首页/口腔小技巧/如何选择合适的托槽!/
如何选择合适的托槽!
2022-12-21 10:21:293635浏览
如何选择合适的托槽!

一、槽沟尺寸选择

托槽槽沟尺寸有两种2228(0.022″×0.028″,简称2228)系统和1825(0.018″×0.025″,简称1825)系统。

1、2228系统的槽沟

可以容纳粗一些的丝,比如,0.019″×0.025″不锈钢丝,可以允许牙齿在弓丝上滑动,不容易变形。因此适合用滑动法关闭拔牙间隙。

2、1825系统的槽沟

其工作弓丝可以换到0.017″×0.025″,比较适合用关闭曲关闭间隙。因此,我们可以根据关闭拔牙间隙的方法来选择槽沟尺寸。简言之:2228系统槽沟适合滑动关闭间隙,1825系统适合关闭曲关闭间隙。

二、托槽选择

1、自锁托槽

被动自锁托槽,被动锁扣的设计在矫治期间比较坚固耐用,不容易变形。而且被动自锁的摩擦力更低。

图1 自锁托槽

轻度拥挤的不拔牙病例,我们将MBT数据的被动自锁托槽倒置粘结(仅限于上颌),如此形成的上前牙负转矩在后期方丝阶段可以保持上前牙直立,后牙段的正转矩有利于后牙扩弓。

图2 前牙负转矩

图3 后牙正转矩

对于带有骨性上颌前突的病例,我们使用高转矩的被动自锁托槽,用于弥补被动自锁带来的转矩丢失。上前牙的转矩分别为22°和14°。拔牙病例中,滑动关闭间隙的应力集中区在尖牙段,尖牙的转矩通常不够。因此我们重新设计了上尖牙转矩,正11°。Ⅱ类病例控制下前牙直立于基骨是矫治成功的关键。MBT把下前牙设计为−6°转矩。Ⅱ类病例的下前牙负转矩需要增加,而且下尖牙很容易舌倾斜,使得下尖牙间宽度减小,不利于下前牙后期的稳定保持。因此下前牙123的转矩分别设计为−10°、−10°和+6°。

我们把这类重新设计的托槽定义为高转矩数据:

上中切牙:+22°

上侧切牙:+14°

上尖牙:+11°

下中切牙:−10°

下侧切牙:−10°

下尖牙:+6°

其余角度等同于MBT数据。

2、单晶托槽

成年人在矫治的同时还需兼顾美观:临床上更多使用的是单晶托槽。同样的,单晶托槽也有MBT数据和高转矩之分。具体选择方法参照自锁托槽的选择原则。目前市面上的单晶托槽都存在一个缺点:不能承受过大的弓丝转矩,托槽体容易碎裂。因此对于那些需要控根的病例,建议使用高转矩托槽。

图4 单晶高转矩托槽

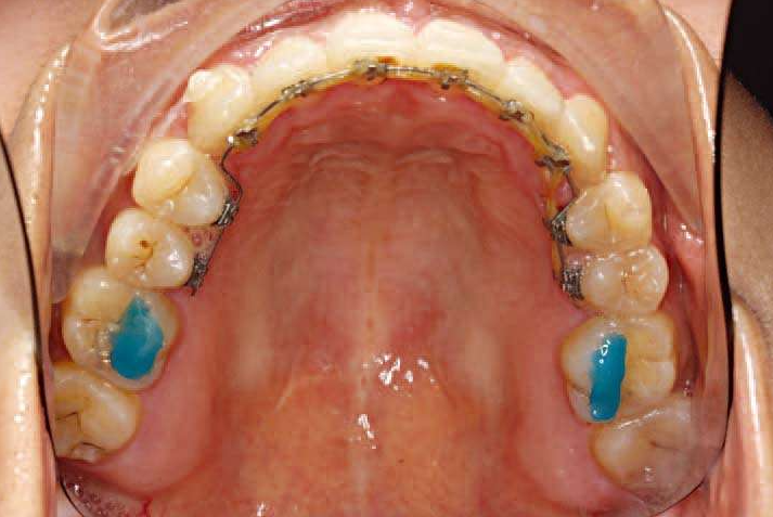
3、舌侧矫治

对于有美观要求高的患者,我们采用舌侧矫治技术。但是有些病例不适合舌侧:①牙周病;②过小牙齿;③骨性问题严重。对于不拔牙的病例,建议使用舌侧2D矫治技术。

图5 舌侧2D(上颌)

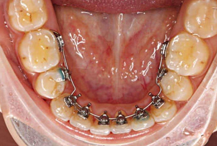
图6 舌侧2D(下颌)拔牙病例我们建议使用垂直槽沟带状弓,能够有效地控制前牙转矩。

图7 垂直槽沟托槽(上颌)

图8 垂直槽沟托槽(下颌)

4、功能矫治器

对于高角患者,功能矫治预后不好。因此建议只针对均角或者低角的患者使用功能矫治器。MRC矫治系列不适用于矫治骨性错𬌗,只适用于替牙期牙齿萌出过程中的骨性Ⅰ类病例。

图9 FRⅢ功能矫治器

图10 Myobrace肌功能矫治器

友情链接: