首页/口腔种植/美学区即刻种植中的双区植骨/
美学区即刻种植中的双区植骨
2022-09-27 19:01:445087浏览
内容转自 九头鸟咵种植

双区牙槽窝管理(Dual-Zone Socket Management),又名双区治疗(Dual-Zone Therapy),该理念最早由Stephen J. Chu等于2012年首次提出[1],是指在即刻种植中,使用双区植骨,联合应用临时修复体/个性化愈合基台封闭牙槽窝的治疗技术,目前已成为美牙区即刻种植中的常用技术之一。所谓“双区”(dual-zone),指的是牙槽窝即刻种植常常涉及的两个区:(1)骨区,是位于种植体颈部平台根方的区域;(2)软组织区,是位于种植体颈部平台冠方的区域(图1)。本文就双区植骨的操作流程及技术要点做简要介绍。


图1 双区的植骨的概念


双区牙槽窝管理的意义

在牙齿拔除后,拔牙窝的骨区和软组织区都会发生颊舌向的尺寸变化,颊侧的软硬组织会发生退缩和塌陷。而双区植骨联合应用临时修复体封闭牙槽窝,能够有效维持软硬组织的轮廓,使拔牙后牙槽嵴的颊舌向塌陷最小化,且能增加植体周围软组织的厚度[2],避免了在即刻种植同期或后期需要使用创伤更大的结缔组织瓣移植,减少了软组织过薄基台透色的风险。

双区植骨的临床操作流程[3]

非临时修复体的制作可以在拔牙前提前做好修复体外壳,术中连接临时基台后使用流动树脂内衬,口外修整抛光完成;或者在术中种植体植入后植骨前制取印模,椅旁制作完成临时修复体。按照术前计划偏腭侧植入种植体,颊侧保留≥2mm宽度的跳跃间隙,将常规小直径愈合基台安装于种植体上,以便于植骨(图2)。

将植骨材料与无菌生理盐水混合,然后使用输送器将植骨材料植入跳跃间隙内(图3),使用小弯头骨充填器压实植骨材料。

重复上述过程,直至植骨材料充填至几乎平齐龈缘(图4-图6)。

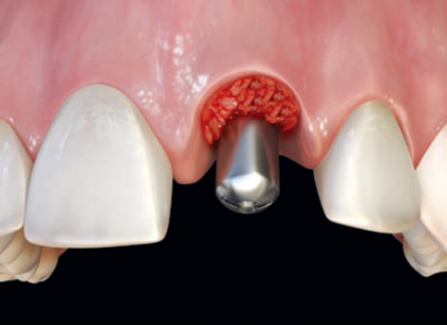
等待间隙内的植骨材料稳定大约10分钟,以获得初步的血凝块稳定,然后取下愈合基台(图7)。

安装制作好的临时修复体或个性化愈合基台,容纳封闭植骨材料(修复性牙槽窝封闭)(图8)。

使用探针去除多余的从龈缘溢出的植骨材料(图9),修复体调𬌗至无功能接触,即在牙尖交错位,前伸、侧合运动时均无接触(图10到11)。

等待骨愈合成熟,4-6个月后再次取下修复体,制取终印模。


图2 安装常规愈合基台

图3 植骨颗粒与生理盐水混合后填入跳跃间隙

图4 骨充填器压实植骨材料,填充跳跃间隙

图5 继续充填骨粉到软组织区

图6 植骨材料充填至几乎平齐龈缘

图7 卸下愈合基台

图8 安装提前制作好的临时修复体

图9 使用探针去除多余溢出的植骨材料

图10  修复体调𬌗至无功能接触(正面观)

图11 修复体调𬌗至无功能接触(𬌗面观)

双区植骨技术中植骨材料的选择[3]

对于双区植骨,植骨材料的选择近些年来仍存在争议。部分原因是由于目前有多种来自不同制造商的产品的组合。此外,很多医生也有各自喜好的或已经使用多年的首选植骨材料。然而,根据特定区域的最终治疗目标,选择更好的植骨材料,往往能够获得更一致的结果。

目前,口内使用的植骨材料可以分为四大类:自体骨、同种异体骨、异种骨和异质骨。双区治疗理念包括植骨材料不仅充填种植体植入后的颊侧跳跃间隙(骨区),也充填软组织的空间(软组织区)。在植骨材料的颗粒大小和类型上,选择正确的植骨材料很关键,因为不合适的植骨材料会成为种植体周围软组织的潜在刺激物。

2011年,Araujo,Linder和Lindhe发表了一篇报道[4],无意中将植骨材料的颗粒封入拔牙窝即刻种植体周围的软组织中,该报道使用异种骨胶原(Bio-oss Collagen, Geistlich),结果发现遗留在软组织内的异种骨颗粒没有出现炎症反应。然而,Stephen J. Chu的发现与上述结果相反,使用这类材料进行双区植骨时,在骨区是可接受的,但在软组织区并不理想。

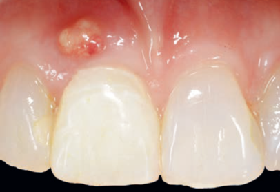
由于这类移植物颗粒不能及时吸收,成为了长期存在的刺激物。图2和3显示了一例薄龈生物型患者在植骨后愈合4.5个月,由于植骨颗粒穿透软组织形成唇侧瘘管。图4显示一例厚龈生物型患者,植骨材料包裹在软组织龈沟内,没有穿透较厚的软组织。


图2 薄龈生物型患者双区植骨选择了异种骨颗粒

图3 术后4.5个月出现唇侧瘘管

图4 厚龈生物型患者双区植骨选择了异种骨颗粒,植骨材料包裹在软组织龈沟内

图5 使用小颗粒矿化的皮质-松质同种异体骨在软组织区充填,皮质骨颗粒吸收缓慢,会成为刺激物

图6 即刻种植时使用小颗粒的同种异体矿化松质骨颗粒进行双区植骨,维持了牙槽嵴的轮廓

图7  双区植骨还增厚了软组织,而植骨材料及时的吸收未导致对局部软组织的刺激,显示牙龈健康

当使用小颗粒矿化的皮质-松质同种异体骨在软组织区充填时也会有此顾虑,因皮质骨颗粒吸收缓慢,会成为刺激物(图5)。大约10%的病例会出现软组织刺激症状。

因此,在双区植骨治疗时,理想的可以同时用于骨区和软组织区的单一植骨材料是小颗粒同种异体矿化松质骨颗粒。这类植骨材料能够作为充填物维持牙槽嵴的体积,还能够增厚软组织,因其能及时吸收,不会导致局部刺激(图6和图7)。


双区植骨的循证临床证据(Level 5,专家意见):

目前关于双区植骨相关的临床研究较少[1, 2, 5-6],尚缺少支持双区植骨优于单纯骨区植骨的高等级循证证据。2022年,Wanis RW等学者[5]通过随机对照临床研究比较了双区植骨与单纯骨区植骨对即刻种植后颊侧软硬组组轮廓的影响,研究选择上颌美学区拟行即刻种植的24颗前牙和前磨牙,随机分为两组:双区植骨组和单纯骨区植骨组。使用猪皮质-松质骨来源的小颗粒骨胶原(Gen-Os)作为即刻种植术中使用的充填材料,两组均联合使用临时修复体封闭牙槽窝,6个月、12个月后随访。研究结果发现双区植骨与单纯骨区植骨均能获得可靠的的软组织美学效果,但组间比较无显著差别,双区植骨组的术后肿胀较单纯植骨组更明显。

注:文中所有图片均来自参考文献[3]。


参考文献

[1] Chu SJ, Salama MA, Salama H, et al. The dual-zone therapeutic concept of managing immediate implant placement and provisional restoration in anterior extraction sockets. Compend Contin Educ Dent. 2012. 33:524–532,534.

[2] Tarnow DP, Chu SJ, Salama MA, et al. Flapless postextraction socket implant placement in the esthetic zone: part 1. The effect of bone grafting and/or provisional restoration on facial-palatal ridge dimensional change-a retrospective cohort study. Int J Periodontics Restorative Dent, 2014,34(3):323-31.

[3] Tarnow DP. Chu SJ. The single-tooth implant: A minimally invasive approach for anterior and posterior extraction sockets[M]. Illinois: Quintessence. 2019

[4] Araújo MG, Linder E, Lindhe J. Bio-Oss Collagen in the buccal gap at immediate implants: A 6-month study in the dog. Clin Oral Implants Res. 2011. 22:1–8.

[5] Wanis RW, Hosny MM, ElNahass H. Clinical evaluation of the buccal aspect around immediate implant using dual zone therapeutic concept versus buccal gap fill to bone level: A randomized controlled clinical trial. Clin Implant Dent Relat Res. 2022 .

[6] Ghabban WA. A Combination of Buccal Plate Preservation and Dual Zone Therapeutic Technique in Immediate Implants: A One-Year Follow-Up. J Oral Implantol. 2016;42(6):484-489

内容转自 九头鸟咵种植

友情链接: