首页/运动医学/MRI诊断半月板损伤的常见错误,可别误诊了!/
MRI诊断半月板损伤的常见错误,可别误诊了!
2022-07-29 10:36:455815浏览
MRI检查广泛运用到各个系统影像诊断中,在诊断膝关节半月板损伤中也起到重要手段的作用,但很多低年资或基层医生对半月板损伤的MRI阅片还不够熟悉,总感觉似是而非,难以肯定。

MRI检查广泛运用到各个系统影像诊断中,在诊断膝关节半月板损伤中也起到重要手段的作用,但很多低年资或基层医生对半月板损伤的MRI阅片还不够熟悉,总感觉似是而非,难以肯定。


外侧半月板呈“O”(红色轮廓)内侧半月板呈“C”(蓝色轮廓),后角(星号)


一、膝横韧带


横韧带是连接内、外侧半月板前角的韧带,在矢状位片上,内侧半月板前角附着部位于横韧带正前方,而外侧半月板前角位于横韧带后方。易误诊为前角撕裂。


白色箭头所标记为膝横韧带


白色箭头所指为横韧带,黑色箭头所指为内侧半月板前角,位于横韧带正后方


白色箭头所指为横韧带,外侧半月板前角位于横韧带后方


膝横韧带经常容易被误诊为半月板前角撕裂或损伤,我们需要知道有这根韧带,而且要知道它特殊的解剖位置和半月板的形态是否正常,从而与半月板前角鉴别;


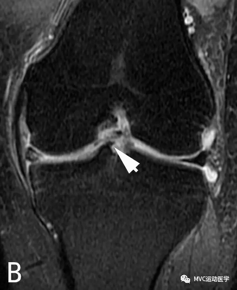
二、斜半月-半月韧带


斜半月-半月韧带起自一侧半月板前角,穿过ACL、PCL之间,止于对侧半月板后角,也常会被误诊为移位的瓣状裂或桶柄状撕裂。


为斜半月-半月韧带示意图


为桶柄状撕裂示意图



从前到后的连续冠状位脂肪抑制质子密度加权图像显示了内侧斜行韧带走行过程,从内侧半月板的前角到外侧半月板的后角。(红色箭头为正常的半月板 )(白色箭头为正常走行的斜行韧带)


尽管斜行板间韧带可以模仿桶柄撕裂影像表现,但其在交叉韧带之间走行可以将其与翻转的桶柄撕裂区分开来,特别是在半月板形态正常的情况下更能区别桶柄状撕裂。


三、半月板小骨


半月板小骨的病因尚不确定,但可能是创伤后或残留的结构,可能无症状或与局部疼痛有关。它们最常见于内侧半月板后角内;在平片上经常被误认为是游离体。在MRI能够显示半月板小骨位于半月板内,并容易误诊为半月板磨损并撕裂。



在T1加权矢状图像上,可见骨化(箭头)位于内侧半月板的后角内;


四、裙边样半月板


是指膝关节半月板内侧边缘的“皱纹”,明显时称为“”裙边样半月板或荷叶边形半月板(意思就是短裙的荷叶边等装饰);由于关节扩张和麻醉性肌肉松弛剂,最初认为它们只是关节镜检查,但偶尔在MRI上也能看到;根据经验通过改变膝关节的屈伸状态而消失。


五、外侧半月板前角

单纯外侧半月板前角撕裂并不常见,很容易与横韧带的“假性撕裂”相鉴别。外侧半月板附着区中心处本身即可能被误认为半月板撕裂。矢状位上此附着点的形状是菱形,外形上翘,常有高信号,有时类似“斑点”,通常出现于髁间窝矢状扫描层面。

假性撕裂举例

外侧半月板前角附着点在矢状位上是菱形,外形上翘,常有高信号,有时类似“斑点”,容易被误认为半月板撕裂。

六、半月板纤维化(磨损)

纤维化(磨损)通常出现于髁间窝层面的半月板游离缘,信号增高,可能被误诊为半月板损伤。

半月板游离缘磨损(黑色箭头)

纤维化的半月板形态正常。如果半月板形态异常(如离断或缩短),则考虑撕裂(放射裂或瓣状裂)。

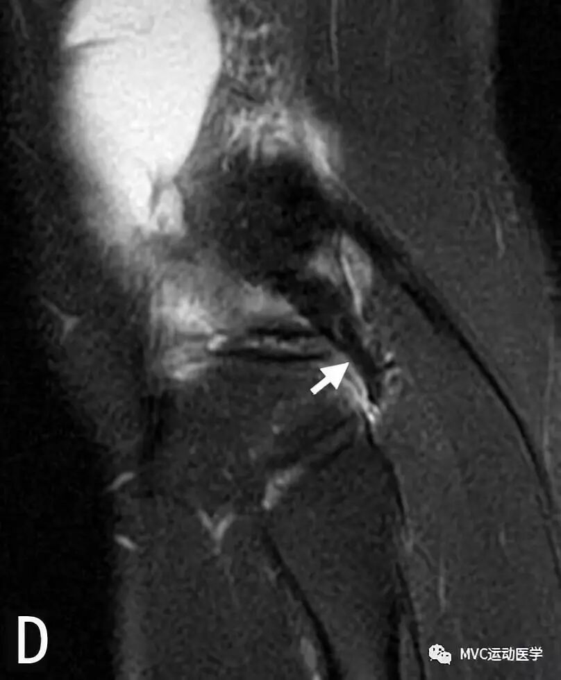
七、腘肌腱

外侧半月板后角处的腘肌腱裂孔可被误认为3度半月板撕裂信号。

腘肌腱举例

A:冠状位MRI显示腘肌腱裂孔(白色宽箭头)与腘肌腱(白色细箭头);

B:冠状位MRI显示腘肌腱(白色箭头)穿过腘肌腱裂孔;

C:矢状位MRI显示腘肌腱(白色箭头),

D:矢状位MRI显示腘肌腱(白色箭头)

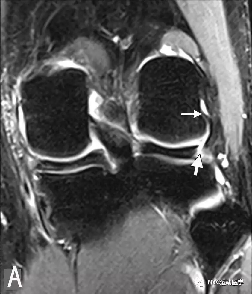
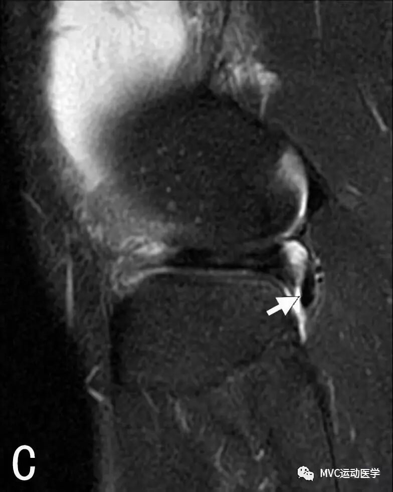
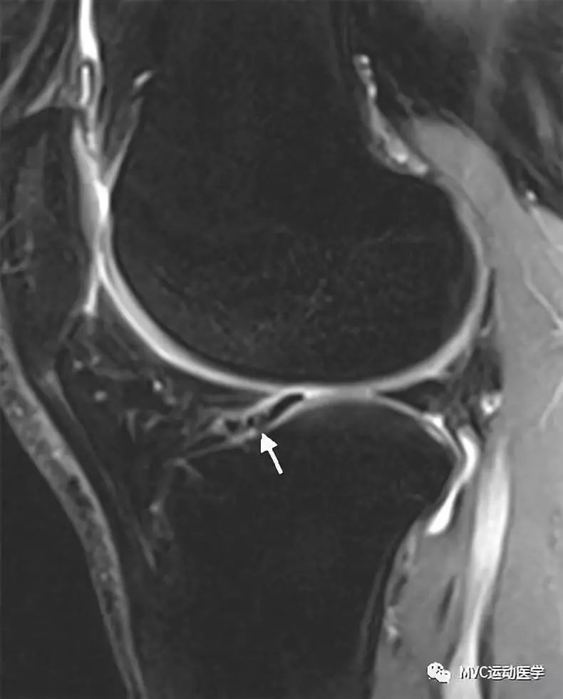
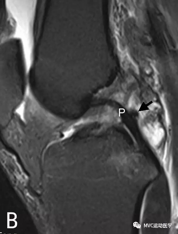
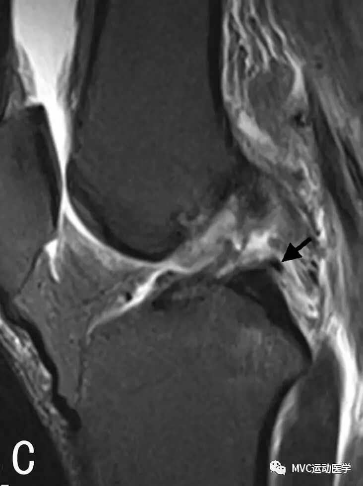
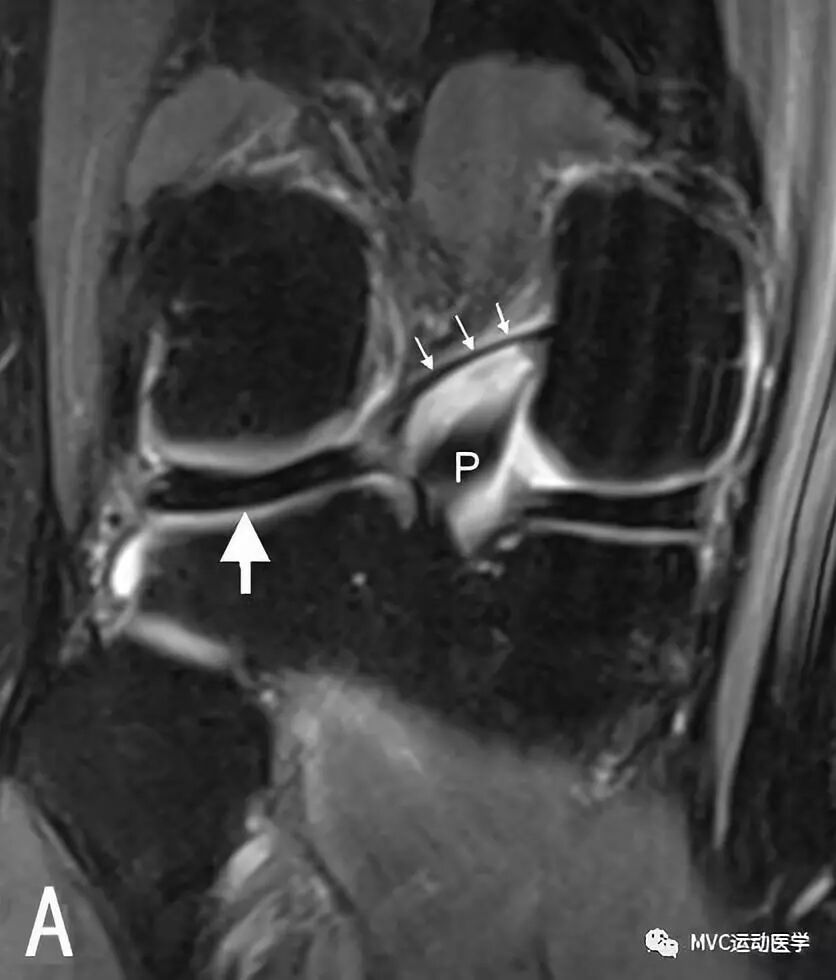
八、半月板股骨韧带

半月板股骨韧带分为两束,两束都起于外侧半月板后角,与PCL并行斜向止于PCL的股骨附着区域。Humphrey束位于PCL前方,PCL后方是Wrisberg束。Wrisberg束较为粗大,直径可达PCL的一半,出现率为74%,Humphrey束出现率为69%,两束同时出现的概率可达50%。在MRI上,Humphrey束出现率为4%,Wrisberg束出现率为80%,可同时观察到双束的仅占1%。Humphrey束在矢状位片上最易观察,也可出现在冠状位上;Wrisberg束在后冠状位上容易观察。

半月板股骨韧带举例

A:冠状位MRI显示外侧半月板后角(白色粗箭头)与Wrisberg韧带(白色细箭头),P代表后交叉韧带

B:矢状位MRI连续扫描,黑色箭头所指为Wrisberg韧带

C:矢状位MRI连续扫描,黑色箭头所指为Wrisberg韧带

D:矢状位MRI连续扫描,黑色箭头所指为Wrisberg韧带,白色箭头所指为Humphrey韧带;

E:Wrisberg韧带示意图(黑色箭头)

半月板股骨韧带的半月板附着处易与外侧半月板后角的撕裂相混淆。韧带与半月板之间有液体或脂肪填充,可在MRI表现为由前上至后下的斜行撕裂。当膝关节外旋时,半月板股骨韧带与半月板之间的间隙更加明显,Wrisberg束比Humphrey束更易被误认为是半月板撕裂。

九、斜行板间韧带

起自一侧半月板前角,穿过ACL、PCL之间,止于对侧半月板后角,也常会被误诊为移位的瓣状裂或桶柄裂。

 MRI影像显示斜行板间韧带(白色箭头)

十、假性桶柄样撕裂

常出现在外侧半月板后角的冠状扫描层面上,内侧半月板极少出现此情况。扫描层面同时包括外侧半月板体部及半月板后角,易误诊为桶柄样撕裂,在膝关节外旋时更易出现。结合矢状位相可排除桶柄样撕裂。

假性桶柄样撕裂举例

A:冠状位MRI,箭头所指为外侧半月板后角,易误诊为桶柄裂;

B:按照图中虚线所示的位置进行MRI扫描时,会出现假性桶柄样撕裂的情况

十一、半月板前角假性肥大(前角翻转)

常见于外侧半月板桶柄样撕裂。半月板后角消失,离断的半月板后角向前方移位,位于前角后方,中间填充关节液,形成半月板前角假性肥大。

半月板前角假性肥大举例

黑色箭头所指为半月板前角,白色箭头所指为撕裂的半月板向前移位

十二、真空现象

关节内气体会呈现出低信号区域,导致误诊为半月板或关节软骨损伤。

真空现象(白色箭头)举例

十三、关节囊附着

内侧半月板后角与后关节囊边缘之间的间隙可被误诊为半月板后角的垂直撕裂。

十四、半月板纤毛化

退变可因为半月板内侧缘(游离缘)的纤毛化或毛刷样改变,在MR上表现为III级信号改变。

这时,如果半月板形态没有改变,则为半月板退变所致的纤毛化。如果形态改变(如截断或变短),多为半月板撕裂。

外侧半月板后角,内有横行的高信号,类似半月板撕裂,手术证实为半月板纤毛化。

十五、板股韧带

外侧半月板后角发出一条纤维带参与PCL,在接近PCL时分为两束,分别走形于PCL的前方和后方,向上伴随PCL止于股骨内侧髁,前者称为Humphry韧带(出现率4.2%),后者称为Wrisberg韧带(出现率36.5%)

板股后韧带(Wrisberg韧带)起源于外侧半月板后缘中点,起点呈圆索状,距外侧半月板后缘内侧3cm紧贴后交叉韧带的后方,斜行向内上,止于股骨内侧髁的内侧面。

平均长度约为19.8mm~28.6mm,平均宽度为4.9mm~5.5mm,平均厚度为4.0mm~4.4mm。

左图矢状面质子密度加权像示:板股前韧带(Humphry韧带)和板股后韧带(Wrisberg韧带)的常见位置;中图示H韧带;右图示W韧带。

根据其近端附着位置不同,板股韧带可分为三型。

I型:韧带附着点在股骨内侧髁上并且与PCL完全分离(45%)

II型:板股韧带与PCL混合,且垂直走形程度减轻(31%)

III型:板股韧带与PCL下部混合,在矢状面上可见其远端增粗(21%)。

十六、半月板附着处

在半月板附着处附近有血管组织、多少不等的脂肪和滑膜组织,尤其是在内侧半月板后角处这些变异更明显。

在非切线矢状和冠状面图像上,由于这些组织位于半月板与关节囊边缘之间而易引起误判,不应与半月板撕裂混淆。

通常在T1WI和T2WI表现为脂肪或近似脂肪信号,半月板撕裂表现为高信号,近似于液体信号,脂肪印制有利于鉴别。

半月板滑膜连接处,信号增高,不应误诊为撕裂。

十七、膝外下血管

膝外下血管,沿外侧半月板前缘走形,容易将其误认为半月板边缘分离

友情链接: