首页/牙周病学/临床分享:不同类型阻生牙拔除的技巧,值得收藏!/
临床分享:不同类型阻生牙拔除的技巧,值得收藏!
2022-09-15 10:40:229442浏览
阻生牙是指由于邻牙、骨或软组织的阻碍而只能部分萌出或完全不能萌出,且以后也不能萌出的牙。

【临床分类】

1、根据牙与下颌支及第二磨牙的关系

第一类:下颌升支和第二磨牙远中面之间,有足够的间隙可以容纳阻生第三磨牙牙冠的近远中径。

第二类:升支与第二磨牙远中面间的间隙小,不能容纳阻生第三磨牙牙冠的近远中径。

第三类:阻生第三磨牙的全部或大部位于下颌升支内。

2、根据牙在颌骨内的深度

高位:牙的最高部位平行或高于牙弓合平面。

中位:牙的最高部位低于合平面,但高于第二磨牙的牙颈部。

低位:牙的最高部位低于第二磨牙的牙颈部。骨埋伏阻生(即牙全部被包埋于骨内)也属于此类。

3、根据阻生第三磨牙的长轴与第二磨牙的长轴关系

①垂直阻生;

②水平阻生;

③倒置阻生;

④近中阻生;

⑤远中阻生;

⑥颊向阻生;

⑦舌向阻生

一、近中倾斜第三磨牙

手术的难易程度:

A、B及C分类表示阻生牙的位置与第二磨牙的牙冠、牙颈部及牙根的关系。手术的难度随阻生深度的增加而增加。第Ⅰ、Ⅱ及第Ⅲ类阻生牙与第二磨牙和下颌升支之间的距离相对应。

阻生深度可通过与第二磨牙的关系(A、B、C分类)估计,同时也表明去骨量。因此,手术的原则主要取决于阻生深度。如果无须去骨或只需少量去骨,那么也可以直接拔除第三磨牙,但还需同时满足以下条件:

  • 阻生牙的牙冠必须在第二磨牙的颈部或以上。
  • 近中部分的阻力必须尽可能的小,例如:近中倾斜的角度愈小愈好。
  • 远中牙槽骨的边缘小能阻挡牙冠的脱位。
  • 冠周有足够的空间便于牙冠向远中方向脱位。
  • 牙根必须是短根、融合根或两根平行,否则必须分根
  • 牙根不进入下颌管。

术前观察阻生牙远中牙槽嵴的情况。图a中,可直接拔除;图b中,则需去除远中骨壁或分根。

去骨及分根的常规步骤

【注意事项】

1.估计阻生深度;

2.使用纺锤形的外科车针去除颊侧骨板的阻力;

3.使用上述车针沿牙体长轴分根;

4.车针末端必须到达根

【病例分析】

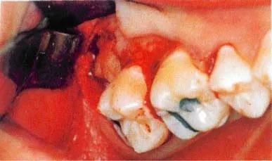
(1)病例一

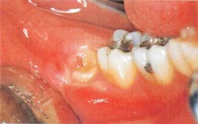
a 第Ⅱ类,b分类中位阻生。左下颌第三磨牙阻生,位于黏膜下。磨牙后区切开后,作近中切口,使用12号刀片沿牙龈扇贝状外形切透龈沟至牙槽嵴顶,避免将龈乳头切除。

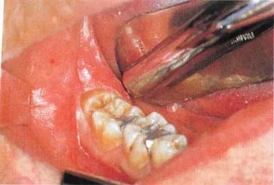
b 翻瓣后,阻生牙的𬌗面位于第二磨牙颈部及其牙槽嵴顶均清晰可见。切割牙体前先去除舌侧骨板以保护软组织。

c 使用纺锤形的车针( Komet - H162A.314),显露其最大周径至釉牙骨质界。车针末端应进入牙槽窝内壁。

d 分牙前应认真确定分牙沟的位置:沿牙体长轴垂直𬌗面至根分叉。用上述的车针分牙,切割至牙冠舌侧时应格外小心。

e 分牙已基本完成,远中牙片挺松后即可顺利取出。

f 远中牙片取出后即可拔除近中部分。术后应注意牙槽嵴顶的高度。保留颊侧骨板很重要,它有利于牙槽窝和第二磨牙牙槽骨的完全重建。

g 将皮瓣复位后,磨牙后区缝合2针,此处使用的是不可吸收的聚硅酮丝线(4—0)。第一、二磨牙之间缝合1针,以维持楔状隙内龈乳头的位置并确保迅速的愈合。轻压组织至少2 min,使骨膜和骨皮质、牙龈和牙骨质粘连复位。

h 只要有根分叉且近中倾斜程度不大、车针能够顺利进入,沿牙体长轴进行的正中切割就能顺利进行。

(2)病例二

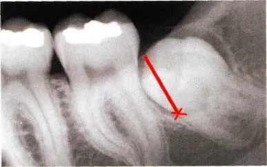
a下颌第三磨牙阻生。

代表牙槽窝深度的红线表明从牙槽嵴顶到釉牙骨质界间在近中颊角方向上的距离。考虑到患者的年龄,阻生牙牙槽窝的近中骨壁较容易以第二磨牙牙根旁的硬骨板为基础分化再生。

b 阻生牙𬌗面上覆盖的软组织较完整,牙槽窝与口腔不相通。切口起点位于颞肌嵴黏膜,前庭沟的舌侧,朝向距离第二磨牙远中面15mm外缘处向前切开。

c 翻开黏骨膜瓣显露牙槽嵴。图中已将黏骨膜瓣翻开,在舌侧开窗去骨显露阻生牙的远中颊尖,再通过装在机头上的外科圆钻去除覆盖于𬌗面的骨质。

d 将牙冠颊侧大部分显露至釉牙骨质界时方能较全面地认识该阻生牙在牙槽窝内的位置。根尖片只能显示该阻生牙在𬌗面的投影而不能显示其颊舌向倾斜的情况。在低位舌侧近中阻生时,阻生牙同时与邻牙牙根的远中壁和舌侧骨板相接触,故舌侧骨板必然较为薄弱甚至被穿透(出现骨开窗)。

e 由于根分叉较小且较低,第二磨牙牙冠的位置阻碍了车针的正确安放,并且有破坏舌侧骨板的危险。在这种情况下,临床医师从近中颊角开始切割近中部分牙体。

f 阻生牙仍被远中牙槽嵴所阻挡,故去除远中部分牙冠,使牙顺利向远中颊向脱位。

g 检查牙槽窝,用Lucas双头刮匙及小的骨钳去除牙囊组织碎片。缝合黏骨膜瓣前用生理盐水冲洗拔牙窝

h 该阻生牙的拔除有以下三步:①去骨②解除近中阻力③水平第三磨牙解除远中阻力。因此顺着牙根弯曲方向可顺利拔除该牙又不会对牙周组织产生破坏。

二、水平第三磨牙

拔除左下颌水平阻生的第三磨牙的示意图

【注意事项】

1.以近中颈部水平面为参照测量阻生深度;

2.使用长圆钻去除远中骨壁;

3.接着用装在反角机头上的纺锤形的车针去骨显露牙冠的最大周径;

4.使用长的纺锤形车针分根,然后用自挺挺松牙根;

5.用裂钻制备一个切迹(红箭头所指),便于远中根的顺利脱位;

6.顺着近中根的弯曲方向掏出近中根

切割牙冠

a.张口角较小时,即使横断牙体后牙冠仍然受阻;

b.张口度足够大时,将车针朝向第二磨牙牙根方向横断牙体会更理想;

c.若为垂直横断牙体,必须扩大切割沟以便于牙片向远中方向的脱位

骨的因素决定手术的难易程度。随着阻生牙在颌骨体内阻生深度的增加(A、B及C分类)手术的难度增加。第Ⅰ、Ⅱ及第Ⅲ类阻生分类的根据是第二磨牙和下颌升支之间的距离。

女性患者,40岁。第Ⅰ类,A分类。右下颌第三磨牙阻生,口内可见部分牙冠。黏骨膜瓣切口设计为:远中切口由距离第二磨牙15 mm或更多处开始向前切开,颊侧切口不超过第二磨牙。

使用手机上的圆钻显露牙冠最大周径,远中方向显露至釉牙骨质界,颊侧显露至近中颈部。

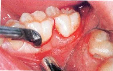
用缝线穿过舌侧软组织并将其拉向舌侧,以避免其受损并保证术区视野清晰。切割牙冠前先将牙根挺松。图示为用合适的牙挺楔入挺松的牙根下面。

尽管事先已挺松牙根,但仍无法顺利掏出。于是用纺锤形车针扩大牙槽窝,操作时应紧贴牙槽窝内壁。拔出牙根后可见根尖肥大。这通常与牙骨质增生有关,故不能通过牙挺施以暴力而拔除。术者应尽量避免折裂牙槽窝骨壁。

三、垂直第三磨牙

骨的因素决定手术的难易程度。随着阻生牙在颌骨体内阻生深度的增加(A、B及C分类)手术的难度也增加。第Ⅰ、II及第Ⅲ类阻生分类的根据是第二磨牙和下颌升支之间的距离。

切割牙体的过程示意

【注意事项】

1.以远中釉牙骨质界为参照估计具最大阻生深度;

2.用装在机头上的圆钻去除远中骨质以显露阻生牙颌面;

3.显露牙冠最大周径后,将纺锤形车针指向阻生深度最人的部分(牙颈部的远中部分)切割牙冠;

4.选用合适的牙挺挺出远中部分牙片;

5.以近中或远中牙槽嵴顶为支点挺出牙体;

6.需要分根时(根分叉较大或二根相向弯曲),朝着根分叉方向切割牙冠

女性患者,20岁。右下颌第三磨牙垂直阻生,根尖孔未闭合。

磨牙后区的龈组织较少且无明显的炎症

切开覆盖于𬌗面的黏膜组织显露出𬌗面。用合适的牙挺试图挺出该牙但未获成功。

由于需要分根,故用纺锤形车针沿着牙长轴制备出切割沟,然后用合适的牙挺分开牙冠

先顺利地取出近中根,并未破坏皮质骨的边缘

将远中根往近中方向脱位

仔细检查拔牙窝并刮除牙囊组织

牙根形态(两根相向)是该牙不能顺利脱位的主要原因。若使用牙钳暴力拔除该牙则会造成断根或牙槽突骨板的折断。

四、远中倾斜第三磨牙

手术的难易程度主要取决于骨的因素。手术的难度随埋伏深度的增加而增加。第Ⅰ、Ⅱ及第Ⅲ类阻生牙与第二磨牙和下颌升支之间的距离相对应。

部分远中阻生的左下颌第三磨牙的拔除步骤:

1.以阻生牙远中的釉骨质文界处为参照估计其最大埋伏深度;

2.用装在机头上的圆钻解除远中骨阻力,显露出阻生牙的𬌗面,然后用同样的圆钻解除牙冠最大周径以上的横向骨阻力;

3.使用纺锤形的车针朝向埋伏最深的区域(远中面的颈部)切割牙冠;

4.用合适的牙挺能顺利地挺裂牙冠井挺出牙片;

5.用装在反角机头上的纺锤形的车针分根;

6.先取出近中根,然后往远中方向取出远中根

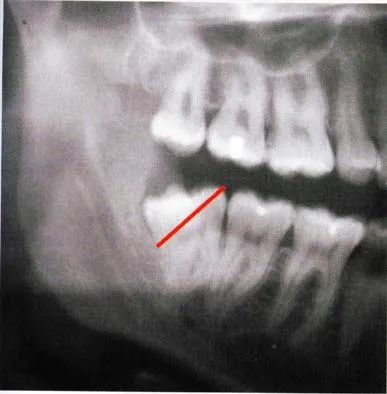
全颌曲面断层×线片。切割牙冠时应经过阻生牙远中面的牙颈部的釉牙骨质交界处

下颌升支前缘的骨吸收区有利于牙片的取出

去除颊侧部分骨阻力后,用装在反角机头上的纺锤形车针切割牙冠。用柔韧的小拉钩保护舌侧的黏骨膜

该病例也可不切割牙冠而拔除,拔牙时去除了牙根间隔。

五、手术方法

为了获得到上颌结节较好的手术入路需要翻起较大的黏骨膜瓣。若术区暴露充分,在第二磨牙后的颊侧去骨前应将黏骨膜瓣翻起,这样可以较好地控制术中的出血。若采用适当的拉钩,如大而薄且柔韧性好的拉钩,能更好地保护黏骨膜瓣。


术者应根据手术的不同阶段,控制好不同设计的黏骨膜瓣的位置。拉钩的顶端拉向术区上方的骨面。 

  (一)切口

  1.磨牙后切口

使用12号刀片切开上颌结节:由翼上颌沟开始沿着牙弓的弧形向前切至第二磨牙远中面的中央。若阻生牙埋伏位置较深,切口起点的位置可稍偏向颊侧数个毫米,以便于更好地翻瓣及显露上颌结节。

  2.前庭沟延长切口

使用12号刀片由后往前做沟内切口:从第二磨牙远中腭角开始经过磨牙后切口的终点,循着第二磨牙的颊侧龈沟前行,止于第二前磨牙的远中颊角,注意沿牙间乳头外形而防止将乳头切除。该沟内切口的长度可保证在最大埋伏深度的阻生牙时可翻起足够的黏骨膜瓣以提供手术入路。

黏骨膜瓣的设计。作磨牙后切口(AA)时常用弯刀片由翼上颌沟开始向前切至第二磨牙远中面中央的龈乳头。沟内切口(BC)止于第二前磨牙的远中颊角

磨牙后切口通常由翼上颌沟底开始循着牙弓的弧形切开

若磨牙后切口起点的位置偏向颊侧则可将黏骨膜瓣翻得更高,但上颌结节的后部的显露会较少

在多数情况下,延长到前磨牙的沟内切口可提供足够的手术入路。一般用一种窄的拉钩的末端(柔软圆滑的一端)可较好地保护该黏骨膜瓣

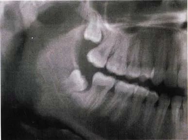
a右上颌第三磨牙阻生,C分类伴轻度近中倾斜。牙囊组织的增厚有利于阻生牙的脱位。第二磨牙的牙槽窝骨壁未发生吸收。由于牙根已基本发育完成,故牙无法继续萌出。通过×线照片无法判断腭根存在与否。注意阻生牙于上颌窦之间的关系

b将磨牙后切口起点的位置稍偏向颊侧,可以更容易地翻起黏骨膜瓣。若术者认为不需要大量去骨的话,则不必做垂直切口,但术中如果需要也可再补作该切口

c翻起磨牙间的龈乳头后,再用钝的牙挺从前往后得翻起龈边缘,在翻起黏骨膜瓣时要格外小心(注意不要使其撕裂)。骨壁由于牙囊组织增厚的缘故而变薄。显露牙冠的过程较为顺利

d根分叉的存在且牙根基本发育完成就有可能意味这不可预料的术中并发症。尽管牙冠已有一定的松动度,但阻生牙仍无法脱位。为避免牙脱位时引起上颔结节的骨折,故需要去除更多的远中骨质

3.垂直切口(可选)

若埋伏程度较深,则需要剥离较大面积的骨膜。在沟内切口的末端再做垂直切口有利于骨膜的剥离和黏骨膜瓣的翻起,同时也可避免龈组织的撕裂。做垂直切口时可用15号刀片从前庭沟切向磨牙与前磨牙之间的楔状隙。

可在拔牙的过程中再做垂直切口:显露阻生牙时需去骨以增加牙的松动度,当去骨的范围较术前计划的要大的情况下再做垂直切口。

  (二)环形去骨

牙冠最大周径应允分显露以利于阻生牙的顺利脱位,否则易引起较大的骨压力而引起以下并发症:阻生牙断根、上颌结节骨板折断、阻生牙远中易位

使用装在机头上的长的穿孔圈钻去除骨皮质。当转速较慢时,术者可精确地控制去骨的量。去骨时应通过不施加压力地上下移动车针而去除上颌结节的骨皮质。

 若手术入路和视野受到限制,使用圆钻会比纺锤形的车针安全,尽管后者的切割深度较大。术区难于直视,但术者可通过切割骨密质和骨松质的不同手感来判断是否已经切割到牙体组织。

使用车针去除颊侧及𬌗面的骨质显露出牙冠后,使用锐利的车针扩大牙槽窝的远中壁超过釉牙骨质交界处。此时阻生牙多向远中颊侧顺利脱位。

  (三)拔除阻生牙

拔除上颌第三磨牙一般不需要分根。去除颊侧骨质和扩大牙槽窝的远中壁至牙根后使可尝试挺出该牙。因其紧邻解剖腔隙,尝试挺出该牙时切忌将阻生牙推向牙根或远中方向。

若阻生牙颊向脱位,则可嘱患者紧咬牙以便术者更方便地使用牙挺,同时也将患者咽下拔出的阻生牙的风险降至最低。

使用拔除上颌第三磨牙专用的枪刺状牙钳夹紧牙冠完成脱位动作。牙根的形态常无法预知,通过使用牙钳来估计牙牵引脱位的方向较为可取。

使用血管钳币和 Lucas刮匙将牙囊碎片清除干净。用人直径的圆钻修整牙槽骨的游离缘。

  (四)缝合

1、生理盐水冲洗纤槽窝后将黏骨膜瓣复位

术者应凭借手指的触诊确定没用锐利的骨尖后方能关闭拔牙窝。由于血凝块多能较好的保护,故拔除上颌第三磨牙的术后并发症较少见。

2、先缝合瓣的近中部分

先用2针缝合垂直切口,然后单独缝合1针将龈乳头固定回楔状隙。瓣的远中部分用纱布压迫止血后间断缝合2针(用不可吸收的缝线合18mm的缝针较为可取)。术后8 d拆线。

友情链接: