首页/骨科小技巧/尺骨鹰嘴骨折固定!/
尺骨鹰嘴骨折固定!
2022-10-17 10:57:14807浏览
尺骨鹰嘴骨折固定!

手术适应症:  伸肘装置遭到破坏的骨折(有移位的骨折)关节面受损手术类型:髓内固定、张力带技术、钉板系统、尺骨鹰嘴切除术等。

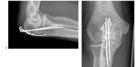
张力带技术

克服骨折处的张应力并转换为压应力,可适用于撕脱性骨折。

1、钢丝应必须能承受牵张力;

2、骨质必须能承受压缩力。

单纯钢丝捆扎术

张力带技术

友情链接: