首页/脊柱/椎弓根内侧开窗技术置入C2螺钉/
椎弓根内侧开窗技术置入C2螺钉
2022-10-09 18:41:271329浏览
椎弓根内侧开窗技术置入C2螺钉

当矢状面椎动脉高跨( high-riding vertebral artery,HRVA)和横断面椎弓根狭窄时,C2椎弓根螺钉(C2 pedicle screw,C2 PS)置入较难,甚至难以置入。经椎板螺钉和PARS螺钉是常用替代方式,但仅固定C2后柱,其生物力学强度弱于C2椎弓根螺钉。

本文提出了C2内侧开窗螺钉(C2 medial window screw,C2 MWS)置入技术,提供与C2椎弓根螺钉相当的三柱固定,可安全置钉并避免损害椎动脉。

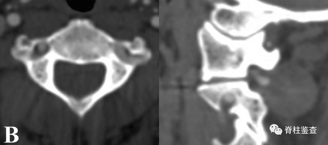
椎弓根狭窄(A)和椎动脉高跨(B)

手术方式

全身麻醉后,使病人处于俯卧位,头部放置于Mayfield头架,并牵引。

暴露C2和其他手术节段,钝性解剖显露关节突关节,并触诊确定关节突关节的内侧缘。

在C2峡部中点和C2椎板上缘处选择进钉点,磨钻开口后,用神经剥离子触诊椎弓根内侧缘,用手钻制作螺钉轨迹并故意穿破内侧皮质,螺钉轨迹比标准技术更偏内,保持螺钉轨迹在椎动脉沟( vertebral artery groove,VAG)和椎动脉(vertebral artery,VA)的内侧。通过直接观察峡部和剥离子的位置来指导螺钉内侧和头侧方向。

由于剥离子位于脊髓和椎弓根内侧之间,螺钉只会导致剥离子和脊髓内移,不会造成脊髓损伤,可安全地置入螺钉。确认螺钉轨迹位于剥离子内侧,椎弓根外侧皮质完好无损后,置入预定长度的螺钉。

在其他位置以标准方式置入螺钉并连接棒。复位后,进行植骨。

术后佩戴颈托3个月。

案例展示

案例一

男性,67岁

A:术前显示寰枢椎不稳定导致脊髓受压

B:椎弓根狭窄,椎动脉高跨右侧椎弓根螺钉置入风险高

C:使用C2内侧开窗技术置入螺钉

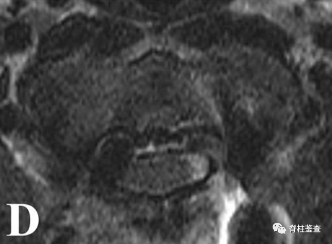
D:尽管螺钉进入椎管,但未导致神经功能损伤案例二女性,29岁

A:术前显示寰枢椎不稳,需要行C1-C2融合

B:椎弓根狭窄,右侧椎动脉高跨

C:通过C2内侧开窗技术技术进行C1-C2融合;术后神经功能完好,JOA评分17分

结论

椎弓根狭窄和椎动脉高跨的情况下,C2内侧开窗技术可实现安全的C2椎弓根螺钉置入,通过破坏椎管内壁并占用部分椎管空间以避开椎动脉,并不会损伤脊髓;同时,可以提供三柱固定。因此,当椎弓根狭窄或椎动脉高跨时,C2内侧开窗技术可作为一种代替方法。

友情链接: