首页/创伤/胫骨平台骨折的几种螺钉固定技术,你学会了吗?/
胫骨平台骨折的几种螺钉固定技术,你学会了吗?
2022-07-28 11:06:232285浏览
胫骨平台骨折占下肢骨折的5-8%[Weimann A 2013];占全身骨折的1%。其中部分类型(如Schatzker I-III型)的骨折、开放骨折或皮肤软组织条件差者;关节镜辅助手术者等,可经皮、微创螺钉固定。

胫骨平台骨折占下肢骨折的5-8%[Weimann A 2013];占全身骨折的1%。其中部分类型(如Schatzker I-III型)的骨折、开放骨折或皮肤软组织条件差者;关节镜辅助手术者等,可经皮、微创螺钉固定。本文对胫骨平台骨折常见的几种单纯螺钉固定理念、技术进行简要汇总。

“平行固定”理念

"平行螺钉”固定,是由Schatzker于1979年提出的胫骨平台经皮、微创固定理念,适合Schatzker I-III型胫骨平台骨折的固定,特别是Schatzker I型(单纯劈裂)。平行固定可用2枚半螺纹拉力螺钉或皮质骨螺钉(“排钉”)在软骨下骨进行骨折的水平固定。

”平行螺钉”固定也适合开放或皮肤软组织条件差的其它类型胫骨平台骨折、需与外固定架进行混合固定(hybrid fixation)者。

“三角固定”理念

在“三角形稳定性”常识及“防滑/支持螺钉”理念[Toolan BC1994;Szyszkowitz R 1992;Parker PJ1999]的启发下,有学者在2枚平行螺钉固定基础上,于骨折块顶端的正常骨内再增加一枚防滑/支持(antiglide/butress)螺钉的“三角固定”理念得到了一定程度的认可。比较适合Schatzker I型骨折的经皮微创或关节镜辅助固定者。

Muller ME,et al. AO内固定原则-第2版)

但Parker PJ 等人(1999)对传统“三角固定”的生物力学研究结果显示,在2枚平行螺钉基础上再增加第3枚防滑螺钉(antiglide screw)并不增加任何固定强度。

改良三角螺钉固定

Moran E(2017)对传统“三角螺钉固定”技术进行改良,将第3枚防滑螺钉的方向朝向拉力螺钉的尖端而形成螺钉尖端汇聚,螺钉分布在侧位呈倒“品”字形进钉;正位X光片(或透视)像上螺钉呈三角形分布(如下图)。

具体固定方法:2枚带垫片、相互平行的6.5 mm半螺纹拉力螺钉(相距15 mm)垂直骨折线在距关节面7mm以下打入软骨下骨。第3枚三角固定螺钉选择带垫片的全螺纹6.5mm 松质骨螺钉,从骨折块尖端呈30°角(正位透视)打入,螺钉尖部与2枚拉力螺钉尖部汇合,第3枚螺钉起防滑、支持作用( Moran E 2017)。

“栅栏螺钉”技术

“ 栅栏螺钉”技术(Jail screw technique)的理念是在常规软骨下骨平行螺钉(排钉)下方再紧挨着加打1-2枚垂直螺钉的固定技术。

早在2006年,Petersen W 等即有类似应用报道(原文是德文)。

2013年,Weinmann 等人正式提出 “ 栅栏螺钉”技术(Jail screw technique)这个名称,并与“平行螺钉”固定进行了固定强度的比较研究。

“栅栏螺钉”的优点

 “ 栅栏螺钉"与“常规螺钉”固定有相似的生物力学强度,但“ 栅栏螺钉"有防止“常规螺钉”对松质骨的切割作用[Weinmann 2013]。

“栅栏螺钉”的固定强度

“栅栏螺钉”的固定强度及其与其它常见固定方式的生物力学比较。

技术简介

“ 栅栏螺钉”技术(Jail screw technique)是在常规软骨下骨螺钉(拉力螺钉/排钉)下方再加打1-2枚垂直螺钉的固定技术。主要针对皮肤软组织条件较差、不适合支持钢板固定的胫骨平台骨折(尤其Schatzker I-III型)的经皮微创螺钉固定或关节镜辅助微创固定者。

“栅栏螺钉”与“平行螺钉”固定的优势比较

Weinmann 等人(2013)对“ 栅栏螺钉"技术与“常规螺钉”固定技术在猪的胫骨平台骨折模型上进行了生物力学的比较研究发现:“ 栅栏螺钉"技术与“常规螺钉”固定有相似的生物力学强度,但“ 栅栏螺钉"技术有防止“常规螺钉”的松质骨切割作用。

“栅栏螺钉”与“平行螺钉”及外侧支持钢板的固定强度比较

Jordan MC等人(2016)对人工骨胫骨平台骨折模型进行上方“ 栅栏螺钉”、“常规螺钉”及“L”形buttress钢板固定方式的生物力学比较研究发现固定强度的次序:Buttress钢板>栅栏螺钉>平行螺钉

“栅栏螺钉”与改良“三角固定”的强度比较

Moran E(2017)对“ 栅栏螺钉"与“三角支持螺钉”固定及“常规螺钉”固定技术在人工骨的胫骨平台骨折模型上进行了生物力学的比较研究发现:“ 栅栏螺钉"技术与“三角支持螺钉”固定强度相当,但明显高于“常规螺钉”固定;但“ 栅栏螺钉”植入技术要求高、较“三角支持螺钉”的植入并发症高(如下图)。

“栅栏螺钉”+人工骨的强度问题

Doht S 等人(2012)模拟老年骨质疏松性胫骨平台压缩骨折模型,将高龄(平均年龄85岁)尸体骨胫骨平台骨折模型分别以单纯人工骨(磷酸钙骨水泥)、人工骨+栅栏螺钉、单纯栅栏螺钉固定分组进行生物力学比较发现:只有将“栅栏螺钉”与人工骨植骨结合应用,才可避免平台关节面的复位丢失(如下图)。

“栅栏螺钉”固定的临床案例

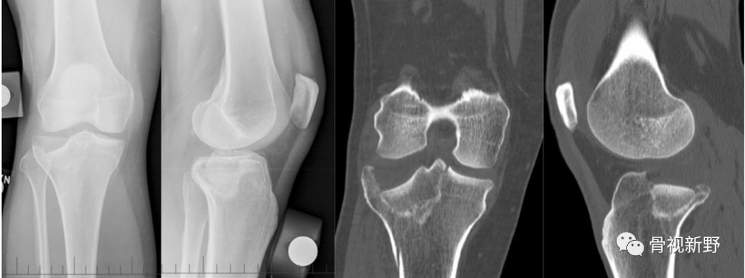
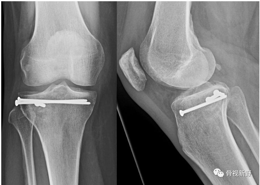
51ys, F。胫骨外侧平台骨折(Schatzker II型)

透视监测下,经皮顶棒复位塌陷的关节面,经皮在软骨下骨内打入2枚3.5-mm皮质骨螺钉作为排钉。(顶棒)骨隧道内植入8 mm *35 mm的界面螺钉(施乐辉)支撑复位的关节面。

2枚排钉和一枚前-后方向的栅栏螺钉相垂直固定。加用栅栏螺钉的目的是防止排钉对松质骨的切割。

术后6周非负重的运动,之后6周循序渐进地部分负重;术后 12月,骨折愈合;未见骨折移位、再塌陷;关节面平整,无高度丢失。

Vauclair 等人(2015)将这种栅栏螺钉+界面螺钉的组合支撑-固定技术称为“胫骨干骺端水平螺钉技术”(Metaphyseal tibia level ,MTL, screw technique),适合于骨量较好的Schatzker II、III型胫骨平台骨折的经皮微创固定。

友情链接: