首页/骨科精读/22种克氏针神奇的妙用,你都知道吗?/
22种克氏针神奇的妙用,你都知道吗?
2021-06-30 11:05:128568浏览
克氏针对于骨科医生来说再熟悉不过了,尤其是创伤骨科医生,几乎每一台手术都需要用到克氏针,本文将重点分享克氏针一些巧妙的用法。

克氏针的发展


1907年,瑞士的Fritz Steinmann 医生(1872 - 1932年)开始使用一种比较粗的“钉”,这就是后人熟知的斯氏针Steinmann pin。 

置入方法是先钻孔,然后把斯氏针敲进骨里。分别置入骨折远端骨块的内侧和外侧,用于牵引并维持力线。通常直径为3.5mm至6.0mm。

1909年,鉴于对斯氏针的一些不满,例如:斯氏针太粗,造成感染风险大大升高;要预钻孔,也可造成感染,固定也不可靠;Kirschner医生开始将一种较细的表面光滑的“针”引入急诊医学,用于牵引,被后人称为K-wire。也因此,克氏针(Kirschner wire)命名来源于发明者Martin Kirschner医生。


和最初的用法不同,Kirschner医生仅用一根,打穿内外侧。也无需预钻孔,直接钻入骨块,降低了感染风险,且固定更可靠。

1933年,Kirschner医生报道了人类第一例立体定位手术,用于治疗三叉神经痛!而且这一在骨科领域广泛使用的K-wire(克氏针)仅仅是他在骨科的成名作。

1937年,K-wire(克氏针)开始广泛应用于手外科。

二战时期,1.5mm的K-wire广泛流行,抗生素和抗腐蚀材料的应用降低了感染率。同时也出现了0.7mm – 1.0mm的K-wire用于指骨。

Murray医生开始尝试将K-wire当髓内固定来用,比方锁骨固定。适应症也扩展到足踝,长骨骨折内固定等。克氏针也被制作成动力性支具,用于康复。

1942年8月30日,“克氏”过世,享年62岁。死于胃部肿瘤。过世前,他最后发表的文献认为用Hammer(锤子)置入K-wire比Drilling(钻)好(温度低,损伤小)。

1993年,Zegunis医生引入了气动电锤置入克氏针(就是把克氏针敲进骨质,而不是钻进去,以减少热损伤!),有研究证实可减少骨坏死。但不知道为什么,这种置入克氏针的方法似乎没有普及。


最初的的克氏针头部是Diamond型,后有人改成Trocar型,各有利弊。前者温度低,但固定稍差。后者固定好,但温度高。

克氏针有各式各样的,带螺纹的;带限位器的;带刻度的,单头双头的,不同材质的……




克氏针在骨科的临床用途


总的来说,克氏针在骨科的临床用途可归为两类:做为内植物使用和做为工具使用。


一、作为内植物使用

目前应用最多的当属儿童骨折的治疗。由于儿童骨骺的特殊性,克氏针具有对骨骺生长影响小、操作方便、可经皮置入等优点。



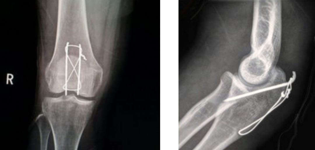
克氏针在张力带系统的使用中也必不可少,如髌骨骨折、尺骨鹰嘴骨折等。随着关节的活动不断对骨折断端加压以促进骨折愈合,做到骨折愈合和功能恢复的有效结合。



此外,虽然微型钢板已经普及,但是克氏针在掌指骨骨折的治疗中仍然占据着统治地位。



二、作为工具使用

克氏针作为工具使用早期主要用于骨牵引术,如:跟骨牵引、胫骨结节牵引、股骨髁上牵引、尺骨鹰嘴牵引等。

但是,目前创伤骨科手术中克氏针的最大用途还是骨折复位后以及接骨板的临时固定。

有时候,克氏针临时固定后也可做为导针使用便于置入其它内固定物,如空心螺钉、Herbert螺钉等。

术中还可当做复位器对骨折进行撬拨复位。同时还可做为肢体力线的一种参考标志,指导术中内植物的置入和截骨矫形。


 妙用克氏针


具体来说,克氏针有以下妙用:(欢迎各位在留言区补充)

1、克氏针导向作用

将克氏针紧贴于骨表面插入,可以为后续的钻孔、置入螺钉提供导向作用,提高成功率,常用于骨盆、股骨颈、股骨髁等位置。


2、克氏针阻挡复位

常见于下肢髓内钉使用过程中,当髓内钉偏于一侧时,会引起下肢力线不正常,采用阻挡钉技术可以使髓内钉居中,从而复位骨折端。

3、克氏针撬拨复位

主要是U型克氏针,此撬拨技术是利用杠杆原理,对侧方移位的骨折端进行撬拨,前提是骨折端得充分牵开,没有骨性阻挡。

4、克氏针天鹅拉钩复位

很多撕脱骨折均可采用天鹅拉钩进行复位,尤其是切口是从骨折块的侧方显露时。

5、克氏针过线技术

穿针引线是骨科手术的基本功,运用钢丝或缝合线作捆绑固定时,使用与针头相连的小输液器管,套在2.0克氏针上,里面可以夹入一根引导线,进行引导穿过骨骼。下图为喙突下穿线,捆绑固定治疗肩锁关节脱位。

6、克氏针牵引技术

对于踝关节内翻患者,采用克氏针单侧牵引,可以纠正内翻。

7、克氏针临时固定

克氏针不仅可以对骨块进行临时固定,达到良好的复位,为置入内植入物创造环境;也可以对内固定物进行临时固定,方便下一步操作。

8、克氏针长期固定

使用克氏针代替弹性髓内钉治疗小儿以及成人骨折,同样可以取得非常好的治疗效果。

9、克氏针的阻挡作用

石墨法:对于伸肌腱止点撕脱骨折型的锤状指,利用克氏针的阻挡作用,可以将末节基底背侧的骨折块复位并卡压固定。

改良版石墨法:改良的石墨法,利用的是克氏针的弹性原理巧妙地将远位指间关节背伸,这样操作更利于骨折的愈合。

10、克氏针的支撑作用

遇到内踝骨折短缩通常需要抗滑或支撑固定,利用U型针可以起到支撑固定作用。

11、克氏针的悬吊固定作用

对于近节指基底粉碎压缩性骨折,利用U型克氏针的悬吊固定作用,可以比较好的维持骨折的高度。

12、克氏针钩固定技术

对于前交叉韧带止点骨折,采用两枚克氏针钩进行固定,再于胫骨结节处用门形钉压住克氏针尾,可以起到比较好的固定作用。

13、克氏针羊角钩技术修复伸肌腱

弯曲的克氏针被用于修复伸肌腱。首先将肌腱及缝线穿过骨隧道,当缝线穿出皮肤后就可以固定在弯曲的克氏针上面。

14、克氏针钢丝缝合技术

操作方法:先将克氏针插入双侧皮缘的真皮层内,然后用钢丝经克氏针缝合,这样操作可以分散皮缘的牵引拉力,使得创面愈合能力增强。

15、克氏针皮肤牵张术

此技术的操作方法是:将克氏针穿入双侧皮缘内,组成菱形,使用手套橡皮条进行弹性牵引,逐渐闭合创面。

16、减张固定技术

由于撕脱骨折在愈合时不能有太大的张力,否则可能会导致固定失败、骨折移位,而通过克氏针减张固定可以减小骨折端的牵位应力,促进骨折的愈合。

17、克氏针内铰链技术

对于外翻型后外侧旋转不稳的损伤,外侧副韧带尺侧束的损伤一期修复后仍然不稳的,可运用克氏针内铰链技术来增加稳定性。

18、克氏针牵引防治足下垂

小腿的骨折外伤易发生足下垂,运用克氏针与手套皮的弹性牵引技术可以预防。

19、U型钉固定细小的骨折块

对于一些特殊位置的关节面骨折块,使用U型克氏针像钉书钉一样可以将两个骨折块抱在一起,不仅不易退出,还可以将突出的骨折块压迫后复位。

20、克氏针做为外固定支架使用

2008年来自美国的学者Ruland在J Hand Surg上报道了应用克氏针制成的动态外固定支架治疗不稳定型近节指间关节骨折脱位和pilon性损伤。

2014年Tech Hand Surg报道了日本学者Mohamed Adi将Iselin技术进行改良,闭合复位骨折,经皮穿针并将克氏针在外部锁定,用来治疗Bennett骨折。

21、克氏针交锁固定

术中透视骨折复位克氏针固定后,将其中一枚克氏针折向另一枚克氏针,并绕着第二枚克氏针返回来,此时第二枚克氏针绕第一枚克氏针返折缠绕,形成相互交锁。

22、克氏针取出非骨水泥型股骨柄

埃及的Mahmoud A. Hafez医生等介绍一种利用克氏针即可取出非骨水泥型假体的方法,术中无需截骨。

使用不同尺寸的克氏针(1.0-1.8mm)插入假体-骨界面的周围。通过用克氏针沿着股骨假体的全长,在股骨假体-骨界面的周围建立出间隙,从而达到“松动”假体的目的。首先用直径小的克氏针制造出小间隙,随后再用直径更大一点的克氏针,再在股骨解剖轴线上往回敲假体。

作者总结经验:1.不推荐一次性置入全长的克氏针,而是先在一定深度的假体-骨界面周围依次建立间隙,再向假体的尾部置入;2.每次只使用一枚克氏针,避免克氏针断裂和遗留在髓腔。

23、克氏针连接空心钉固定内踝骨折

通过标准的方法切开复位内踝骨折。然后使用2枚4.0mm空心带螺纹空心拉力螺钉固定横行骨折。然后使用克氏针固定矢状位骨折。从一枚螺钉的螺钉孔中置入克氏针到相应位置,然后将克氏针尾端折弯成60°,修剪长度后通过另外一枚螺钉的螺钉孔置入骨折部位。



友情链接: