首页/口腔种植/口腔种植精准植入,满分技巧荐读!/
口腔种植精准植入,满分技巧荐读!
2022-09-26 10:27:264475浏览
初行种植的医师在实际操作过程中往往出现种偏导致植体位置不理想,为了更好地达到理想植入位点,可学习精准植入的技巧并注意细节上的问题,本篇为大家进行了总结。

01 单颗后牙植入标准流程

单颗后牙植入步骤,主要分以下7步:

1、切开翻瓣

2、定位

3、逐级备洞

4、植入种植体

5、对位缝合

6、术后影像学检查

7、术后注意事项

细节注意:

1、切开翻瓣时要注意切口应在角化龈范围内,骨面若有肉芽组织需要去除干凈,骨面不平整的情况用球钻合理修平。

2、定位时注意观察角度,应从正颊侧观察,用手机时注意手腕要稳。

3、逐级备洞的备洞深度可以比预计种植体深1mm,需避开重要解剖结构,直上直下提拉机头,更换钻针应不断使用平行杆复查方向。

4、植入种植体注意保持种植体向上,避免松动脱落, 采用慢速手机植入或手动植入,植入过程中应辅以外力保证种植体按照预想角度植入,避免过大扭矩。

02 单颗后牙的理想植入位点

 (一)从颊舌向来看,理想定位于前后邻牙的中央窝连线上。

(二)近远中向来看,种植体定位应平分邻牙外形高点间的缺隙。

(3)定位后平行杆轴向应指向对颌牙功能尖的功能斜面。

按这标准植入种植体可以使种植体长轴与理想的咬合力方向一致,患者咀嚼时咬合力可沿着种植体传递到骨内,避免侧向力的不良影响,理想位点是基于前后牙咬合和轴向均正常的情况下,如有邻牙明显倾斜,扭转则按具体情况调整。

03 单颗前牙植入位点

三二原则:

1、即刻种植后,唇舌方向上种植体颈部与拔牙窝骨壁之间的间隙与唇侧骨板的厚度之和至少2mm。2、垂直方向上种植体平台位于龈下3mm,范围波动在2.5-3.5mm是可以接受的。种植体平台过深或过浅增加美学风险,导致种植体暴露。前牙种植体颈部的位置应位于邻牙或理想种植体龈缘线的根方3~4mm,当种植体肩台与龈缘或邻牙釉牙骨质界之间的距离<2mm时,种植体的植入深度不足,种植体上部修复体与邻牙的形态难以协调。

04 常见失误

(一)后牙定位偏远中

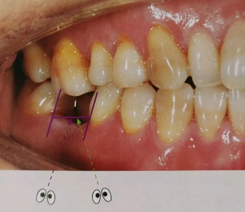
因为医师的视觉偏差,存在从前向后的角度偏倚,不同的观察角度会对种植定位产生影响,我们最好从正颊侧观察。

(图中紫色线目标为正颊侧观察 绿色线则为颊侧偏前方观察)

若以右前方观察会误以为钻针的位置定位偏近中,而图中蓝色箭头所示位点会误以为是正中位点, 若采用正颊侧观察,钻针已经是正中位点。为了做到正颊侧观察这一点,需要医师和助手相互合作,助手尽量牵拉口角,充分提供良好的视野,医师的体位就显得尤其重要。

1、合适的体位

1区:术者位于患者9点方向,患者头稍偏左侧

2区:术者位于患者1点位置,患者头偏右

3区:术者位于患者1点-2点,位置患者头稍偏右

4区:术者位于患者9点位置,转12点位置备洞,患者头稍偏左侧

上下前牙区:术者位于患者12点方向

在进行种植的关键步骤(定位,平行杆检查,种植体植入)时,为了更好的观察视野,医师可微前倾身体,调整患者头位,从正颊侧观察,在颊侧确认钻针位置后保持手机不动而术者改变体位,从患者正前方校正钻针是否在中央窝连线上,三维角度把握植入位点。

2、后牙定位偏远中纠正方法

用具有侧向切割作用的钻头向近中扩展已备洞形,使洞口由圆形变成近远中向椭圆形,此时椭圆中心应与理想植体洞形中心重叠。换用更大的扩孔钻继续扩孔,扩孔后用平行杆检查方向和位置纠正定位偏差。

注意种植窝扩展成椭圆形后,下一级钻针进入时远中阻力更小,钻孔时容易偏远中,因此适当过矫正,多向近中拉一些,避免钻针仍向原来偏离的位置滑动。若定位偏离远中过多,目测与理想植入窝洞无重叠,则需重新定位。

关于远中游离缺失病例,其缺乏远中牙齿参考,种歪了冠方修复体就做成悬臂结构, 不利于后牙咬合力传导,增加水平性食物嵌塞的可能性, 长期效果不好,那如何将种植位点放在近远中向较为合适的位置呢?

(人为提供一个远中参考点)

在种植术中做切口时,可参照对侧同名牙尺寸,获得假想的牙冠近远中径,在假想牙冠远中边缘位置做一个小的垂直切口作为远中止点标志。这样既可以在术区远中建立参考点,又可在定位时更容易定在近远中中心的位置,从而更好地植入种植体。

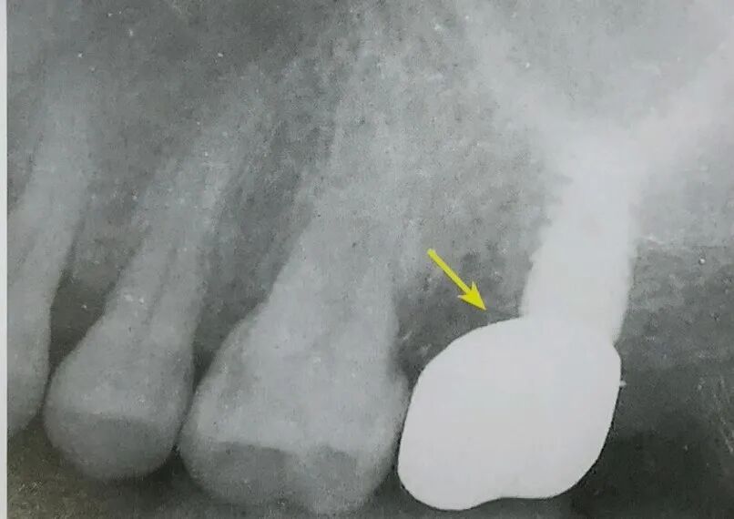
(二)定位偏颊

因为翻瓣时未将腭侧瓣完全翻开,错误估计腭侧骨边缘的位置,导致定位偏颊,最终出现种植体的颊侧螺纹暴露。

如何避免:翻瓣范围足够大,保证完全暴露术区,用3-0丝线牵拉颊,腭瓣,暴露牙槽骨颊舌侧边界,再做定位步骤,定位后发现偏颊,一样可以用侧向切割钻向定位孔的舌侧扩展修整成颊舌向椭圆形,使其中心位于中央窝连线上,再用下一级扩孔钻扩孔并用对应平行杆再次检查方向。

05 连续多颗牙种植手术中的定位偏差

(一)连续定位的技巧

要遵守安全距离原则——种植体与种植体之间至少间隔3mm的距离,种植体与天然牙至少1.5mm,避免种植体周围骨吸收。如果种植体与天然牙少于1.5mm,会损伤牙周组织的附着,引起龈乳头的退缩或缺损,如果种植体与种植体之间小于3mm的距离,则种植体间的骨水平会根向吸收,出现牙龈不足或缺损,这种情况在薄而呈孤形的牙周类型中更容易发生。

4.0的种植体与天然牙的距离计算:1.5+4.0/2(近中种植体的半径)=3.5 ≈4。

两颗种植体轴心之间的距离计算:4.0/2(近中种植体的半径)+3+5.0/2(远中种植体的半径)=7.5 ≈8。在这种情况下,可以完成近远中径为8mm的两颗前磨牙种植修复。

(二)如何选择植体直径

如果4,5缺失,而3与6之间只有15mm距离,该如何选择植体直径呢?15-(安全距离)=15-3-1.5x2=9  所以可以选4mm和4.5mm各一个或两个4mm的,这样可以做到术中操作时游刃有余,保证植体之间和植体与天然牙之间都留有一定的安全距离。

(三)两颗种植体轴心之间的距离计算方法

比如缺14,15,16:8/2(半个第一前磨牙的冠宽)+8(一个第二前磨牙的冠宽)+10/2(半个磨牙)=17mm。那我们需要知道正常牙冠的冠宽(近远中外形高点连线的水平距离),为了方便记忆,前磨牙记8mm ,磨牙记10mm。比如18mm的间隙修复一颗前磨牙5和一颗磨牙6,如果选择4mm和5mm的植体修复,按之前的公式来算:

第一颗植体位置:1.5+2=3.5≈4

第二颗植体距离第一颗植体位置:4.0/2(近中种植体的半径)+3+5.0/2(远中种植体的半径)=7.5 ≈8这样的话,第二颗种植牙的牙冠远中会形成悬臂,由此可见公式不是万能的,如果间隙很大,那就要把远中的植体向远中挪,避免牙冠形成悬臂结构, 那该挪多少才合适呢?

按刚学的两颗种植体轴心之间的距离计算方法:8/2(半个前磨牙的冠宽)+10/2 (半个磨牙)=9mm;9-8=1,因此远中的植体向远中挪1mm即可。连续多颗牙种植是容易定位发生偏差,所以我们可以用一些辅助定位的方法,比如种植手术导板,远中纵形辅助切口, 椭圆形平行杆,三脚架平行杆和种植体间距尺等等。

06 备洞过程的轴向偏差

(一)原因

1、种植备孔时医师注意力放在备孔的刻度而忽略了钻针方向。2、错误的手腕动作。3、体位(视线方向偏斜)。

(二)手腕动作

在提拉钻针的过程中应采用软支点,保持手腕不动,用整个前臂的上下运动来使钻针沿其预定的长轴方向做上下提拉动作。

07 植入过程中的轴向偏差

前牙即刻种植体冠方常偏唇侧,原因是腭侧牙槽骨较多,唇侧只有根方余留部分牙槽骨,植入时受到向唇侧的阻力,应向腭侧加力抵抗此阻力,防止轴向偏唇。

(一)可采取以下方法

1、先用牙周探针探明腭侧骨方向,无论是扩孔还是种植体植入都要有意识地向腭侧加力,紧贴腭侧骨扩孔和植入,保持钻针的轴向稳定,克服向唇侧偏移的力量。

2、每次扩孔后都放导向杆或扩孔钻去观察唇侧是否有足够间隙,种植体植入后也要看唇侧的间隙, 若预判间隙不够则早期扩孔改向。

3、使用根形种植体,它可以减少初期旋入种植体时受到的腭侧阻力,而且更容易获得初期稳定性,一定程度上避免牙槽窝底部穿孔和牙槽突骨板断裂的发生。后牙的颊舌侧也一样,若是舌厚颊薄,也要有抵抗舌侧阻力的意识。

(二)只存在轴向偏差时的改向方法

可用尖端切割作用的钻针按理想方向备孔并对种植窝轴向改向修正,改向后平行杆轴向应指向对颌牙功能尖的功能斜面。

(三)如果最后一次备孔才出现轴向偏差

用手动改向的方法,一只手紧握扭矩板手,另一只手对种植体向正确方向加力。但有风险,可能降低植体初期稳定性。

友情链接: