踝关节解剖


踝关节外侧结构

踝关节下胫腓联合韧带


踝关节内侧结构

踝关节前侧结构

踝关节后侧结构踝关节骨折检查



x线检查

CT检查

MRI检查
踝关节骨折分型
踝关节环型理论——外踝——下胫腓韧带——内踝(三角韧带)——后踝

踝关节骨折分型-Weber——WeberA型-韧带下——WeberB型-经韧带——WeberC型-韧带上

踝关节骨折分型-Lauge-Hansen——旋后内收——旋后外旋——旋前外旋——旋前外展——旋后:内翻、跖屈---受伤时的体位——旋前:外翻、背伸---受伤时的体位——内收、外旋、外展---受伤时作用力,也就是距骨移动方向。
Lauge-Hansen-旋后内收(SA)足呈跖屈内收内翻位,内翻的距骨使踝关节外侧韧带紧张。Ⅰ°:外踝撕脱性骨折或外侧韧带损伤。Ⅱ°:外力继续作用,内踝受到内翻的距骨的挤压作用,造成内踝骨折。(特点:内踝骨折线倾向垂直)


Lauge-Hansen-旋后外旋(SE)损伤时足呈跖屈内收内翻位,距骨外旋(胫骨内旋)。Ⅰ°:距骨外旋使腓骨受到向外、向后的应力,下胫腓前韧带损伤或韧带附着点撕脱性骨折,或者同时又骨间韧带损伤。Ⅱ°:外力继续作用,腓骨继续受到向外、向后的旋转应力,造成腓骨的螺旋性骨折。(特点:腓骨骨折线从后上向前下。并且多位于下胫腓联合部位。)Ⅲ°:外力继续作用,下胫腓联合后韧带紧张,造成下联合后韧带的断裂或后踝的撕脱骨折。Ⅳ:外力还继续,距骨旋转使三角韧带紧张,造成内踝的撕脱性骨折或者是三角韧带的断裂


Lauge-Hansen-旋前外旋(PE)受伤时,足处于旋前背伸外展位,距骨外旋。Ⅰ:三角韧带紧张,造成三角韧带损伤或者是内踝撕脱性骨折。Ⅱ°:外力继续作用,距骨外旋造成下胫腓前韧带和骨间韧带损伤,或者韧带附着点撕脱性骨折。Ⅲ°:外力继续作用,腓骨受到向外向后的旋转应力,造成腓骨的螺旋性骨折(特点:腓骨由于足本身的位置,外旋力大,向上传导,骨折位于下联合上方,甚至可以达到腓骨颈部位- Maisonneuve骨折)。Ⅳ:外力继续作用,下胫腓后韧带紧张,造成下胫腓后韧带断裂或后踝撕脱骨折。



Lauge-Hansen-旋前外展受伤时足处于旋前位,距骨外展,三角韧带紧张Ⅰ:内踝撕脱性骨折或三角韧带损伤。Ⅱ:外力继续,外展的距骨造成下联合前后韧带同时紧张,断裂,或者韧带的撕脱性骨折,骨间韧带和骨间膜的撕裂。Ⅲ:外力继续作用,距骨挤压腓骨,造成腓骨的短斜形骨折(特点:外侧有一蝶形小碎骨片,骨折线多位于下联合上或者在下联合部位)。


踝关节骨折分型-Lauge-Hansen

踝关节骨折需要注意问题:
- 是否有骨折?
- 骨折的类型?
- 软组织损伤的类型?
- 有否关节内软骨的损伤?
- 有否合并伤或并发症
- 有否下胫腓联合的损伤?
- 有否三角韧带或外侧副韧带的损伤?
- 后侧结构损伤的认识与处理?
踝关节骨折特点:
- 韧带损伤重于骨折
- 踝关节不稳定重于关节面骨折
- 韧带损伤可以单处、可以多处
- 大部分三角韧带损伤伴有下胫腓联合损伤
- 常伴有软骨面的损
手术处理及选择
术前处理:

RICE原则Rest(休息):尽量减少踝关节活动Ice(冰敷):伤后48h内局部冰敷,每次10-30分钟,每天3次以上Compression(加压):适当压力的弹性绷带包裹可减轻肿胀Elevation(抬高):抬高患肢,高于心脏位置,增加静脉回流,促进消肿
POICE原则Protect:做好保护,防止受伤处再受创Optimal Loading:适当负重,让肌肉不能因为受伤而“休息”Ice:冰敷,禁止使用药物外及热敷 Compression:加压包扎患处 Elevation:多抽时间抬高患肢
手术时机选择伤后6小时:主要根据局部的肿胀情况7-10天后:皮肤皱褶试验(wrinkle sign)(+)

手术时机关键是看软组织

手术入路:
一般复位顺序——外踝-后踝-内踝——后踝-外踝-内踝——先简单后复杂——关节内压缩骨折适时处理——伤后2-3周手术注意后侧同时松解
一
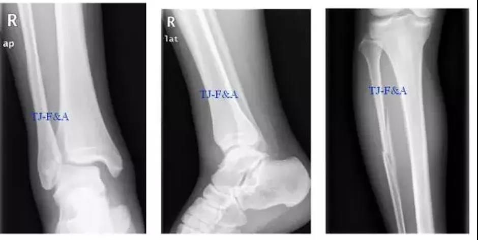
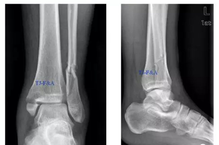
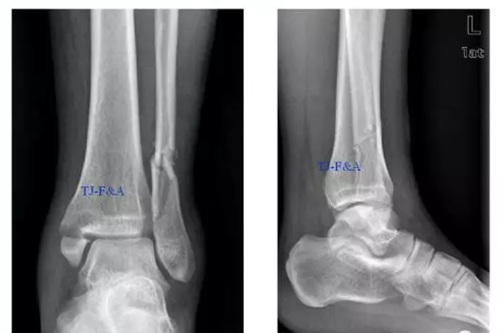
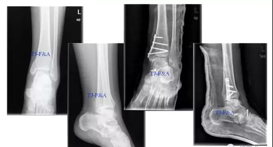
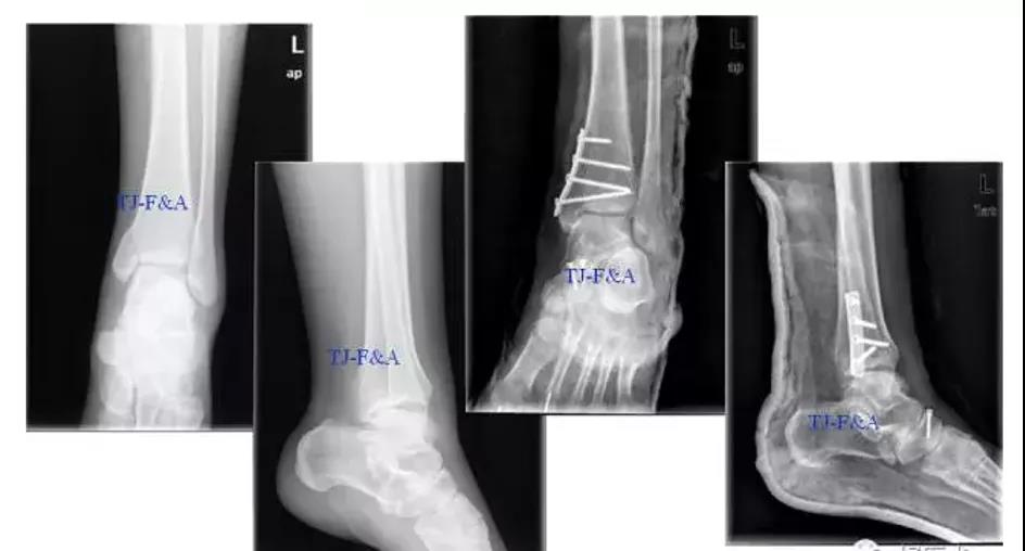
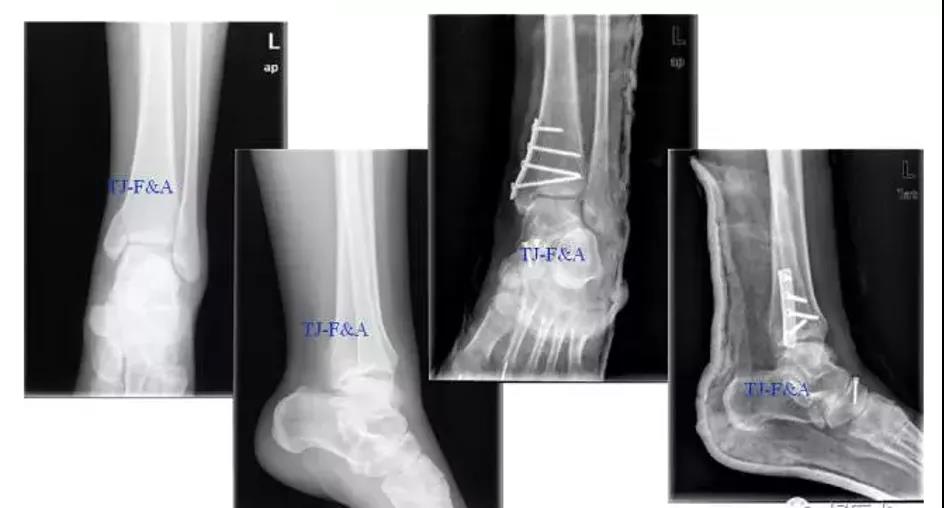
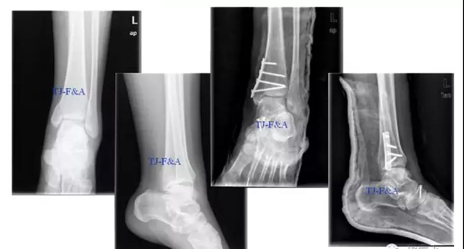
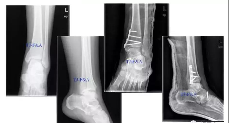
旋后外旋骨折复位顺序
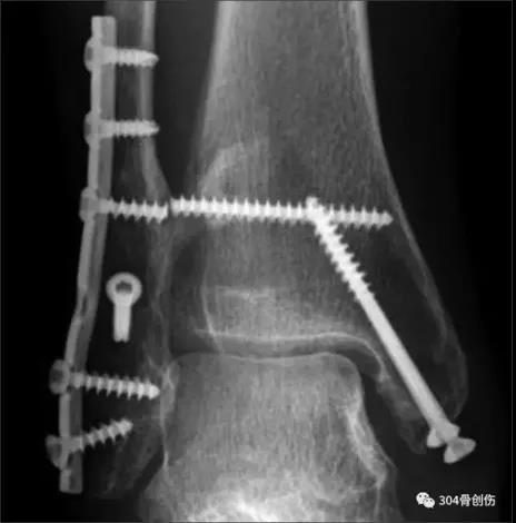
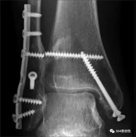
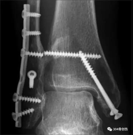
1.三角韧带探查,预置铆钉缝线2.后外侧切口复位固定外踝或后踝3.内侧切口复位固定内踝4.收紧三角韧带缝线5.下胫腓联合固定

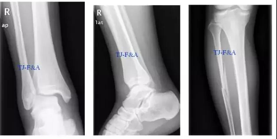
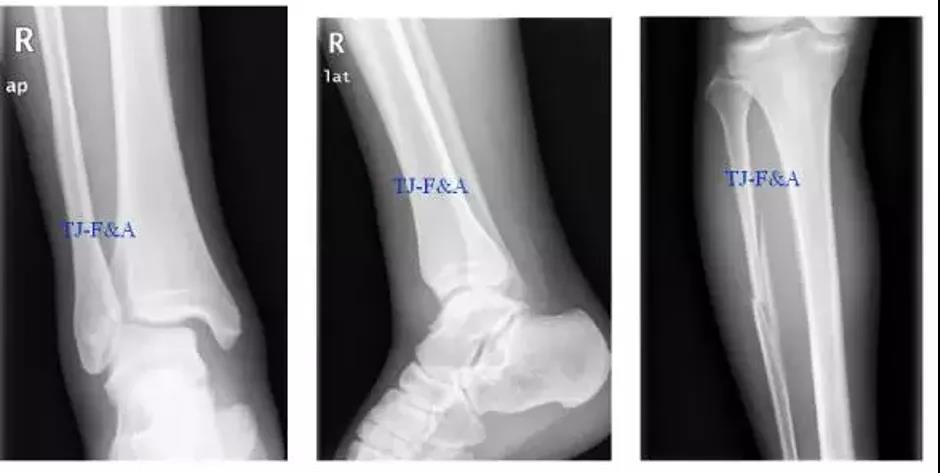
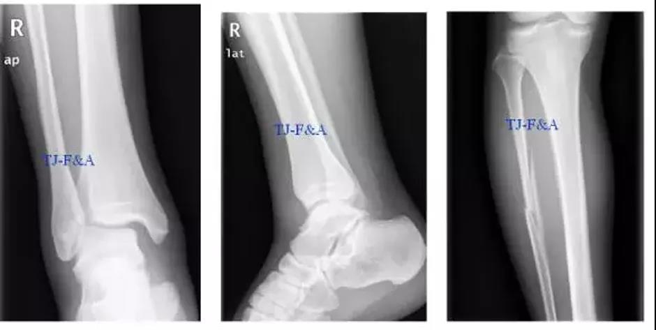
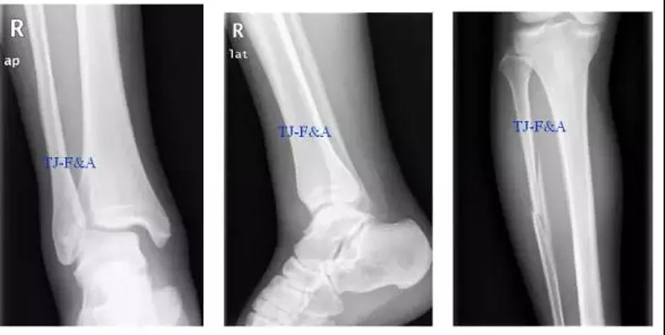
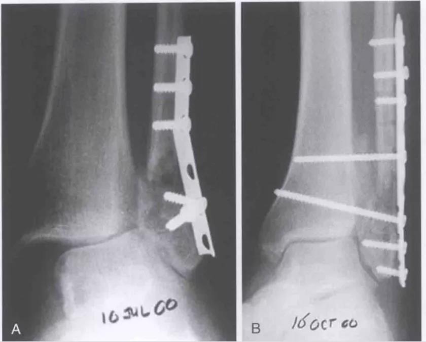
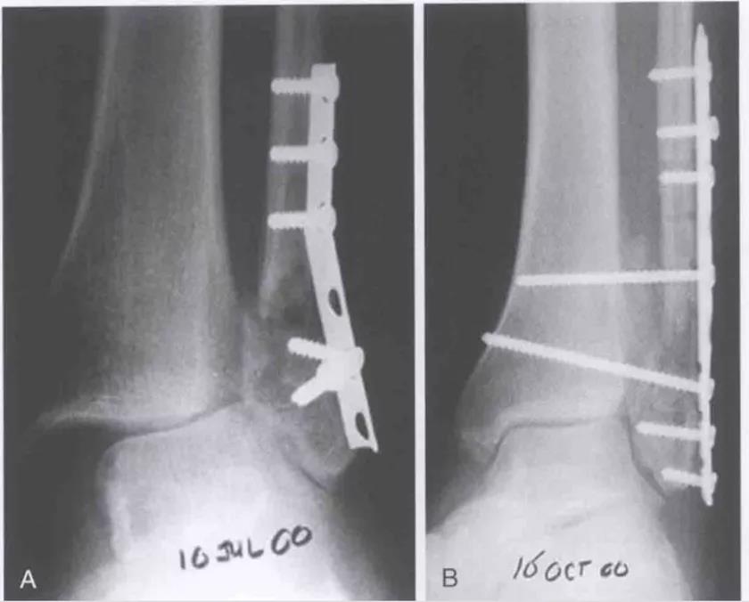
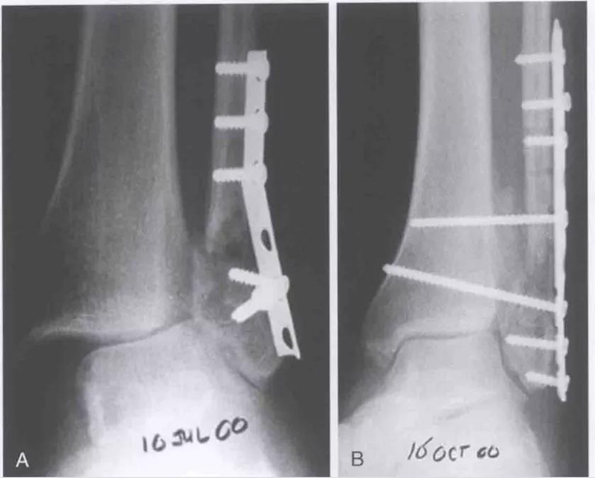
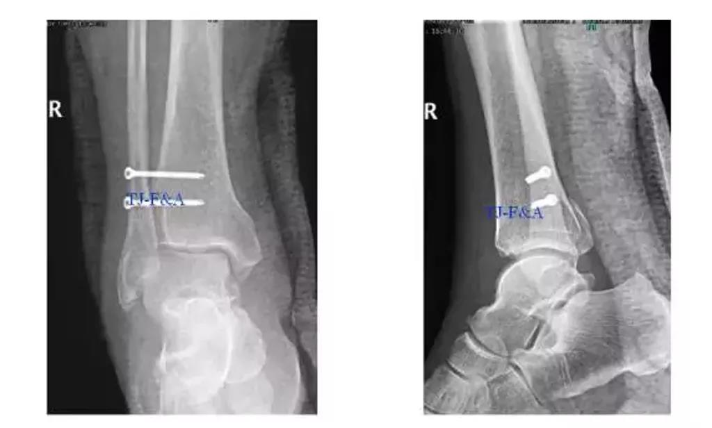
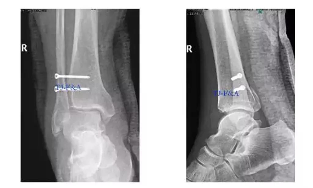
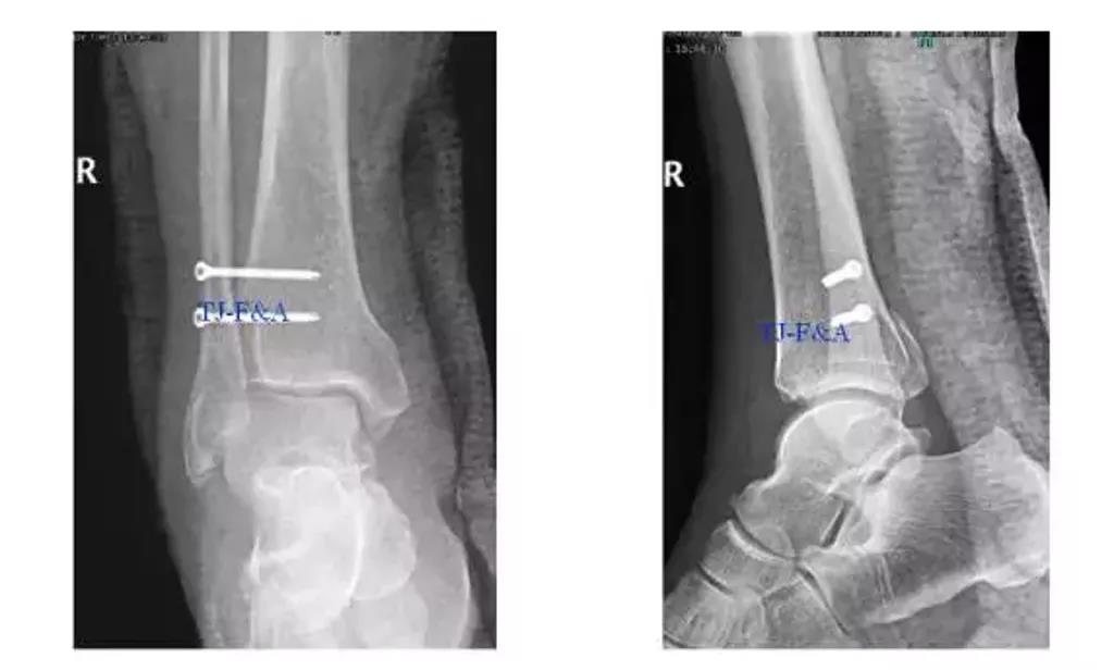
术前

手术切口选择

术中复位顺序

术后DR
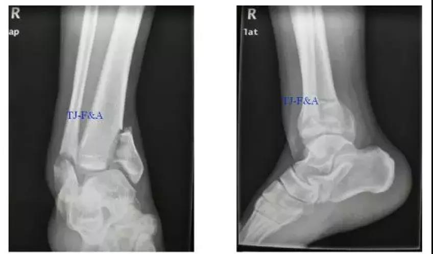
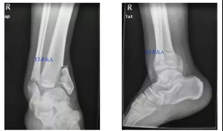
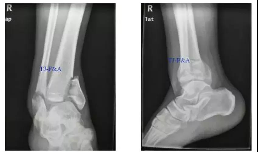
二
旋前外旋型骨折复位顺序
1.三角韧带探查,预置锚钉缝线2.下胫腓前小切口探查清理下胫腓联合3.外侧切口复位固定外踝和/或后踝。或微创腓骨固定4.内侧切口复位固定内踝5.收紧三角韧带缝线6.固定下胫腓联合

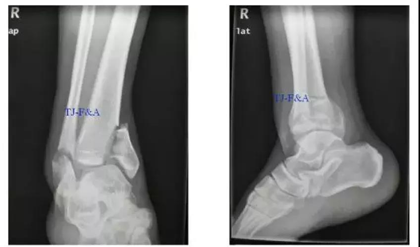
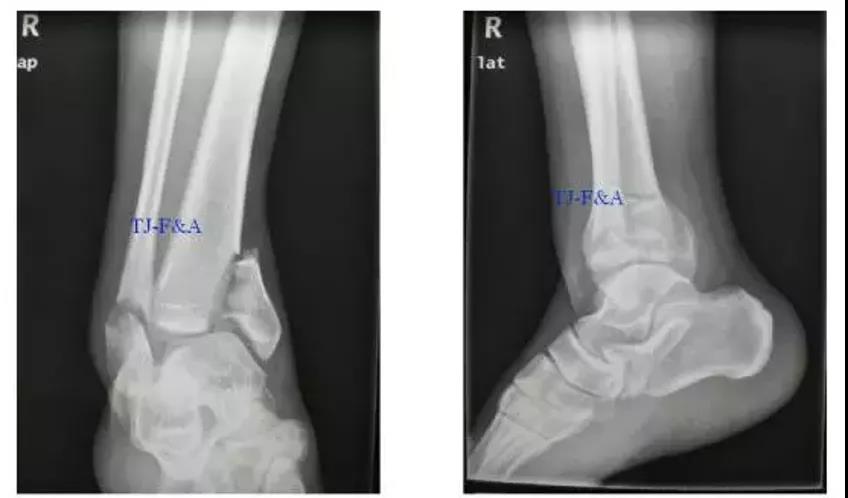
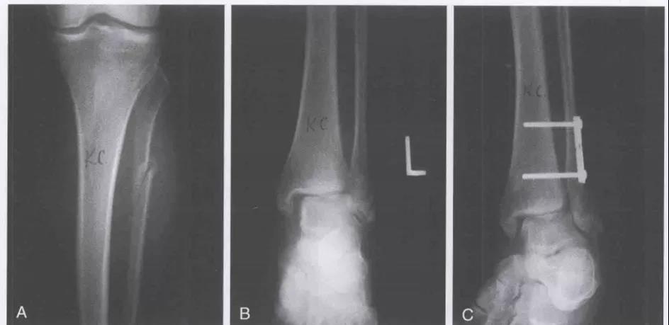
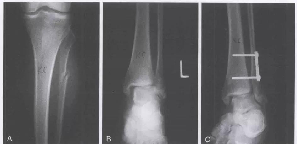
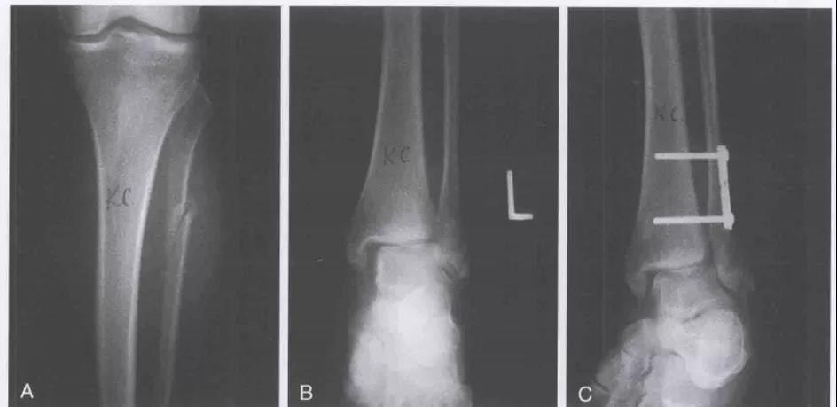
术前DR

切口选择



复位顺序
三
旋后内收型骨折复位顺序
旋后内收型骨折复位顺序非粉碎性骨折:内外侧切口分别固定内外踝再修复外侧副韧带粉碎骨折1.后外侧切口或微创方法复位固定腓骨2.前内侧切口复位固定内踝骨折3.修复外侧副韧带

术前DR

术前CT

切口选择

复位顺序
四
旋前外展型复位顺序
1.后外侧切口复位固定外踝2.内侧切口复位固定内踝或三角韧带处理3.探查处理下胫腓联合

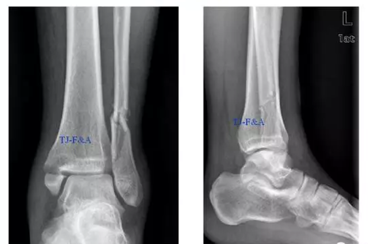
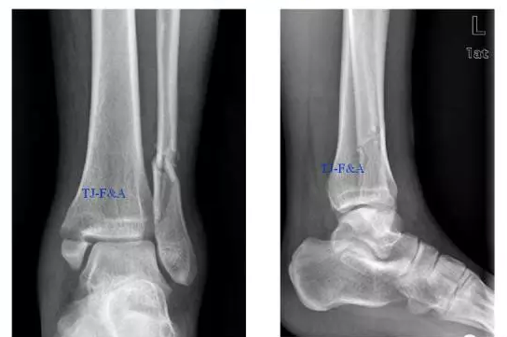
术前DR

术前CT

切口选择

复位固定顺序
腓骨固定:腓骨骨折固定方式:3.5mm钢板、拉力螺钉、可吸收钉、克氏针张力带等。
中上段骨折是否处理??钢板?克氏针?旷置?关键看下胫腓联合是否稳定
如何判断术中外旋应力试验hook试验
腓骨长度恢复:


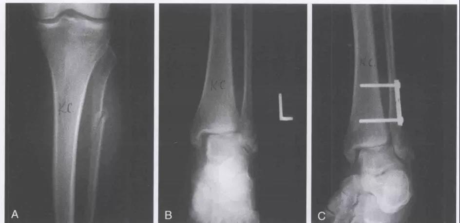
内踝固定-A型

内踝固定-B或C型



后踝固定支撑钢板——垂直暴力所致骨折较大骨块——伴有关节面骨折块螺钉——较小骨块——扭转暴力所致骨折
入路选择:前方入路:通过外侧切口复位,从前往后固定后外侧入路:在跟腱和腓骨长短肌腱间显露后踝固定以上适用于外侧骨块
内侧入路:扩大内侧切口显露,适用于内侧骨块
外侧入路-前后固定


术中判断后踝复位及固定

下胫腓联合损伤:
- 胫腓骨远端+下胫腓韧带复合体
- 下胫腓韧带复合体:
下胫腓前后韧带+骨间韧带+胫腓横韧带+骨间膜的远端组成。
- 骨间韧带和下胫腓前后韧带较重要。
下胫腓损伤与骨折及类型 Lange-Hansen分类
- 1.旋前外旋:最常见
- 2.旋前外展:可发生
- 3.旋后外旋:较常见
- 4.旋后内收:不发生

术前查体-外翻、腓骨挤压试验:


术前查体-背曲、腓骨压力试验


下胫腓联合损伤诊断

术中判断外旋应力试验::内侧间隙增大超过2毫米提示损伤Hook test:在内外踝骨折固定后,用尖钩向外拉腓骨,如腓骨向外移动大于4mm,则表明下胫腓联合韧带完全撕裂


手术指征
- 内外踝骨折固定后术中检查下胫腓仍然不稳定
- 陈旧性的下胫腓分离
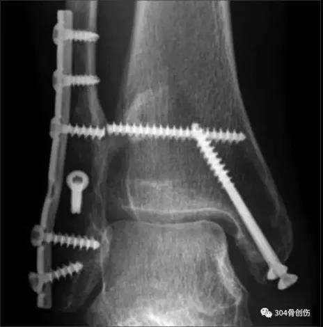
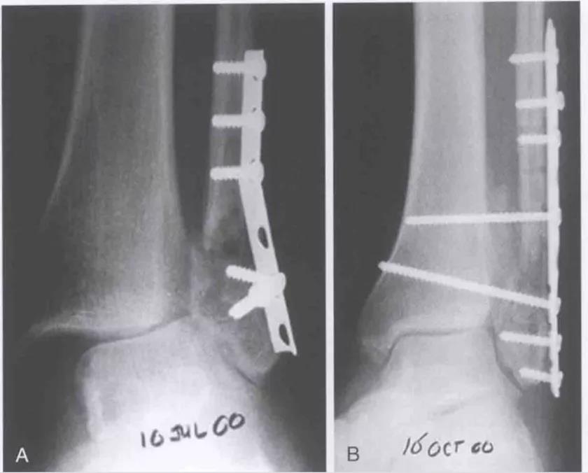
固定方法1、螺钉固定:在下胫腓联合上方1~3cm处,用1~2枚3.5mm皮质骨螺钉平行关节面向前倾斜30贯穿2层腓骨及1层胫骨皮质,在踝关节轻微背屈位固定,不做加压。2、胫腓钩(Link)3、endobutton,可吸收钉等


下胫腓固定一枚还是两枚螺钉?




双重固定


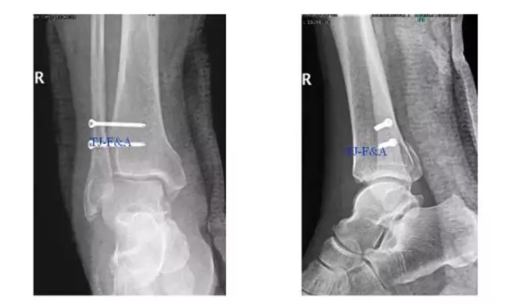
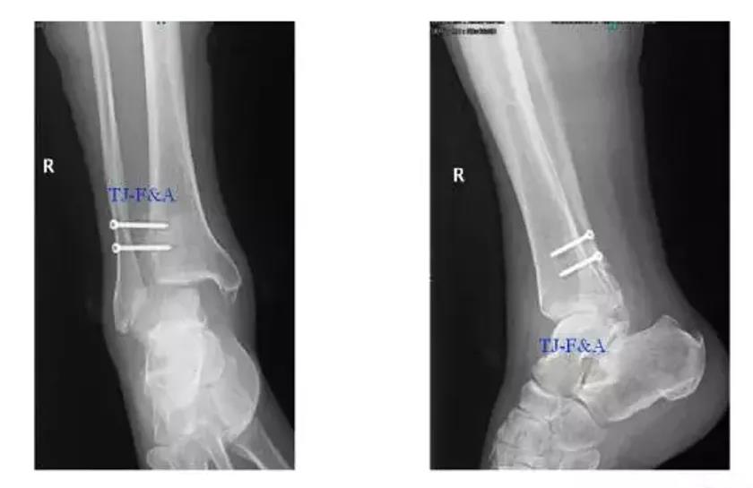
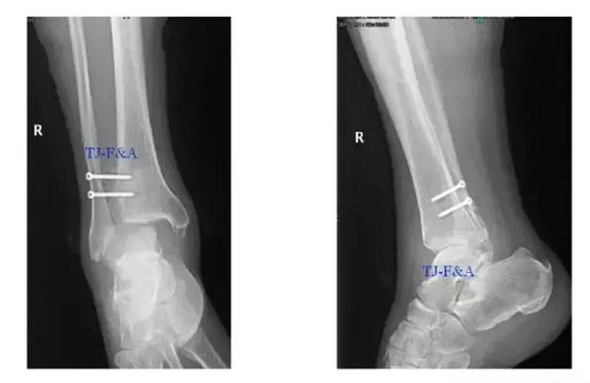
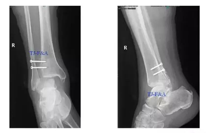
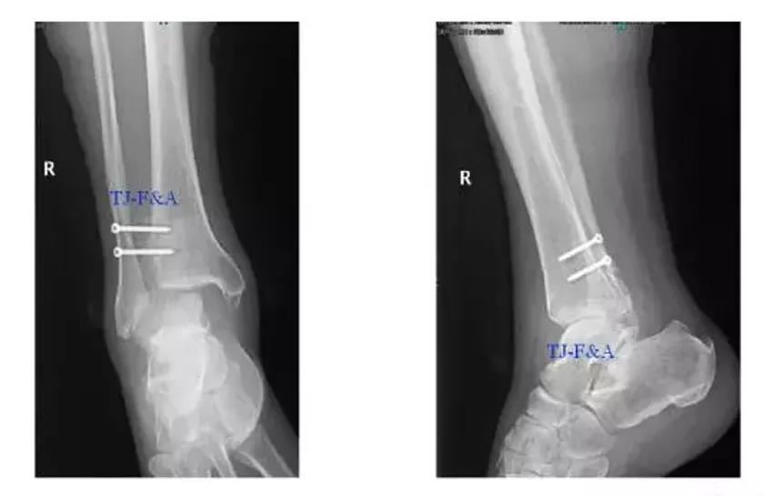
术前DR
术中:


失败病例:






术后2个月:

下胫腓内固定物取出时间目前尚存在争议,大部分文献认为术后8~12周以后取出螺钉比较合适。取出之前应限制踝关节的负重以免出现螺钉断裂。
三角韧带断裂判断


三角韧带修复专家共识1.做不做?具有以下情况建议做:年轻活动量大,尤其精英运动员;踝关节内侧间隙大于5mm以上;踝关节内侧肿胀和淤血很严重;CT见踝关节内侧间隙有小骨块;MRI示三角韧带深浅层完全断裂;踝骨折固定后内侧间隙过大或不稳。
2.怎么做?1、深浅层分别缝合修复;单纯修复浅层:深层修复方法。2、直接缝合;锚钉缝合;锚钉增强;锚钉缝合+增强;缝合修复+下胫腓联合位置螺钉。3、踝关节骨折常合并三角韧带损伤,旋前外旋型发生率最高,其次为旋后外旋及旋前外展三角韧带损伤多数病人可以保守治疗4、三角韧带完全断裂者或骨折因定后内侧仍不稳定者,建议手术修复,有利于早期康复及踝关节的稳定5、对部分断裂或骨折因定后内侧稳定者,可以保守治疗
早期功能锻炼:


中期锻炼:

本文整理自陈福强老师的课件!