首页/骨科小技巧/寰枢椎置钉技术!/
寰枢椎置钉技术!
2022-09-20 18:49:141079浏览
寰枢椎置钉技术!

术前准备

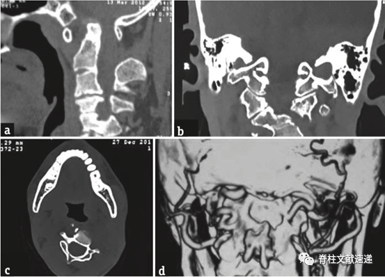
术前行椎动脉CTA,观察椎动脉与骨质的位置关系,C1侧块、C2侧块、C2峡部、C2椎弓根、C1/2侧块关节方向等信息。要充分评估骨质和椎动脉的各种畸形,如下图。

上图:(a)颅底凹陷、寰枕部分融合、C2-3部分融合;(b)C1/2侧块关节不对称;(c)旋转脱位;(d)椎动脉走行异常伴右侧椎弓根发育不良。

体位摆放:磨钻和得心应手的置钉器械,如下图。

上图:a)俯卧位,手术台头端随着牵引方向抬高30度,导致接近浮动的头位,避免了对面部的压力。b)磨钻,以及不同类型的处理侧块关节的骨刀。

 手术操作


2.1 显露:床头高30度颅骨牵引,7-10%体重的重量。后正中切口,骨膜下剥离。15号小圆刀解剖寰枢之间的软组织。如下图。

上图:手术步骤与正常骨质的比较。a)骨膜下剥离显露C2棘突、C1后弓和颈2椎板。b)15号小圆刀在椎板内侧进行锐性解剖,显露椎弓根内界。

2.2 C1/2侧块:显露了C1/2侧块(下图)。接下来用不同大小的骨刀松解侧块关节。将骨刀插入侧块关节后旋转90度。用骨刀旋转和磨钻去除关节软骨(再下图)。在侧块关节内置入垫片或骨质并敲击至前方,垫片高度4-8mm。

上图:C1/C2关节间隙暴露。(注:可见作者切断C2神经根,以更充分显露C1/2侧块空间)

上图:C1/C2侧块关节处理,采用骨刀和金刚砂头磨钻。

2.3 徒手置钉技术:利用磨钻(直径1.1mm/1.2mm,长度22-25mm)和声音探测器(soundprobe,不清楚为何物),沿着峡部和椎弓根方向钻孔。这样不会有过多的骨质丢失,即使需要改道也不会影响钉道强度。其他步骤正常,采用锥子、手钻钻孔,植入合适长度的螺钉。

2.3.1 C2椎弓根螺钉置入:探查椎弓根的方向,在椎板上缘向下4mm处钻孔,感受钻头周围的骨质。在同一路线上多次(4-5次)钻孔,以便螺钉顺利置入。见下图。

上图:探查C2椎弓根的方向并置入螺钉

2.3.2 C1侧块螺钉置入:探查C1侧块内外界,进针点在后弓和侧块交界处的正中,轻度内倾和头倾。因局部呈弧面和皮质骨坚硬,采用磨钻开口较安全。见下图。

上图:作者之前进行了侧块关节松解,此时可见C1侧块下终板,方便指引C1侧块螺钉置入方向。

2.3.3 C1侧块螺钉置钉细节



这篇文献中详细阐述了C1侧块螺钉的技术细节:进针点、内倾角度和头倾角度。通过对93名成人C1侧块CT数据的测量,认为进针点选在寰椎侧块与后弓内缘交界点向外3mm处最佳;0度和15度内倾均可,15度内倾时螺钉置入更长;平行于后弓置入、钉尖指向寰椎前弓下1/3处。该技术可以通过后弓内缘找到侧块,减少了C1/2侧块空间的显露范围,减少了局部静脉窦损伤导致大量出血的可能,同时较易学习和掌握。见下图。(注:该文献讨论部分介绍了不同术者对C1侧块螺钉置入细节的研究,感兴趣可以查阅。)

上图:参考点:侧块和C1后弓内缘的交点(星号),进针点为参考点向外3mm。三角形代表进针点选择旁开3mm、5mm和7mm时的位置。0°和15°内聚时的螺钉轨迹。螺钉长度为距离前方皮质2mm较理想(术中耐心的调节限深手钻,将前方皮质刚好攻破最佳)。

上图:术中用神经剥离子探查显露参考点(后弓内侧缘与侧块交界处)(A),侧位透视可见螺钉平行于C1后弓(B)。沿C1后弓下缘向外向前找到后弓的内侧缘,进而找到C1后弓内缘与侧块的交界点。C1后弓中点到侧块内缘的距离约为14mm。

下图为笔者近期置入的C1螺钉。进针点选择尚可,该患者C1侧块发育不良,故没有内聚角;螺钉距离前缘皮质1-2mm;螺钉与后弓不平行,所幸螺钉没有进入寰枕关节;学习ing。

2.3.4 C3侧块螺钉置入:有时需要置入C3侧块螺钉或椎弓根螺钉以提高内固定的稳定性。下图为C3侧块螺钉置入。下颈椎螺钉置入在之前的文献中进行了详细介绍。

友情链接: