽嵴顶处新形成的骨质良好(图20)。在进行种植窝预备时,可以明显感觉到上颌窦内增量的骨组织的密度较高,种植体可以获得充分的初期稳定性。

图20 骨增量后6个月,完成种植体植入A.术后6个月口内观;B.翻瓣后骨质良好;C.植入种植体

外提升6个月后植入种植体,CBCT示骨增量效果明显(图21)。

图21 种植术后CBCT三维影像A.矢状位;B.冠状位;C.水平位

3.剩余牙槽骨极少,种植体不能获得较好的初期稳定性

患者,男,40岁,B5~B7缺失,A6、C7缺失,B区的数码全景片和CBCT显示剩余牙槽骨高度为1~2mm,故决定先进行外提升术,并分期完成种植体植入(图22)。由于B7根尖区炎症并Ⅲ°松动,故先拔除B7,1个月后,软组织愈合后进行上颌窦外提升术(图23)。

图22 数码全景片

图23 拔除B7A.左侧CBCT;B. B7拔除后1个月的口内观

超声骨刀侧壁开窗,并分离窦黏膜(图24A)。开窗游离的上颌窦外壁被推向上内,形成新的上颌窦底(图24B)。

图24 上颌窦外提升A.侧壁开窗;B.剥离窦底黏膜

分离窦黏膜后,将混合了患者自体血液的人工骨粉填入窦腔内和牙槽嵴顶处,并覆盖可吸收性胶原膜,然后严密缝合(图25)。

图25 窦腔内及牙槽嵴顶处均填入骨粉,并覆盖胶原膜A.分离上颌窦黏膜;B.填入骨粉,覆盖胶原膜;C.严密缝合

术后当天CBCT,三维显示人工骨充填情况,窦底黏膜完整,窦腔内无积液,骨增量效果良好(图26)。

图26 术后当天CBCTA.矢状位;B.冠状位;C.水平位

外提升术后6个月复诊,CBCT示人工骨区域骨密度增强,骨质形成佳,可以进行种植体植入(图27)。

图27 外提升术后6个月CBCT矢状位及冠状位见人工骨植入位置及形态好

种植体植入后3个月,种植体周围骨结构良好,可以进行上部结构修复(图28)。完成上部结构修复(图29)

图28 种植体植入后3个月CBCTA.矢状位;B.冠状位;C.水平位

图29 完成上部冠修复A.颊面观;B.𬌗面观

4.上颌窦黏膜增厚,可以骨增量后完成种植体植入

上颌窦黏膜增厚,并不是上颌窦提升的禁忌证。对于这类患者,可以采用分期完成的方法。

手术前CBCT检查显示患者窦腔内黏膜增厚,骨量严重不足,为保证骨增量效果,采用分期完成的方法,完成上颌窦窦底提升(图30、图31)。

图30 术前CBCT,上颌窦黏膜增厚明显A.冠状位;B.矢状位

图31 上颌窦外提升术后,CBCT显示植入的骨粉及增厚的黏膜情况A.矢状位;B.冠状位

友情链接: