首页/骨科精读/颈椎少见的3种钙化性疾病/
颈椎少见的3种钙化性疾病
2021-12-04 19:00:392716浏览
颈椎少见的3种钙化性疾病

一、齿状突加冠综合征 

(Crowned dens syndrome) 

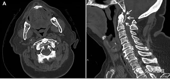
齿状突加冠综合征(Crowned dens syndrome)是指患者以急性颈痛伴随颈椎活动受限就诊,常伴发热,且影像学上表现为齿状突上方或周围出现大小不一、高密度、不规则的钙沉积影,但主要发生在齿状突后侧。因影像学征象犹如齿突戴上了一顶皇冠(如下图),因而得名齿状突加冠综合征,是因钙盐晶体在枢椎齿突周围软组织中沉积形成的。早在1985年,Bouvet等 (Arthritis Rheum, 1985) 首先报道此病。

颈椎CT冠状位重建显示犹如齿突戴上了一顶皇冠故得名齿状突加冠综合征

发病率

齿状突加冠综合征并不罕见,其发病率通常被低估。在急性颈痛患者中,齿状突加冠综合征的发生率为2%,远比我们想象的高。齿状突加冠综合征患者以东方人多见(尤其日本人),多见于老年女性,男女比率是0.6,且2/3的病人大于70岁。急性颈部疼痛和发热可能与枢椎齿状突周围韧带中的羟基磷灰石或二水焦磷酸钙结晶的沉积有关。在影像学上,沉积的结晶在齿状突周围产生齿冠或晕圈样的特征性表现。临床表现齿状突加冠综合征典型的临床表现为急性颈部疼痛(VAS评分常大于7分),伴随颈部僵硬和活动受限,常有发热,白细胞及中性粒细胞正常,血沉和/或C反应蛋白升高,甚至出现颈髓压迫征象。当老年女性患者因严重颈痛伴发热就诊时,需行颈椎CT平扫+矢状位重建,排除齿状突加冠综合征的存在。诊断目前,颈椎CT平扫出现齿状突周围的横韧带、尖韧带或翼状韧带周围钙化,且存在急性颈痛、升高的炎性指标被认为是诊断齿状突加冠综合征的金标准

也有学者认为齿状突加冠综合征的诊断应基于:

  • 急性严重的颈痛;
  • 颈椎活动明显受限,尤其是旋转运动;
  • 炎症指标的改变,如C反应蛋白水平升高;
  • CT可见齿状突周围钙沉积;
  • 无外伤史;
  • 排除其他炎性疾病和肿瘤。

鉴别诊断

一般的骨科和急诊医师对齿状突加冠综合征的认识不够,常规颈椎X线平片往往发现不了问题,且齿状突加冠综合征患者常有发热和升高的炎性指标。因此,在临床上,齿状突加冠综合征常被误诊为感染、颈椎病、强直性脊柱炎、类风湿关节炎、痛风、脑膜炎、转移性脊柱肿瘤等,导致不必要的手术和药物治疗(如抗生素)、频繁的就医及延长的住院时间。另外,齿状突加冠综合征还应与儿童钙化性椎间盘炎(儿童椎间盘钙化症)相鉴别,后者为自限性疾病,多发于6~10岁,多以颈痛为主诉,实验室检查少数会出现白细胞增高,血沉加快,影像学多表现为单间隙椎间盘钙化。

治疗与预后齿状突加冠综合征通常预后良好,症状一般在几周内消退。非甾体抗炎药或短程中等剂量的皮质类固醇可快速、完全地缓解患者症状。目前认为,两者合用是最佳治疗方案,但通常不需要长期使用。如果正确诊断了齿状突加冠综合征可以免去不必要的诊治。


典型病例【病例1】关于齿状突加冠综合征最典型且质量较高的文章当属2012年Matsumura等发表于新英格兰医学杂志(NEJM)的病例。

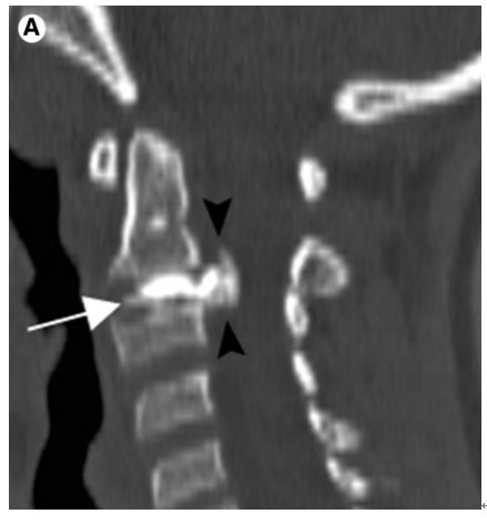
一位88岁女性患者,主诉急性颈痛伴发热2个月入院。体温波动在38-39.3℃,无视力模糊,无神经及脊髓压迫征象。颈椎CT+矢状位重建显示寰椎横韧带的曲线状钙化(图A,箭头所示),线性钙化(图B,箭头所示),以及齿状突周围的冠状钙沉积(图C,箭头所示)。给予短期非甾体抗炎药和泼尼松龙(15mg/d)后,其上述症状完全缓解。同时,作者指出这类疾病通常不需要长期用药。

【病例2】2014年Kuriyama等发表在加拿大医学杂志(CMAJ)的病例。

 一位84岁的男性患者,因“急性颈痛、僵硬伴发热”就诊。查体:颈椎向各个方向活动受限,无明显神经病变体征。实验室检查:血沉及C反应蛋白偏高。颈椎CT平扫提示齿状突横韧带钙化(箭头所示),从而诊断为齿状突加冠综合征。给予洛索洛芬治疗一周后,上述症状完全缓解,而且炎性指标恢复正常。

【病例3】2018年李永超等发表在中华医学杂志的病例。

患者女,76岁。无明显诱因下出现颈部疼痛、僵硬伴发热 3 d 入院 ,颈部疼痛呈间歇性,颈痛视觉模拟评分(VAS)为7分,体温37.7~38.8℃,无四肢疼痛麻木,无行走不稳,二便正常。既往无痛风、类风湿关节炎病史。入院体检:颈椎旋转明显受限,颈部肌肉僵硬,未查及明显神经或脊髓损伤体征。实验室检查:白细胞11.2×109/L,红细胞沉降率35.4 mm/h,超敏C反应蛋白14.7 mg/L,类风湿因子及降钙素原正常。颈椎CT平扫示齿状突后侧寰椎横韧带弧形钙化(左图箭头)和竖直线样钙化(右图箭头)。依据患者病史、体征及辅助检查,齿状突加冠综合征可基本诊断。入院后给予氯诺昔康 8 mg静脉滴注每日2次,地塞米松起始量10 mg静脉滴注每日1次,3日后改为5mg/d。连续治疗5 d后,患者入院时症状明显缓解,复查白细胞、红细胞沉降率、超敏C反应蛋白均恢复正常。随访半年,未有颈痛伴发热症状出现。

参考文献:1. Arthritis Rheum,1985,28(12):1417-1420.2. J Bone Joint Surg Am, 2007,89(12):2732-2736.3. N Engl J Med,2012,367(23):e34.4. Neuro radiol J, 2014, 27(4): 495-497.5. CMAJ. 2014;186(4):293.


Spine脊柱做知识的搬运工
256篇原创内容

公众号


二、儿童椎间盘钙化症

(Pediatric Intervertebral Disc Calcification)

儿童椎间盘钙化症,也有人称之为儿童特发性椎间盘钙化症(Pediatric Idiopathic Intervertebral Disc Calcification)儿童钙化性椎间盘炎是指儿童的椎间盘内发生钙化现象,并带来一系列的症状和体征。最早在1924年由Baron教授报道,为一种少见病,与中老年人由于椎间盘发生变性所致的颈椎病性椎间盘钙化不同,是一个独立的自限性疾病

图:C2-3儿童颈椎间盘钙化合并后纵韧带骨化虽然本病可以发生在从新生儿到青春期, 但其发病高峰为6~10岁,男性多于女性,发病部位以颈椎间盘最为多见,胸椎次之,腰椎最少,颈椎中以C6-7和C3-4节段最为常见。一般为单一节段的椎间盘钙化,少数病例也可有两个部位的椎间盘钙化,部分病例可伴有后纵韧带骨化。另外,部分病例可出现神经刺激症状,且在影像检查中不仅可以看到椎间盘异常征象,还可显示肿块侵入椎管,甚至压迫脊髓,特别是合并后纵韧带骨化的病例,椎管侵占率往往大于50%。

同时,因儿童椎体发育不完全,在MRI影像中显示椎体不规则且钙化的椎间盘影像易被误认为椎体破坏。因此,如对此疾病认识不足或没有认识,很容易误诊为肿瘤、结核或感染,导致不必要的抗痨、抗炎,甚至手术治疗。

分型

Rechtman等把儿童椎间盘钙化分为三型:

  • 消失型:伴有急性症状的发生,X线表现有椎间盘钙化,常于数月内钙化在X线片上消失,此型最常见,文献报道的病例多为此型。
  • 潜伏型:常为一种不太重要的X线发现,但不久后就会有症状发生,以后钙化也可以在X线片上消失。
  • 静止型:偶然的X线发现有椎间盘钙化,无症状与体征。

临床表现

主要为局部的症状与体征,一般起病较急。可出现不同的症状, 可能有剧痛或间歇性疼痛, 或完全无疼痛。也可表现为全身症状如发热和乏力等。主要症状是颈痛、僵硬、斜颈和活动受限, 个别病例有病变相应神经节段支配区的疼痛, 极少数患者有脊髓压迫症状。也有因钙化的间盘前突造成吞咽困难的病例报告。查体时常可发现颈部肌 肉痉挛、压痛、颈活动受限, 如有神经根或脊髓受压, 可有相应的神经系统体征。病变有自愈性,症状体征在短期内能很快减轻或消失。大多数椎间盘钙化是在出现症状时发现的,但也有偶然发现的。有的在出现症状前4年就发现有钙化存在。文献报道,钙化一般在3~6个月内消失, 最短的为2周, 最长的11年。

实验室检查和影像学表现

血液检查:部分病例有一过性的白细胞升高。在发病初期,症状严重时很多患者血沉增快,有学者报道血沉阳性率高达90.9%。多数病例血象、血钙、磷、维生素D、碱性磷酸酶正常。影像检查:X线片可发现颈椎间盘钙化影像。钙化钙可发生在1个节段, 也可发生在多个节段。钙化影像无规律,有致密椭圆形,也有不规则形或斑片状。钙化在病程的不同时期可呈现不同形状。椎间隙可以变窄,也可正常。受累间盘下面的椎体多呈扁平。有时观察到钙化的间盘突入椎管或在椎前突出,或合并后纵韧带钙化或骨化。CT和MRI对观察钙化突入椎管有重要价值。

诊断与鉴别诊断

儿童颈椎间盘钙化有如下特点 :

1.儿童期发病;2.颈部局部的疼痛和牵涉痛;3.颈椎活动受限;4.急、慢性炎症迹象;5.影像学发现颈椎间盘钙化;6.病程呈自限性。根据症状体征,结合影像学表现,可以确立诊断。而影像学发现椎间盘钙化是诊断的主要依据。

  • 儿童椎体结核的患者, 常有与儿童椎间盘钙化相似的颈痛、畸形、活动受限的症状体征,但在X线片常可见到椎体的骨质破坏,椎间隙狭窄或消失,椎前软组织肿胀,而无椎间隙钙化。
  • 椎间盘的感染或创伤也可以产生与椎间盘钙化相似的症状,但在X线片上的表现是完全不同的。椎间隙狭窄,伴有1个或2个附近椎体边缘的骨质侵蚀,晚期发生融合是其特点,但无椎间盘钙化影像。
  • 椎体或椎管内肿瘤虽然也可以有与儿童椎间盘钙化相似的临床症状,但不会侵及椎间盘,椎间盘本身也不会发生肿瘤。突入椎管内的团块与钙化的椎间盘连续,是鉴别诊断的要点。
  • 齿状突加冠综合征典型临床表现为急性颈痛,伴颈部僵硬和活动受限,常有发热,红细胞沉降率和(或)C反应蛋白升高,与儿童椎间盘钙化类似。但齿状突加冠综合征患者多见于老年女性,表现为齿状突周围出现大小不一、高密度、不规则的钙沉积影。

本病为自限性疾病, 时间对于本病的诊断与鉴别诊断有重要意义。如果在诊断上有疑虑, 通过密切观察, 定期复查X线片,都可以得到确诊。

病因与发病机制

具体病因不明,目前认为多致病因素导致,可能系外伤、感染或代谢障碍引起。感染因素一直受到关注,北医三院党耕町教授团队报道的5例儿童颈椎间盘钙化患者,在发病前或起病同时有呼吸道感染的症状,有程度不等的感染征象, 如发热、血细胞计数增高、血沉增快。但是, 他们始终没有找到感染的病原学证据。同时,也存在无感染病史的病例。有些颈椎间盘钙化在症状出现前早已存在。有些学者注意到很多病例的发病与程度不同的创伤有关, 认为创伤是钙化无可置疑的重要因素。一些实验研究发现,外伤后24小时至48小时可以发生软组织钙化。然而, 颈椎间盘钙化有创伤史者仅占30%,而且所有的创伤都不严重。目前还无法评价轻微创伤对儿童颈椎间盘结构的影响。有些学者提出间盘钙化与使用维生素D过量、钙代谢障碍或其他代谢疾患有关,但所有报告均没有找到检验学证据。椎间盘的纤维环和髓核都可以钙化,但主要是髓核钙化。长期随访发现钙化椎间盘及骨化的后纵韧带一般能够逐渐吸收,患者所表现出的症状是发生于钙化吸收的高峰期,钙化吸收过程中常伴随炎症反应,从而引起牵涉痛。钙化的吸收目前认为可能由于微血管浸入到椎间盘,钙化椎间盘最终吸收,而随着椎间盘钙化的稳定可以促进骨化的后纵韧带吸收。

治疗与愈后

保守治疗:因儿童椎间盘钙化为自限性疾病,通常采用保守治疗,措施包括卧床休息、支具制动、牵引及非甾体类消炎镇痛药,有钙化突入椎管者禁用牵引。一般保守治疗3周内症状缓解66%,6个月内缓解95%,仅有极少病例疼痛持续数年,甚至复发。另外,如有呼吸道感染症状可同时应用抗生素。

手术治疗:对有神经压迫症状的患者,经保守治疗不缓解或有进行性加重的脊髓压迫症状者应进行手术治疗,但文献报道,手术治疗病例很少。因为即使钙化团块突入椎管,经严格保守治疗,不仅症状明显减轻或消失,突入椎管内的钙化团块也逐渐消失。因此,是否需手术治疗值得研究,至少应取谨慎态度。

通过长期随访观察, 儿童颈椎间盘钙化患者预后良好。但有些学者的影像学观察发现,一些患者在进入成年后会很早出现了退变性改变, 可能与椎体变扁有关,但还需要进一步观察研究。

典型病例【病例1】

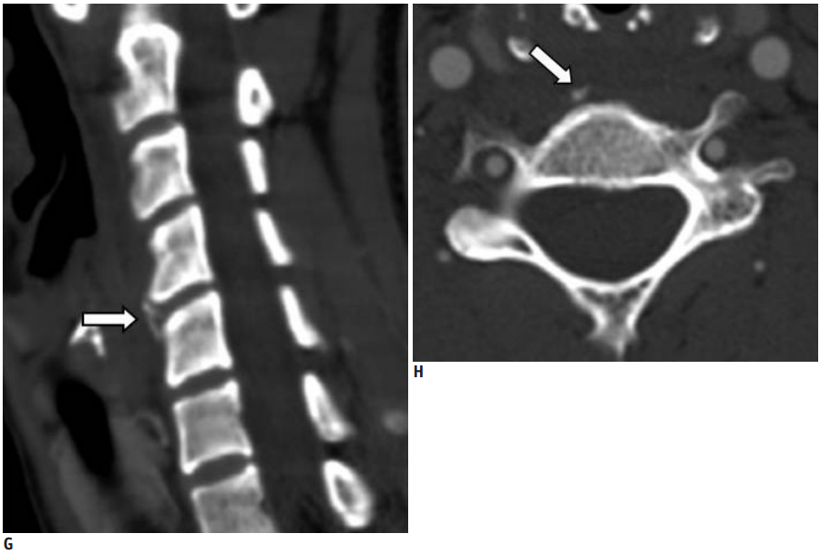
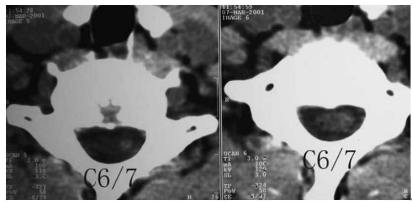
图:患者8岁,女孩,因严重颈部疼痛、活动受限伴左上肢无力、麻木不适2天就诊。既往有锁骨骨折、额部软组织挫伤病史。查体:颈椎活动受限,左上肢肌力正常,但感觉减退。白细胞、血沉、CRP升高。颈椎侧位片和CT平扫提示C6-7椎间盘钙化(粗箭头)和后纵韧带骨化(细箭头),颈椎MRI提示C6-7水平脊髓明显受压。给予颈椎制动、枕颌带2.5kg颈椎牵引2周。随后,颈托固定1个月。2年后随访复查颈椎CT如下图,同时上述症状完全缓解。

图:2年后复查CT示C6-7钙化的椎间盘和后纵韧带骨化都消失了

【病例2】

图:8岁女孩,因颈腰痛伴左上肢放射痛2月余就诊,颈椎侧位片、CT和MRI表现与上述病例类似。

图:给予保守对症治疗(具体不详)1月后症状消失。6个月时随访可见钙化的椎间盘和后纵韧带都消失了。

【病例3】

图:6岁男孩,因颈痛就诊

图:保守治疗1个月后,症状消失。19个月随访情况

图:9年后随访情况

【病例4】

图:11岁女孩,因颈痛3月,加重半月就诊

图:经卧床休息、非甾体抗炎药、牵引2周和颈托固定2周后症状完全缓解。2月后复查情况

图:6个月复查情况参考文献:1. World Neurosurg. (2019) 129:181-185.2. Pediatric Neurology 61 (2016) e115-e1163. BMC Musculoskeletal Disorders (2018)19:3164. Childs Nerv Syst (2016) 32:381-3865. J Spinal Disord Tech 2012;25:59-636. 中华外科杂志,1996;34(4):197-200


Spine脊柱做知识的搬运工
256篇原创内容

公众号


三、颈长肌钙化性肌腱炎

calcific tendinitis of the longus colli muscle

颈长肌钙化性肌腱炎(calcific tendinitis of the longus colli muscle),又称咽后钙化性肌腱炎(retropharyngeal calcific tendinitis)急性钙化性椎前肌腱炎(acute calcific prevertebral tendinitis)是一种自限性疾病,其典型表现为急性颈痛、颈部僵硬和吞咽困难。确诊的关键是将本病和其他类似临床表现的严重或危及生命的疾病加以鉴别,如咽后脓肿、脑膜炎等,避免不必要的抗生素或外科干预治疗。

此病最早由Hartley于1964年首次报道,国外常引起重视,很多高影响因子文献(如Lancet、Arthritis Rheumatol、JBJS am)均有报道,而国内中文文献报道较少,据我检索,仅2篇报道且为影像科医生报道,但此类患者多就诊于急诊科、骨科和耳鼻喉科等,说明国内临床医生对这个疾病认识不足

颈长肌急性钙化性肌腱炎常急性发病,如认识不足,很容易误诊误治,贵在早期明确诊断,治疗主要为非甾体抗炎药,一般1-2周会自愈。

颈长肌解剖


颈长肌是位于C1-T3椎体前缘的成对肌肉,由上斜肌、直肌和下斜肌组成,在上内侧附着于寰椎的前结节。从侧面看,颈长肌与前纵韧带均位于颈椎椎体前方,形成厚度3-4mm的软组织层。钙化常发生于上斜肌。

(PMID: 663244)

(PMID: 19451311)

(PMID: 23179983)


临床表现


颈长肌钙化性肌腱炎的临床表现、体征和影像学表现均与发生在肩、髋、肘部的急性肌腱炎合并钙质沉着相类似,也与齿状突加冠综合征儿童颈椎间盘钙化症发病类似,请点击蓝字查看既往推送。


典型三联征是急性颈痛、颈部僵硬和吞咽困难,其他伴随症状和体征包括枕部头痛、颈椎活动受限、张口受限、咽喉痛、咽部水肿、斜颈、头晕和伴有炎性指标升高(白细胞、CRP和血沉)的低热,其年平均发病率为0.50/10万人年。

2010年,Park教授回顾文献总结71例颈长肌急性钙化性肌腱炎的特点发现,最常见的症状是颈部疼痛(94%)、活动受限(45%)、吞咽痛(45%)、颈部僵硬(42%)、吞咽困难(27%)、喉咙痛(17%)和颈部痉挛(11%)。

危险因素


文献报道,重复性创伤、缺血、坏死和遗传倾向被认为是可能的病因。部分患者有感冒、咽炎等病史。大部分患者无明显诱因,突发症状和体征。


诊断

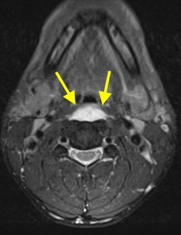
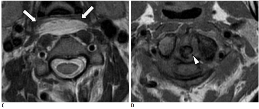
明确诊断主要通过影像学方法,颈椎CT是关键。颈长肌钙化性肌腱炎特异性的影像表现是C1-4椎体前缘软组织肿胀和积液与C1椎体前弓下方不规则钙化沉着共存。

图:C1椎体前弓下方不规则钙化沉着

图:椎前积液

图:椎前积液和C1椎体前弓下方不规则钙化沉着

图:椎前软组织肿胀

颈椎侧位片能够显示上颈椎前纵韧带和颈长肌组成的软组织影增宽,密度增高,正常时宽度为3-4mm,急性炎性水肿时可增宽到1cm以上,并可显示椎前软组织内的钙化影,一般位于C1-2水平。此外,还可见颈肌痉挛引起的颈椎前凸消失。颈椎侧位平片所见的发育性寰椎前弓的下方附属小骨片、寰椎前弓的撕脱骨折以及茎突舌骨肌韧带的钙化极易与本病所见的钙化混淆。

CT的高分辨率能够明确肌腱内的钙化,能够明确是钙化而不是其他骨骼来源的高密度影。钙化一般位于寰椎前弓的下方和枢椎齿状突的前方,少部分可位于下颈椎前侧。CT有助于明确椎体前积液的存在和排除其他病理表现,如骨折或脓肿。MRI对诊断不是必须,但有时可帮助确定软组织异常,排除咽后脓肿,脊椎炎或肿瘤。MRI检查T2加权在椎前可见局限性的裂隙样区域,大多位于C1-4水平,呈高信号改变,这反应是由于炎症引起的积液。T2加权、脂肪抑制序列和T1加权对鉴别积液和脂肪组织、含脂肪的骨髓以及咽后感染、脊椎炎有重要作用。MRI检查在钙化检查方面存在不足,T2加权呈低信号。

鉴别诊断


  • 本病急性颈痛发作时常伴有颈项僵硬,临床多疑为脑膜炎,但无明显全身症状和体征,经化验、影像学检查不难鉴别;
  • 本病常见吞咽困难与疼痛,常疑为食管疾病,经食管钡餐造影即可鉴别;
  • 本病咽后壁软组织影增宽,近似咽后壁脓肿,但无椎体骨质破坏,全身症状不明显,可以鉴别;
  • 本病钙质沉着多在上颈椎,而颈椎间隙内钙质沉着多在下颈椎且累及多个间隙,为二者不同处;
  • 寰椎前弓在颈部过伸性外伤时可引起骨折,X线片可见小碎骨片分离,与此病不同。

此外,也应与齿状突加冠综合征、感染性脊柱炎、淋巴结炎、会厌、口咽和脊柱肿瘤等。在此情况下,正确的诊断将会减少有创性检查的数量,并可能减少不必要的抗生素和外科干预治疗。


因颈长肌钙化性肌腱炎常伴椎前软组织肿胀和积液,重点应与咽后壁脓肿鉴别,咽后壁脓肿常需抗生素和外科干预。

发病机制


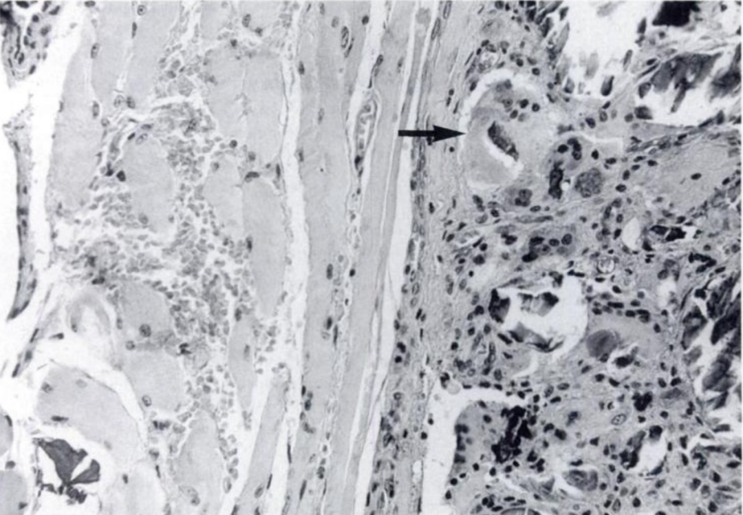
目前认为,颈长肌钙化性肌腱炎是由颈长肌肌腱内羟基磷灰石晶体沉积引起,并伴有无菌性炎症反应。

图:光镜可见典型的钙质肉芽肿病变,多核巨噬细胞吞噬钙质结晶(箭头)

图:扫描电镜可见大量钙质结晶

治疗


首选非甾体抗炎药,可配合颈托制动,严重情况下可加用皮质类固醇药物。一般1-2周症状会明显消失,大多数患者数月后,钙化和椎前积液能够完全消失而痊愈。

愈后


本病为自限性疾病,愈后良好。

典型病例介绍

36岁女性,急性颈痛、吞咽困难伴颈部僵硬,MRI示C1-2前部颈长肌增厚呈低信号,提示钙化(长箭头)和C1-4椎前积液(无线箭头),经类固醇和止痛药治疗8天后症状消失,复查MRI提示上述表现消失。(PMID: 18765656)

C1-2前侧低信号(无线箭头)和C1-5椎前水肿(长箭头) (PMID: 19567634)

40岁男性,低热伴急性颈痛、张口困难1天,颈椎CT提示椎前钙化(箭头),经洛索洛芬60mg,每日三次,连续五天治疗,3天后症状改善,3月复查CT钙化消失。(PMID: 25918175)

32岁男性,颈肩部疼痛1月,喝水时轻度吞咽困难伴颈椎活动受限,无发热,化验指标正常,经非甾体抗炎药和秋水仙碱治疗后症状改善,4月后复查颈椎侧位片(D,E)钙化消失。(PMID: 25941110)


30岁女性,诊断为颈长肌钙化性肌腱炎,但钙化位于不寻常的位置:C4-5椎间隙前侧。A:颈椎侧位片示寰枢椎半脱位(长箭头)和椎前软组织肿胀(无线箭头);B,C和D:颈椎MRI示C1-6椎前软组织肿胀伴积液,D示齿状突骨侵蚀(无线箭头)

上述病人,E为增强,F为抑制像,G和H:经非甾体抗炎药治疗3天后查颈椎CT示C4-5椎前无定形钙化。

上述病人,I和J: 入院4天后复查颈椎MRI示椎前积液明显减少; K,随访2个月复查CT示C4-5前钙化灶减小。(PMID: 21852912)

其他参考文献:Lancet. 2019;393(10185):e40Medicine (2017) 96:46(e8343)

Semin Arthritis Rheum. 2010;39(6):504-9.J Bone Joint Surg Am. 1994;76(11):1636-42.

友情链接: