首页/骨科精读/『踝关节融合』,这五种固定技术一个都不能少!/
『踝关节融合』,这五种固定技术一个都不能少!
2023-08-11 15:04:473094浏览
『踝关节融合』,这五种固定技术一个都不能少!

终末期踝关节病变以踝关节骨性关节炎为主,主要由创伤所致,占所有踝关节疾病的 76% ~ 78%。作为终末期踝关节炎治疗的金标准,文献记载的踝关节融合技术超过 40 种,我整理了几种常见的踝关节固定技术,你认为怎么做最合理呢?

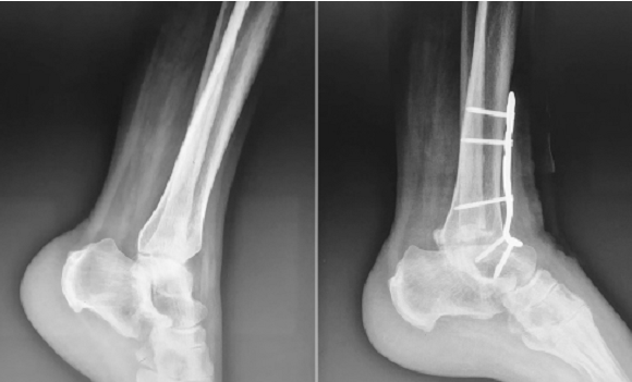
钢板内固定

锁定钢板较传统钢板能提供更强的固定,特别是对骨质疏松症患者,锁定钢板已成为踝关节融合术的首选固定方法。

创伤性踝关节骨性关节炎前侧锁定钢板内固定踝关节融合手术前后X线片

1、前侧入路

前侧入路是以踝关节间隙为中心作前方纵形切口,逐层切开,沿肌腱间隙进入;切开关节囊,显露胫距关节,去除软骨及软骨下骨,将前侧钢板置于踝关节前方。

2、外侧入路

外侧入路是于腓骨尖上约 10 cm 处截骨并将残端完全剥离取出,取残端松质骨待植骨用,完成融合面截骨并冲洗,将钢板贴伏踝关节外侧。

优点在于固定强度较大、固定牢靠,可用于踝关节严重内翻或外翻畸形、清理后存在较多骨缺损病例的修复和重建,通过解剖设计的融合钢板有助于恢复踝关节正常的解剖位置。

缺点在于需要较多地剥离骨膜及术区软组织,且钢板较厚,容易对周围肌腱产生激惹,置于前方的钢板容易在皮下触及,存在一定风险。

髓内钉内固定

对于踝关节和距下关节合并关节炎的患者,髓内钉或髓内棒是首选手术方式。这种固定方式可以复位并坚强固定严重的距跟关节脱位,髓内钉横跨踝关节和距下关节,融合距下关节和踝关节。应用逆行髓内钉进行踝关节融合治疗Charcot神经关节病,具有融合率高(100%)和并发症发生率低等诸多优势。

文献报道踝关节融合内固定术开放手术的融合率为80%~100%,髓内钉踝关节融合术的踝关节融合率为89%~100%。使用逆行髓内钉提供了高水平的即刻稳定性,患者有可能早期完全负重,且舒适度较好,能够提高患者依从性。

踝关节骨性关节炎合并距下关节炎,术前正侧位 X 线片可见胫距关节及距下关节破坏严重,距骨部分塌陷,关节周围可见骨赘形成。

螺钉内固定方式

螺钉固定是许多医生偏好的内固定方法,螺钉使用方便,并发症发生率低,手术只需要小的经皮切口,且价格更低廉。手术中胫距关节在充分对准后,一般采用2~3枚7.3mm空心螺钉固定。胫距关节的排列方向应为微外翻(0°~5°)、中性背屈、微外旋,以获得尽可能大的关节面接触面积。

术前站立位踝关节正侧位 X 线片提示右踝重度骨性关节炎伴内翻畸形,测量胫距关节面夹角内翻 19°

有研究报道, 2~3 枚螺钉固定是融合关节的最佳选择,螺钉过少会导致融合关节受 压不足,而螺钉过多容易导致融合关节各方向受压不一致

关节镜下见关节面软骨大面积缺损;关节镜下尖锥微骨折器处理关节面

改良外侧入路踝关节融合术不仅能够有效改善患者关节功能及缓解疼痛症状,还因其保留了外踝后方软组织结构,避免了对腓骨长短肌腱功能的损伤,能够防止因外踝全部截骨导致的内外翻畸形及关节不稳定等情况。

采用踝关节前入路并使用3枚螺钉固定的踝关节融合术
优点:术后并发症发生率低,关节融合率高,疼痛和功能水平均有显著改善。
缺点:踝关节不愈合率较高,特别是骨质疏松的患者。

关节镜辅助技术

开放手术软组织解剖涉及范围大,故其切口并发症发生率较高,可能导致住院时间和康复时间更长。因此,开放手术通常用于皮肤条件较好的中度至重度踝关节畸形患者。

关节镜下踝关节融合术是一种侵入性更小的手术,与开放手术相比,关节镜下融合术融合率更高、估计失血量更少、止血带时间更短、住院时间更短、患者接受度高、创伤小、术后恢复快、并发症少。在踝关节融合及距下关节融合中最常用的关节镜手术入路为外侧入路及后侧入路。

但是目前适应证包括创伤后关节炎、类风湿性关节炎、陈旧性剥脱性骨软骨炎、慢性踝关节不稳定、慢性踝关节感染、神经肌肉性关节疾病等,而且关节镜下踝关节融合术远期失败率和再次手术翻修率均高于其他手术方式。

支架外固定方式

外固定支架是最早应用于踝关节融合术中的器械,主要包括 Ilizarov 支架、Hoffman 外固定架、Hybrid 外固定架和Talar空间支架等。

踝关节开放性损伤伴感染 3 年,感染控制后 6 个月行踝关节融合术

Ilizarov 外固定架主要应用于合并复杂畸形或软组织条件不良的严重足踝病变,在融合的同时,可以矫正畸形,在临床上应用较广。

总结

踝关节融合术内固定方式不断更新,有越来越多各具特色的内固定技术可供临床医生选择,但尚无一种方法能达到满意效果。临床医生应根据踝关节病变程度、患者身体情况等寻找最优融合方式,形成更具个性化的手术方案,以达到更好的临床效果。

参考文献

1.踝关节融合内固定术研究进展,国 际 骨 科 学 杂 志 2023 年 1 月 第 44 卷 第 1 期 Int J Orthop,Jan. 25,2023,Vol. 44,No.1

2. 踝关节融合术式的应用与研究进展,《足踝外科电子杂志》 2021 年 9 月 第 8 卷 第 3 期

友情链接: