首页/牙周病学/早发现早取出!GBR术后屏障膜暴露临床对策!/
早发现早取出!GBR术后屏障膜暴露临床对策!
2022-10-17 10:58:182736浏览
临床医生需要知道,任何屏障膜暴露都会导致骨移植颗粒丢失,原因在于移植骨接触了口腔环境。膜的暴露可以发生在愈合早期或者晚期。

一、愈合早期屏障膜暴露

愈合早期屏障膜暴露发生在初始愈合阶段,通常因为没有感染而较为简单,但是暴露可能导致后续的感染。这种情况通常是由于手术中的操作失误造成的。屏障膜必须提前取出,并且临床医生需要在术区骨移植成熟后到细菌感染之前,选择正确的时间点进行取出。屏障膜至少需要维持6周,因为此时移植材料基本成形。

钛增强(TR)屏障膜即使在6周后就被取出,也很有可能保持住垂直向高度。临床上需要嘱咐患者使用棉签浸润0.12%的氯己定溶液擦拭屏障膜以保持清洁,并且每周复诊检查术区。不可吸收的e-PTFE膜应在6周后取出,并更换为可吸收的胶原膜。

d-PTFE膜可以在6周后进行取出,大多数情况下这种膜可以维持的时间稍长一些。其应该在10周左右取出,因为随着时间的推移,膜暴露的范围随之扩大,将会导致软组织的大面积缺损。如果术区屏障膜暴露后因为感染而变得复杂,则必须立刻按照感染来处理。

牙合面观,暴露的e-PTFE膜,临床检查未见感染

牙合面观,维持6周后的屏障膜,术区未见感染

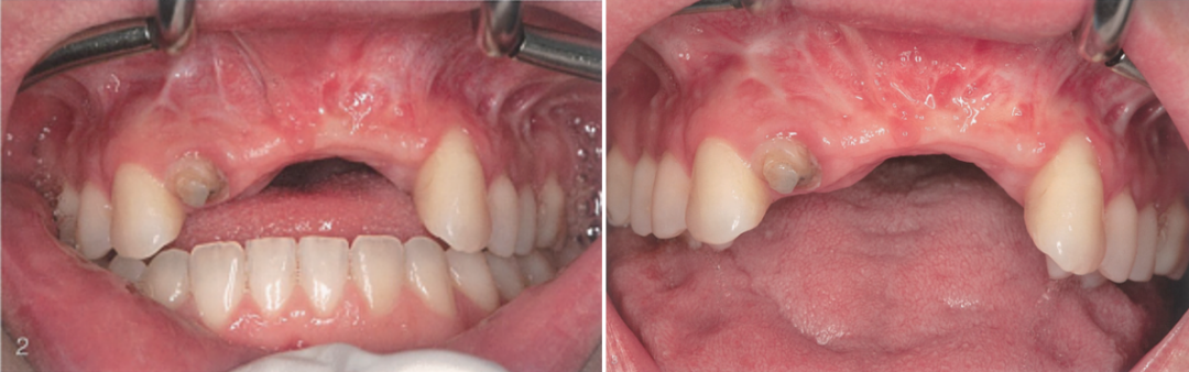
唇侧观和牙合面观,术区取出屏障膜后,观察发现术区骨移植未成熟但外形完整。由于初始骨量不足导致移植骨的空间大小不足。

唇侧观,去除膜,软组织完全愈合

本病例的启示

1.手术操作错误是前期屏障膜暴露的原因。

2.采用了本节所阐述的屏障膜暴露治疗方案。

3.虽然e-PTFE膜易受感染,但本病例中移植骨未受感染。

4.从该病例中吸取的主要教训是∶翻瓣需要提前设计,同时应塑造丰满的骨移植形态。

二、愈合晚期屏障膜暴露

愈合晚期屏障膜暴露常发生在愈后2个月左右,经常因不合适的临时修复体造成术区创伤而导致。这种情况下,不可吸收的e-PTFE膜也需要被取出并更换为可吸收的胶原膜。所使用的屏障膜类型对膜暴露后预期的骨增量也有很大的影响。

以下将对膨体聚四氟乙烯膜(e-PTFE膜)、密型聚四氟乙烯膜(d-PTFE 膜)、交联胶原膜和天然胶原膜分别进行讨论:

(一)膨体聚四氟乙烯膜 (e-PTFE膜) 

尽管e-PTFE膜生物相容性良好,一旦暴露在口腔内,细菌会堆积在其表面。由于该膜具有渗透性,因此细菌可以通过微孔渗入,最后感染下方的移植骨。事实上,大多数e-PTFE膜暴露都出现了感染和移植骨丧失。研究发现不恰当的翻瓣方式会导致屏障膜暴露和继发感染,这也是骨再生失败的主要原因。由于使用e-PTFE膜效果难以令人满意,使用更方便的可吸收发展起来。

(二)密型聚四氟乙烯膜(d-PTFE膜)

这类屏障膜在暴露后表现得相对良好,因为细菌无法穿透该膜。因此,使用d-PTFE膜所发生的屏障膜暴露通常情况较为单纯也不会继发感染。但是,目前并没有研究或文献报道对这种膜应用时的骨丧失量进行测量。笔者根据对自身接诊的病例评估,认为该膜在暴露过程中大约有30%的移植材料流失。但考虑到这类膜通常应用于重度骨缺损,这一结果可以算是非常不错了.露和继发感染。一项随机临床试验表明,覆盖e-PTFE膜与胶原膜加钛金属网相比,两者在并发症发生率上并无统计学差异。

(三)交联胶原膜

交联胶原膜的制备是利用化学技术改变了天然胶原膜的结构,从而延长屏障膜降解的时间。然而,成纤维细胞对这类膜的依附性很差,交联胶原膜已被证明组织整合、血管化和生物相容性较差,这种差异性取决于交联的程度和使用的技术。并且其暴露在口腔环境中时更加难以被胶原酶降解。这些因素导致这类膜一旦出现暴露,软组织的愈合时间会远超过天然胶原膜。一项有大量数据证明的随机对照试验研究表明,交联胶原膜的暴露会带来48.5%的移植骨丧失,这源于在延长的愈合过程中移植材料颗粒会从术区片状剥落。

(四)天然胶原膜

已经证实,暴露的天然膜在1周的愈合后没有残留。这类屏障膜对成纤维细胞有趋化性,且降解速度很快。因此在膜暴露的情况下术区伤口愈合得也很快。尽管没有试验研究其可能造成的骨丧失量有多少,但通常认为量非常少。笔者认为,天然胶原膜暴露后会流失约达20%的移植材料颗粒。

三、骨丧失与骨缺损

由于暴露后需要提前取出屏障膜,因此垂直向骨缺损的移植骨最容易丢失,原因在于新生骨形成过程中需要增强型屏障膜的支撑来完成。水平向骨缺损受微动影响少,因此在愈合受损的情况下也能有较多新生骨形成。上颌窦骨移植是临床应用中预后最好的,因为移植材料在窦腔内处于完全稳固的状态。

内容来源:珞珈晨修!

友情链接: