首页/创伤/术中如何判断患肢力线是否恢复?骨折是否解剖复位?/
术中如何判断患肢力线是否恢复?骨折是否解剖复位?
2024-02-21 16:07:191304浏览
术中如何判断患肢力线是否恢复?骨折是否解剖复位?

骨科手术的目的在于重建患肢解剖结构,以及恢复患肢功能。成功的第一步在于严格规范的术前计划。正如那就老话“failing to plan is planning to fail”。

虽然最近兴起的3D打印技术等对于一些复杂创伤手术具有极大的优势,但是此技术并不容易获得,且价格高昂。鉴于此,本文给大家介绍一种以对侧肢体放射学图像为基准的重建骨折解剖结构的评估技术。此技术易于操作,价格低廉,适于在所有医院推广,仅需C臂机,描写纸,记号笔。下面将以案例形式展示:

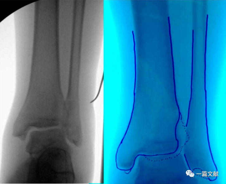
踝关节手术

在患者入手术室后,行无菌铺单前对健侧肢体C臂机透视,并将图像保存于右侧显示屏。若术中需要在垫高状态下进行,则此时应该将健侧肢体垫高透视,尽量做到与术侧肢体一致。当获得满意的正侧位图像后,用薄的描写纸或透明胶片覆盖显示屏图像,并用记号笔对健侧骨骼形态进行临摹。此时我们就获得了患者健侧骨骼轮廓,将其翻转,以此作为标准,对于术中指导和术后检验复位均起重要作用。具体如下图:

上图左侧为健侧标准前后位X片,右侧为临摹的骨骼轮廓。

上图左侧为患侧肢体,中间为临摹的健侧骨骼轮廓。右侧图将临摹后的纸张翻转后贴于C臂机显示屏,作为术中复位模板。术后亦可利用该模板对固定后的骨折进行比对。

腕关节手术

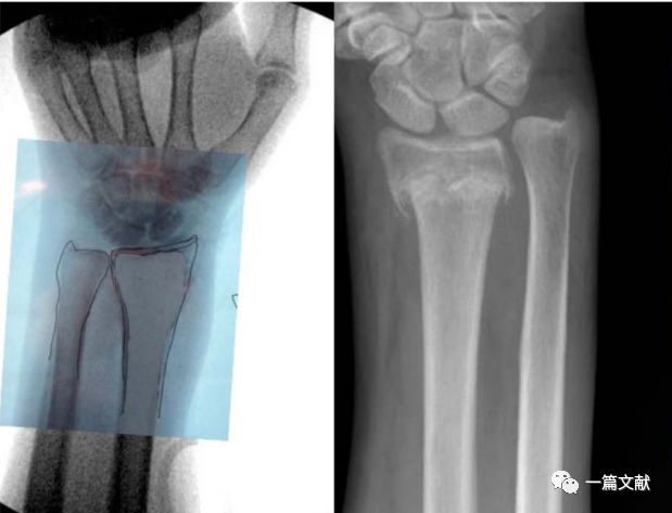
虽然一般认为,术中恢复桡骨远端23°尺偏角,11°掌倾角,13mm的桡骨高度,即获得了良好的骨折复位。但是存在个体差异,例如尺骨变异患者。故此时,将患者健侧肢体作为参考对象最可靠。如下图:

左侧为健侧临摹图,右侧为骨折图

将此临摹图翻转后作为基准,进行骨折复位与固定

胫骨平台手术

对于累及双侧髁骨折,近端移位明显的骨折尤其有用,如下图:

骨折畸形愈合的截骨矫形手术

此法可极大的简化截骨矫形手术过程,如下图:

最后为该患者矫形术后的下肢全长位片,患肢力线恢复满意

总结

由于患者个体差异较大,故统一的参数有时候并不可靠,另外踝关节的硬币征亦不一定完全准确。相比之下,本方法有简便实用、廉价、易操作等优点。术者唯一的需要克服的是术中透视技术。即最少次数的透视达到满意的图像。

友情链接: