首页/脊柱/高清:脊柱解剖图谱,临床必备!/
高清:脊柱解剖图谱,临床必备!
2022-10-12 10:39:419972浏览
脊柱的损伤及病变在骨科中属于很常见的问题,熟悉脊柱的解剖是每个骨科医生必须掌握的基本知识。在了解解剖的基础上,才能在临床工作中更好的服务于患者。

脊柱的发育是由中胚层的生骨节细胞围绕脊髓和脊索形成的。人类幼年时椎骨共有33块(颈椎7块,胸椎12块,腰椎5块,骶椎5块,尾椎4块)。随年龄增长5块骶椎合成一块骶骨, 4块尾椎合成一块尾骨。


借韧带、关节及椎间盘连接而成。脊柱上端承托颅骨,下联髋骨,中附肋骨,并作为胸廓、腹腔和盆腔的后壁。脊柱具有支持躯干、保护内脏、保护脊髓和进行运动的功能。脊柱内部自上而下形成一条纵行的脊管,内有脊髓。


前面观:椎体自上而下渐加宽,第2骶椎最宽

侧面观:可见颈、胸、腰、骶四个生理性弯曲,颈和腰曲凸向前,胸和骶曲凸向后。

后面观:颈椎棘突短而分叉,近水平位。胸椎棘突细长,斜后下方。腰椎棘突呈板状水平向后。

椎骨一般形态

椎骨的构造


颈椎

根据解剖形态的差异,颈椎被分为上颈椎 (C1~2) 下颈椎 (C3~7)


寰椎呈环状,无椎体,第2-6颈椎的棘突较短,末端分叉,第7颈椎棘突长,末端不分叉



寰枢关节

在寰枕连接部,大部分运动功能为前屈—后伸和侧屈

在寰枢关节,近50%的头部旋转运动发生于此


3-7颈椎椎体上面外侧缘的椎体钩与相邻椎体形成钩椎关节,增加颈椎稳定性,防止上一颈椎及椎间盘移位。


胸椎


肋椎连接


腰椎


骶尾椎



韧带

  • 在相邻椎骨的椎弓之间的叫椎弓间韧带,由弹性结缔组织构成,呈黄色,故又称黄韧带。
  • 在各棘突之间、各横突之间,分别生有棘间韧带和横突间韧带。
  • 在椎骨前面的是前纵韧带,上连枕骨大孔前缘,下达骶骨(S1或2)前面,紧贴椎体和椎间盘前面,厚实而坚韧。椎体后面的后纵韧带长度与前纵韧带相当,与椎体相贴部分比较狭细。
  • 在棘突尖上还有一条上下连续的棘上韧带,在胸、腰、骶部紧贴棘突末端,至颈部则呈板片状,为项韧带。





椎管及内容物

椎管

由椎骨的椎孔、骶骨的骶管和椎骨之间的骨连接共同构成的骨纤维管,上接枕骨大孔与颅腔相通,下达骶管裂孔而终。其内容有脊髓、脊髓被膜、脊神经根、血管及少量结缔组织等。

椎管壁的构成 

前壁:椎体、椎间盘、后纵韧带

侧壁:椎弓根、椎间孔

后壁:椎板、黄韧带 



椎管形态   在横断面上椎管各段的形状及大小存在差异 

颈段  呈三角形

胸段  呈圆形,以第4~6胸椎处最为狭窄。

腰段  形态不一

第1、2腰椎处  多呈圆形或卵圆形

第3、4腰椎处  多呈三角形

第5腰椎处     多呈三叶形


椎管可分为中央椎管和侧椎管两部分,中央椎管主要是硬脊膜囊占据的部位,侧椎管为神经根的通道。


脊髓

位于硬脊膜囊内,为前后稍扁的圆柱形,其各段大小和外形不同 




脊髓节段与椎骨对应关系

上段颈髓(C1~4)与同序数椎骨同高

下段颈髓(C5~8)和上段胸髓(T1~4)较同序数椎骨高一个椎体

中段胸髓(T5~8)较同序数椎骨高2个椎体

下段胸髓(T9~12)较同序数椎骨高3个椎体

腰髓(L1~5)平对第10、11胸椎

骶、尾髓(S1~5、Co)平对第12胸椎和第1腰椎。


脊髓被膜及被膜间隙 

脊髓被膜(外→内):硬脊膜、蛛网膜和软脊膜

被膜间隙(外→内):硬膜外隙、硬膜下隙、蛛网膜下隙

脊柱静脉

椎静脉系的静脉结构特征是壁薄、无瓣、吻合很多。

1.椎外静脉丛:椎外前静脉丛和椎外后静脉丛

2.椎内静脉丛:椎内前静脉丛和椎内后静脉丛 

3.椎间静脉 

4. 椎体静脉 

5.脊髓静脉


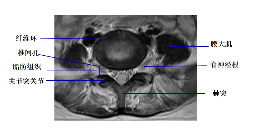
椎间盘

椎间盘:由髓核、纤维环和软骨板三部分构成,其中髓核为中央部分,纤维环为周围部分,包绕髓核,软骨板为上、下部分,直接与椎体骨组织相连

脊柱的长度,3/4是由椎体构成,1/4由椎间盘构成。

寰椎与枢椎之间,骶椎尾椎之间不存在椎间盘,所以全身的椎间盘只有23个。它们均位于两个椎体之间。胸椎间盘最薄,腰部的椎间盘最厚,约为9毫米。



关节突关节

(1)颈段关节突关节面近似水平位。

(2)胸段关节突关节面近似冠状位。

(3)腰段关节突关节面近似失状位。



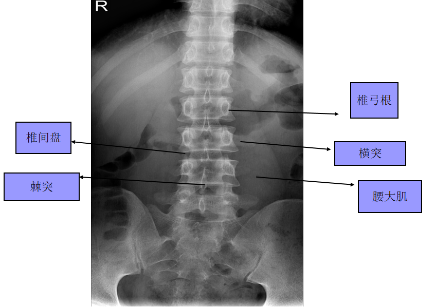
脊柱影像解剖

狗嘴:近侧横突

狗耳:上关节突

狗眼:近侧椎弓

狗颈:远侧椎弓

狗尾:远侧横突

狗前足:近侧下关节突

狗后足:远侧下关节突

经椎弓根的横断层面 

断面经过的部位:椎弓根

主要特征:椎管为完整性骨环,由椎体、椎弓根和椎弓板构成


断面经过的部位:椎弓根下方的椎体

主要特征:椎管为不完整的骨性环,其断开处为椎间孔上部。

经过不同部位的椎间孔上部的结构不同,颈段主要为椎间静脉,胸、腰段主要为脊神经根。

断面经过的部位:椎间盘主要特征:椎管呈不完整的骨性环,其断开处为椎间孔下部,不同部位椎间孔下部经过的结构不同,颈段主要为脊神经根,胸腰段主要为椎间静脉。

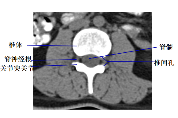
椎管及内容物 

  • 硬膜外脂肪   低密度影
  • 硬脊膜囊    呈圆形或椭圆形软组织密度影。CT平扫不能区别硬脊膜囊、脑脊液和脊髓。
  • 椎内静脉丛   位于硬膜外间隙内,在CT平扫上不能单独显示,增强扫描呈点状高密度影。

脊髓:位于椎管中心呈中等信号影脑脊液

  • T1WI上呈低信号;
  • T2WI上呈高信号影。

脊神经根:中等信号条状或圆点状影。硬膜外脂肪组织

  • T1WI上呈连续条状或带状高信号;
  • T2WI上呈中高信号。

椎内静脉丛:呈网状略低信号影。

椎间孔

位于椎管前外侧,其内的脊神经根呈软组织密度,周围有低密度的脂肪组织环绕 

充填椎间孔的脂肪组织呈高信号;行走于其中的脊神经根呈圆形、长圆形低或等信号影 

呈软组织密度影,CT值为70±5HU,不能区分髓核和纤维环

  • 髓核 T2WI上呈较高信号
  • 纤维环  T1WI和T2WI上均显示为低信号 
  • sharpey纤维  T1WI和T2WI上均显示为低信号 
  • 透明软骨板  T1WI和T2WI上均显示为低信号 

脊椎韧带

  • 前、后纵韧带均较薄,CT上不能单独显示。
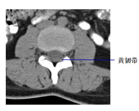
  • 黄韧带较厚(正常时≤3 mm),位于椎板和关节突的内侧面,密度高于硬脊膜囊和硬膜外脂肪,显示较清晰
  • 棘上韧带和棘间韧带也呈细条状软组织密度影。

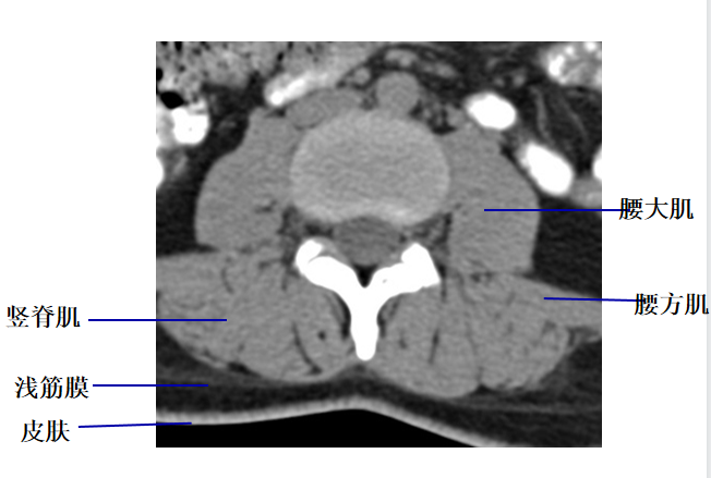
椎旁软组织

CT上均表现为软组织密度结构,CT值约40HU~50HU 

友情链接: