首页/足踝/手术技巧:第5跖骨基底骨折切开复位内固定!/
手术技巧:第5跖骨基底骨折切开复位内固定!
2022-09-22 11:26:493752浏览
根据骨折特点,以及患者需求,第5跖骨基底骨折的治疗方案主要包括非手术治疗(石膏,支具,以及保护下的负重)及手术治疗(髓内螺钉、钢板、克氏针、张力带技术等)。

适应症

第5跖骨基底骨折根据骨折部位,分为三区(Lawrence-Botte分区),二区骨折(Jones骨折)位于血运分界区,骨折后容易导致骨折不愈合。对于II区、III区骨折,延迟愈合骨折,以及运动员的急性骨折,通常需要手术治疗。

治疗方案选择

根据骨折特点,以及患者需求,第5跖骨基底骨折的治疗方案主要包括非手术治疗(石膏,支具,以及保护下的负重)及手术治疗(髓内螺钉、钢板、克氏针、张力带技术等)。

检查/影像学

第5跖骨基底部骨折主要变现为局部压痛,足部内翻时疼痛可加重。X线上可显示第5跖骨基底骨折(正位,Fig. 24.2A;斜位,Fig. 24.2B;侧位,Fig. 24.2C)上可见第五跖骨基底骨折线延伸至第4/5跖骨间关节。

手术解剖

第5跖骨基底部II区是血流灌注相对较少的区域(Fig. 24.3A) ,近端为干骺端动脉,远端为滋养动脉

第5跖骨基底部弯曲(与置入直型内固定相关,如螺钉)(Fig. 24.3B)同时,在手术入路过程中,需注意勿损伤腓肠神经。腓骨短肌肌腱止于第5跖骨基底部,需注意勿损伤(Fig. 24.3C)

体位

第5跖骨基底部骨折内固定通常可采用仰卧位(患肢轻度内旋)或侧卧位,患足靠近手术台边缘,利于操作。

切口/显露

切口靠近第5跖骨基底,位于第5跖骨外侧缘,长约2-4cm(Fig. 24.4A) 。该角度利于置入套筒(Fig. 24.4B) 。保护易损伤结构

①  手术无需常规暴露腓肠神经,如术中显露,则需将腓肠神经向背侧、上方牵拉② 观察腓骨短肌止点,勿损伤,同时将腓骨短肌向背侧、上方牵拉③ 显露腓骨长肌并向后侧、内侧牵拉

手术步骤

Step 1最佳导针置入位置为第5跖骨基底近端、内侧顶点,避免软组织阻挡导针位置需要在术中透视中正位(Fig. 24.5B) 、斜位(Fig. 24.5C) 及侧位(Fig. 24.5D) 上证实

Step 2理想的螺钉直径主要通过不断增加钻头的直径和相应的丝攻直径来判定①钻头需要穿过导针(Fig. 24.6)

②丝攻需要攻入跖骨(Fig. 24.7)

理想的丝攻直径是能够提供良好的髓内固定,使螺钉具有足够的把持力(Fig. 24.8)① 如果4.5mm螺钉可以良好把持骨折远端,则是理想的螺钉,如果不能则需要换用更大直径螺钉② 大部分第五跖骨基底推荐使用5.5mm丝攻,但有些也需要6.5mm标有刻度的丝攻有助于确定螺钉长度

Step 3

  • 基于理想的丝攻直径,可以选择合适的螺钉直径
  • 螺钉长度的选择基于标有刻度的丝攻或通过空心/非空心的测深器证实
  • 在置入螺钉之前,可以将螺钉紧贴骨面,观察位置是否恰当,螺纹是否全部进入骨折远端(Fig. 24.9)
  • 置入软组织保护套
  • 稳定骨折远端,拧入螺钉(Fig. 24.10)

透视证实螺钉位置满意(Fig. 24.11)。螺钉头需全部进入跖骨,螺纹全部通过骨折线

Step 4

  • 如果存在足内翻,则需要校正弓形足/内翻足力线以避免第五跖骨高负荷推荐可能
  • 的跟骨外侧、外翻截骨术
  • 前足引起的内翻推荐采用第一跖骨截骨术

术后康复和预期结局

在可控制的助行器、石膏或夹板中,进行严格控制下的负重保护3-4周在助行器中逐渐增加负重3-4周

影像学证实第5跖骨基底骨折愈合,则可以进行完全的负重

严格控制体育运动,知道骨折处按压无疼痛或影像学证实骨折愈合(大约10-12周)

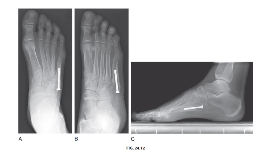
四个月随访后,骨折愈合(Fig. 24.12)

友情链接: