首页/口腔修复/微创修复:掌握备牙技巧,保留更多天然牙!/
微创修复:掌握备牙技巧,保留更多天然牙!
2022-10-11 10:31:293169浏览
在临床实践中,微创牙体预备耗时较长,医生应视患者口内条件,美学要求,操作器械环境等多方面因素综合决定是否采取微创牙体预备的各方法。

01生理学、人体工程学及视学基础

牙体组织是人体中最坚硬的组织,口腔修复治疗时需要磨除牙体硬组织获得目标修复体空间(TRS)。当剩余牙体的厚度小于0.5mm,即当牙体预备至距离牙髓腔0.5mm以内时,即使未造成牙髓暴露,年轻恒牙的牙髓也将可能产生不可逆性反应。建议与髓腔保持0.5~1.0mm的安全距离范围,是微创牙体预备的基本观念和底线之一。

有学者提出从牙体表面均匀磨除0.5mm的硬组织为修复体提供理想的空间,而各牙位颈三分之一釉质的厚度,多数仅为0.3~0.4mm(图1)。因此预备贴面时若在牙颈部区预备大于0.5mm的切割面,不利于贴面的粘接。所以需0.1~0.2mm量级的微量牙体预备,才能让切割面在颈部牙釉质界面内,而常常在边缘区出现的过度制备导致的无釉质粘接也是边缘微渗漏、变色等并发症产生的主要原因。

图1 美学区各牙位唇侧牙釉质厚度

随着瓷材料的不断迭代更新,修复体所需的最小厚度已经可薄到0.1~0.3 mm,这些预备量差值和更小的数值要求已超过了人眼的极限0.2 mm。因此,用显微镜将牙体预备及修复量级最小控制在0.1 mm量级,是实现微创牙体预备的重要视学基础。显微镜下备牙不仅为口腔临床医生提供了超越肉眼极限分辨率的视觉优势,同时也更符合人体工程学基础。另一种放大设备头戴式放大镜价格较低,也可以为操作者提供中等的放大倍率。

图2 头戴式放大镜与显微镜的特点比较

02术前设计

在前牙美学修复治疗中,牙体预备的目的是为获得未来的TRS,而该TRS往往与患者现有牙体空间存在一定的关系。

如果TRS全部在拟预备牙内切割牙体获得就叫体内TRS(ITRS)

如果TRS全部在拟预备牙外面不需备牙就叫体外TRS(ETRS)

更多的病例是部分TRS空间需要切磨牙体获得,而其余所需空间早就存在不需备牙获得,这种情况就是混合TRS(MTRS)

图3 TRS的分类

03微创牙体预备方法

牙体预备引导技术可分为两大类:

一、参考原有牙体表面的牙体预备技术,从原有牙体表面均匀地磨除一定厚度的牙体组织。

预备方法包括:自由手法(free hand)、定深沟法(groove reference)、球钻法(dimple)、定深车针法(depth cutter)、定深孔法(hole reference),这些方法的预备精度依次增高;

(一)自由手法

1、高嵌体:如牙合面与对颌牙有接触关系,沿牙合面外形均匀降低牙合面,预备出至少1.5-2mm的间隙。瓷层高度不小于1.5mm 牙合面修复体宽度不小于1.5mm。

2、瓷贴面:尽量保守,确保达到约0.5mm的瓷层厚度,磨除龈1/3邻唇线角,有助于就位道的形成。

3、全瓷冠:切缘(牙合面)1.5-2mm 唇面1.2-1.5mm 邻面1.5-2.2mm 舌面1.2-1.5mm 颈部肩台0.8-1mm。

图4 手机握持方式

图5 深度引导预备车针及引导沟

图6 窝沟定深及尖嵴定深

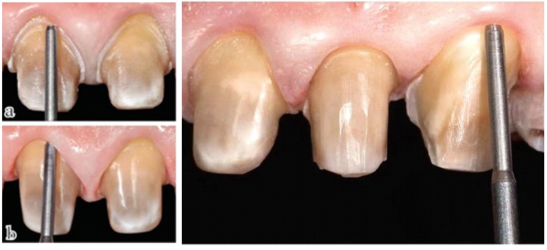
(二)定深孔法

1、打开邻面,在远中近中先后磨除1 mm(图7A、B)。

2、将定深车针平行于牙长轴平放在靠近切端的唇面,切端垂直于车针且对准1.7 mm刻度处,从唇面拉通到舌面(图7C),如此三条切端定深沟。磨除沟底以上牙体组织(图7D)。

3、用蓝色油笔在11牙的唇面绘出竖直方向上的中线,标注出中线的三等分点,以此绘出垂直于中线的三等分线。红色油笔标出中线三等分线相交而得的线段的中点,共7个点(图7E)。

4、舌面的标记方法同唇面,得到各中点(7个点)。按照标注的14个点,在显微镜下用深度钻针垂直于唇面、舌面打出深度为1 mm的14个孔(图7F),并使用蓝色油笔将洞底着色(图7G)。

5、在唇面均匀磨除牙体,直至定深孔底部(图7H),肩台平龈。

6、在舌面均匀磨除牙体,直至定深孔底部。精修各面,精修肩台,再用釉质凿平整肩台,备牙完成(图7I),双线排龈后取模。

图7 定深孔引导下的牙体预备

二、参考TRS的牙体预备技术,在预备前针对患者的个性化情况设计并制作诊断蜡型,牙体预备参考蜡型的空间进行预备。

预备方法包括:硅橡胶指示导板法(silicone index)、TRS导板法(TRS guide)、数字化TRS导板是目前精度最高的牙体制备技术。

(一)TRS导板

三向分层转移导板(three dimension and stratified transfer guide)

三向分层转移导板的制作步骤简述如下:

1、唇腭向指示导板的制作

充分混合硅橡胶后,将其覆盖于美观蜡型上。

除了需要预备的牙位以外,硅橡胶应向两侧各延伸数个牙位,以便戴入口内时起到支撑稳定的作用;

在需要预备的牙位,从牙冠中1/3的位置切除切方硅橡胶(图8A)。

2、 切方指示导板的制作

充分混合硅橡胶,覆盖于美观诊断蜡型上,在需要预备的牙位,只覆盖舌侧和切端,相邻的两个牙位则覆盖整个牙冠以提供支撑和固位(图8B)。

3、分层导板的制作

前期制作方式与唇腭向指示导板相似,不同的是,需要切除预备牙位的一侧远中的硅橡胶,另外,从冠切方1/3切除切方的硅橡胶,接下来沿水平方向从游离端水平切割硅橡胶,形成分层结构(图8C)。

图8 三向分层转移导板

图9 戴入唇腭侧指示导板并进行牙体预备

图10 戴入切端指示导板并进行牙体预备

图11 戴入舌侧指示导板并进行牙体预备

(二)数字化TRS导板(digital TRS template)

硅橡胶导板引导下的牙体预备,硅橡胶具有一定弹性,其引导精准性欠佳,且无法在牙体预备时进行全程引导。随着科技的进步,数字化TRS导板的使用逐渐成为一种趋势。

制作数字化TRS导板时,在分析和设计阶段,通常先行虚拟修复设计,再进一步制作完成实体或虚拟的诊断蜡型,并由此翻制获得实体或虚拟的数字化 TRS 导板。

临床上修复医师使数字化 TRS 导板就位于目标牙(或计算机模型)上,在TRS导板上开孔或开槽后即可测量导板外表面与预备完成牙面的距离,减去导板厚度即可得到已有空间深度。

通过锥形束 CT 等资料参考值或测量数据,获得或估算目标牙体表面至髓腔的深度,结合遮色、咬合等特殊设计,术前选择适合的修复体材料,确定 TRS 深度,再减去前面获得的已有空间深度,即可获得保证牙髓安全情况下的目标牙最大牙体预备量以及保证修复体强度、美观和正常功能条件下的最小牙体预备量,最后依据数字化TRS导板进行精准的牙体预备。

(三)数字化导板

可分为牙科透明膜片TRS导板和三维打印TRS导板。

1、牙科透明膜片TRS导板:既可在实体诊断蜡型基础上翻模压制,也可在数字化设计及制作的模型上压制。

优点:制作简单,使用方便,透明且可视性好;

缺点:边缘区的准确度不高,仅可制作均一厚度的导板。

图 13 体外目标修复体空间类型分析图及含有定深孔的牙科透明膜片 目标修复体空间导板

2、树脂或金属三维打印TRS导板

患者初诊时修复医师可直接通过口内扫描或牙颌模型扫描仪扫描牙颌模型,得到患者数字化牙颌模型,在数字化模型上进行美学设计,制作数字化诊断蜡型。

将数字化诊断蜡型与原始模型拟合后,利用软件进行TRS空间分析。依据最终修复设计,回切后设计TRS 导板,最后导出设计数据,即可三维打印制作TRS导板。

优点:

  • 减少模型制取和美学诊断蜡型手工制作等步骤,并有效减少翻制模型及手工制作蜡型造成的传递误差,提高诊疗效率和患者舒适度。
  • 导板内孔道不长,预备单一孔的时间较短,定深孔直径与定深刻度车针直径间有25 μm的间隙,高速涡轮喷溅水可进入缝隙,可有效保护牙髓组织。

根据三维打印TRS导板厚度是否均匀,可将数字化导板分为等厚导板和不等厚导板,其中不等厚导板可使得各预备区域定深刻度车针进入导板的深度一致,进而简化定深预备过程,使定深过程更程序化和简单化,配合使用带止动环结构的定深刻度车针,可保证车针进入TRS导板的深度一致。图14 等厚目标修复体空间导板实体及不等厚目标修复体空间导板虚拟设计模型

图 15 使用不等厚目标修复体空间(TRS)导板进行牙体预备

美学诊断蜡型(esthetic diagnosis wax up)

简称美学蜡型,是按照患者主诉、美学分析及治疗目标在数字化或石膏模型制作的表现预期治疗效果的蜡型。它是美学分析设计出的修复体轮廓的三维输出结果。

美学诊断蜡型的作用包括:

1、预告美学修复的修复体轮廓形态效果;

2、翻制美学诊断树脂面罩和暂冠,转移美学设计;

3、制作备牙导板,指导牙体预备;

4、指导牙龈、牙槽骨的外科成形。

图16 美学诊断蜡型

边缘设计

边缘设计关乎牙周健康。美学区边缘形态主要为浅凹型、羽状型、无预备型(图17)。

目前0.3 mm宽的浅凹型边缘应用较多。羽状型肩台相较浅凹型边缘牙体磨除量更少,但羽状边缘无水平止点,修复体边缘非常薄,对修复材料、工艺及医生技师的操作技术要求极高。无预备边缘只适用于体外TRS修复体。

车针尖端的形态决定了肩台及完成线的形态,强烈建议选择对应尖端形态和尺寸的钨钢车针来完善边缘质量。

图17 微创牙体预备边缘设计

图18 带斜面的牙龈保护车针

抛光

过于粗糙的预备体表面不利于终印模的制取,与修复体组织面易形成不规则突起和高点,影响修复体的密合度。

预备体抛光遵循由粗至细的原则,去除牙面不规则突起高点以及牙面的污染层。推荐用釉质凿刮治肩台、对接面等边界区。

内容来源:珞珈晨修!

友情链接: