
PVP/PKP
经皮椎弓根穿刺的技术要点

不同于常规开放置钉,经皮椎弓根穿刺属于“盲打”,全程依靠手感、透视判断。
进针点确认(A&B)
因为椎弓根穿刺路径倾斜,所以椎弓根投影到皮肤上的进针点是椎体正位透视下的横突尖部。肥胖者和正常人距离略有些不同。

经椎弓根的标准穿刺通道有三个重要的透视定位点:上关节突外下缘①,椎弓根中点②,椎体后缘与椎弓根内侧缘交点附近③。
穿刺路径确认(C&D)


穿刺过程中,每一次深入,均需正、侧位透视,每个定位点都一一对应。
1.正位片上确认横突尖部在体表的投影,从此处进针,斜向椎弓根眼的3、9点位进入。
2.刚进入时,针尖正位在①椎弓根外缘,侧位在①椎弓根后缘。
3.再进20-25mm,针尖正位显示进入到③椎弓根内缘,侧位应到③椎体后缘。
4.上述正侧位透视若不一致,意味着穿刺角度不对,需及时调整,以防进入椎管。
误穿出损伤血管

对于穿刺时误穿出椎体前缘造成血管损伤的处理:
克氏针向前穿出小于 5mm 为轻度,穿出 5-25mm 为中度,穿出大于 25mm 为严重。
轻度——仅需要观察。
中度/严重——严密监护,行动脉血气分析检测,并监测血红蛋白情况。
术后检测肢端血压,q1h观察4h,q2h观察4h,q4h观察48h。
术后第1天,腹部CT扫描+腹部CT血管造影。
静脉抗生素预防感染。
如检查结果阳性,或血流动力学不稳定、有临床症状,请血管外科/普外科介入。
经皮椎弓根外入路穿刺的安全范围

常规PKP/PVP都走椎弓根入路。而椎弓根外侧入路不但可以获得更大的穿刺角度,还减少了误入椎管、损伤神经根的风险。
椎弓根外侧入路绝对安全吗?

椎弓根外侧入路不走椎弓根,走椎旁。不伤神经,却有可能伤及椎旁节段血管。

该患者做完PVP术后失血性休克症状。复查CT发现巨大的腹膜后血肿。血管造影发现L2左侧节段动脉远端破裂,行栓塞修复。

三维CT显示椎旁节段动脉就在椎体旁正中走行,所以椎弓根外侧穿刺安全边界在椎弓根中线以上。
椎体成形的骨水泥渗漏模式

PKP/PVP会发生骨水泥渗漏,漏在椎体外围或者椎间盘也许没什么事。如果漏入椎管或者椎间孔区域,可能造成神经症状。漏入静脉,可能肺栓塞。

根据渗漏的途径及CT表现,将骨水泥渗漏分为三种类型:B经椎旁静脉渗漏;S经节段血管渗漏;C经皮质缺损渗漏。

B经椎旁静脉渗漏:在椎体后缘相对对称分布。一般不超过椎管横径的1/3。矢状位CT显示会向头尾侧弥散。

S经节段血管渗漏:沿节段静脉走行弥散。轴位CT呈水平走行。有时会顺着血管上下弥散,矢状面呈垂直或斜行。

C经皮质缺损渗漏:顺着缺损区到处跑,椎体周围、椎管内、椎间盘,哪里有路往哪走。
术中用C臂判断渗漏的准确率低的可怜。
只照侧位,大约30%的准确率。
正侧位都看,准确率也不过50%左右。
对于部分特殊部位渗漏,准确率更只有7%。

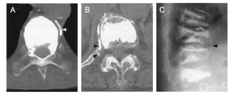
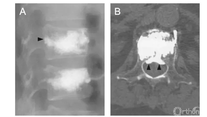
比如这例,侧位X片看骨水泥在椎弓根里,可CT一扫发现已经渗漏进入椎管。

侧位X片看骨水泥在椎体里,CT显示渗漏进入椎管。

侧位X片看骨水泥在椎间孔周缘,CT显示渗漏进入椎管,累及椎间孔。
术中打骨水泥时多问问患者,如果出现不适,哪怕C臂看着没问题,也赶紧停下来,安全第一。说不定已经漏到神经周围了只是C臂没看出来。术后及时复查三维CT。
PVP秒变PKP,好,省

胸腰段椎体骨质疏松性压缩性骨折用PVP/PKP治疗的效果确切。但有时撑开恢复椎体高度还是不太理想,而且邻椎骨折的风险也需要注意。

现在伤椎和上下邻椎均做骨水泥通道,邻椎注入骨水泥。并插入内芯超出套杆尖端5mm,使骨水泥充分挤出(原文用骨穿刺活检通道套杆,和椎体成形通道应该差不多粗细)。
上下邻椎套杆相交加压,撬拨复位伤椎高度及前凸序列,伤椎注入骨水泥。

该技术可以恢复大约15°的椎体后凸和10°的整体节段后凸。邻椎骨水泥注入还预防邻椎骨折。
此法既节省了球囊费用,又通过撬拨复位技术达到PKP效果。
有一个疑问:用套杆做悬臂复位,不怕折断吗?也许国外的材料强度足够?
椎体成形骨水泥打多少合适?

PKP/PVP骨水泥打少了,填充不足症状不缓解,还会再塌陷。打多了,容易渗漏发生各种意外。
PVP/PKP一次最多打几个节段?
椎体成形术治疗椎体骨质疏松性压缩性骨折疗效确切。
骨水泥注入椎体内会将椎体松质骨内脂肪挤入血管,诱发肺栓塞。因此,每次椎体成形的骨水泥总量应控制在30ml以内。且最多不要超过6个椎体,否则脂肪栓塞风险大增。另外骨水泥量大,还会诱发邻椎骨折。
而且每个椎体压缩程度、体积大小都不一样。到底打多少量才即能解决问题,又把风险控制到最低?需要找一个平衡点。

对196例患者进行ROC曲线分析(Receiver Operating Characteristic curve,受试者工作特征曲线,又称敏感性曲线。对同一干预在两种不同的判定标准下所得的反应结果。以错误概率为横轴,正确概率为纵轴组成坐标图。坐标越靠近左上角越好。)

平均每个椎体打4ml骨水泥,发现CVBF=0.24(骨水泥/椎体体积比:影像学上骨水泥体积/椎体体积)时,疼痛缓解、骨水泥渗漏、椎体新发骨折等情况达到最佳平衡点。
建议PKP/PVP骨水泥注入量达到椎体体积的24%时为最佳。
但不是说骨水泥注入不足或超过24%就会出现这样那样的问题,只是个参考平衡点。不能作为一个预测并发症的指标。

如果还觉得不够,从T5到L5,每个椎体骨折的不同压缩程度的平均最佳骨水泥注入量都计算出来了。
女性严重的T5骨折,骨水泥量打入量可能比刷一次牙挤的牙膏还少。而男性的轻度L5骨折,居然能打进去9ml。(老外的数据,国人参考一下)
椎体成形啥时候做?

椎体骨折需要做PVP/PKP的时候,什么时机最佳?
刚骨折完的头2周?2周后?2个月?1年之内?
刚骨折完1-2周内手术肯定最好。患者得到及时救治,症状迅速缓解。因为是新鲜骨折,椎体高度恢复也比较满意。
但对于爆裂骨折,早期手术很可能造成骨水泥沿着破碎皮质渗漏。椎体成形的骨水泥渗漏模式

如果等2周再做,待骨折进入血肿机化期,那么骨水泥的渗漏率会大大降低。

对于继发椎体塌陷导致的严重疼痛呢?有些患者可能在骨折几个月后症状加重。这时候再做椎体成形,是不是时间拖太久效果就不好了?

研究发现,即使是骨折2个月-1年后出现疼痛的患者,无论是否kummell病,给予椎体成形,术后的疗效也都非常满意。通常会在术后3个月内有显著改善。
无论1天还是1年;对于具备适应症的患者,都是椎体成形治疗的开始。
