首页/骨科小技巧/CT引导下脊柱穿刺活检术!/
CT引导下脊柱穿刺活检术!
2022-09-20 18:45:591463浏览
不同部位的穿刺活检技术

不同部位的穿刺活检技术

 

先建立穿刺点区域放置标记网格,图像覆盖异常椎体上部椎弓根至下部椎弓根。

1、颈椎CTNB:颈椎是最不常见的需要脊髓活检的部位。在1054例联合研究中,只有21例(2%)在颈部进行手术。颈椎CTNB的各种入路取决于椎体节段。C1和C2前中央部位(包括齿突)的病变可通过经口途径进入,而C1和C2前外侧部位的病变可通过上颌和下颌骨之间的上颌旁入路进入。后入路用于对颈椎棘突、椎板和关节图的病变进行活检。

图1:10岁女孩颈部疼痛。A/B.矢状位T1像和轴向T2像显示右侧C5不均匀肿块(箭头)。C.轴位CT显示右侧C5椎板有一大块骨化溶解性病变(箭头)。D.经后路CTNB诊断为成骨细胞瘤。

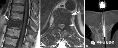
图2:14岁男孩颈部疼痛。A.矢状面T2图像显示C7椎体病理塌陷(箭头)。B.T2轴位像显示颈动脉鞘的位置(箭头)。C.CT-NB

图3.55岁男性,颈部疼痛。矢状T1像和轴向T1像显示C3-C5椎体前软组织肿块占位。CTNB经后外侧入路进入椎前软组织,证实为转移性腺癌。针入位于颈动脉鞘前方(箭头所指)和小关节突关节之间。

2、胸椎CTNB:胸椎穿刺活检的入路选择包括经椎弓根入路、肋椎(横肋间)入路和经椎间孔入路。

①1991年Renfrew等人首次将经椎弓根入路用于CTNB,作为后外侧入路的替代方法。它是最常见的CTNB技术之一,适用于胸腰椎区域,非常适合于椎体病变。

②肋椎(横肋间)入路最早由Brugieres等人于1990年在27例患者中得出25例(92.6%)诊断为阳性。相对于弥漫性椎体浸润而言,肋椎入路可能更适合于位于中心的病灶,而经椎弓根入路通常允许进入椎体外侧三分之一。在安全方面,当椎弓根特别薄时,经椎弓根入路存在神经根损伤的潜在风险,或使用后外侧入路时存在气胸的风险。肋椎入路时,椎管及其内容物受到椎弓根内侧的保护;胸膜和肺由侧侧的肋骨、头/颈保护。

③经椎间孔椎间盘入路于2003年被描述用于治疗T3和L5之间的病变。使用这种技术特别是可以进入位于椎体后中央的病灶。

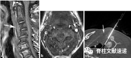
图4:65岁男性,胸椎背部疼痛。A/B.矢状位T1像和轴位T2像显示T10椎体(箭头)呈弥漫性低信号浸润并延伸;C.CT-NB经左侧椎弓根入路证实为前列腺转移。

图5:11岁女孩,有股骨肉瘤病史,并发上胸椎背部疼痛。a/b.矢状位和轴位T2图像显示T4椎体内明显低信号区(箭头),并伴有反应性骨髓水肿。c轴位CT显示致密成骨病变(箭头)。dCTNB通过下肋横关节间隙证实为转移性成骨性骨肉瘤。

3、腰椎CTNB:经椎弓根入路是一种被广泛描述的技术,具有较高的诊断价值。如前所述,对于弥漫性侵及椎体或累及椎体外侧三分之一的病变,尤其适用于向一侧或两侧椎弓根延伸的病变。如果椎弓根未受累,病变进入前可能必须穿过2-3厘米的正常骨。在这种情况下,后外侧椎弓根外技术或胸椎椎间孔入路可以直接进入弥漫性椎体病变或后外侧/外侧椎体局部病变。

图6:58岁男性,表现为腰痛。A/B. 矢状位T1像显示L2左侧不确定的低信号病变(箭头)。B. 活检前CT示椭圆形轻度硬化病变(箭头)。C. CTNB后外侧椎弓根外入路诊断为不典型血管瘤。

图7:56岁男性,表现为腰痛。A/B.矢状位T1和轴位T2像显示L3椎体后中央侧的小叶病变(箭头)。C.CT显示界限不清的溶样病变(箭头)伴边缘硬化。D.经右侧椎间孔椎间盘入路CTNB诊断为脊索瘤。

图8:76岁男性,表现为腰痛。A/B.矢状T1和轴向T2像显示L3椎体后中央部位的病变,并向左侧延伸。C.CT显示一界限不清的溶解性病变(箭头),经椎弓根入路无法进入。D.CTNB经左侧椎间孔椎间盘入路诊断为转移性病变。

4、骶骨CTNB:骶骨CTNB的不同入路取决于病变的位置。对于主要累及骶翼的骶骨上部病变,考虑到原发性骶骨肿瘤需要切除的可能性,应考虑采用后中线入路斜入骶翼,或者当转移性疾病、淋巴瘤或感染被认为是最可能的诊断时,应考虑采用后中线入路直入骶翼。对于发生在上骶骨中心的病变,可以采用后外侧入路,以内侧成角入骶骨,注意避开骶孔。对于中央起源的肿瘤,如起源于下骶/骶尾骨区域的脊索瘤,可采用后路中线入路。

图9:40岁女性,表现为左侧臀部疼痛。A冠状T1和B轴向图像显示左侧骶翼上侧面有一不确定的病变,并伴有反应性骨髓水肿。C活检前CT显示一界限清楚的溶解性病变。D.CTNB经中心入路斜侧入路诊断为朗格汉斯细胞组织增多症。

图10:一位77岁女性,表现为腰痛。A/B.矢状位T1和轴位T2显示骶S2-S3节段病变不确定,T11和L3节段进一步病变,特征与转移一致。C.活检前CT显示右骶翼界限不清。D.CTNB经直接后入路可见炎症组织,无恶性肿瘤迹象。

图11:76岁男性,既往有肺癌,表现为腰痛。A/B:矢状位T1和轴位T2图像显示S1(箭头)中心部位病变。C.CT显示S1中心界限不清(箭头)。D.CTNB经内侧成角的外侧入路诊断为转移性病变。

图12:56岁男性,表现为中枢性腰痛。A/B:矢状位T2和轴位图像显示骶骨中央有一个大病灶(箭头)并伴有骶骨前大肿块。C.CT显示骶骨中心有一个边界不清的肿块,主要是完整的后皮质(箭头)。D.CTNB经中线入路诊断为浆细胞瘤。

友情链接: