首页/关节/切开复位钢丝固定和异体植骨治疗髋关节置换术后大转子骨折合并溶骨性病变!/
切开复位钢丝固定和异体植骨治疗髋关节置换术后大转子骨折合并溶骨性病变!
2022-10-20 10:43:021232浏览
大粗隆骨折伴溶骨性病变是一个日益普遍的问题,一些研究者建议非手术治疗,使用拐杖和限制负重。还有人建议在翻修前使用外展矫形器3个月以促进骨折愈合。

溶骨性病变引起的大粗隆骨折可能是全髋关节置换术后的晚期并发症。对于这种复杂并发症的最佳治疗方法仍然存在争议。大粗隆骨折伴溶骨性病变是一个日益普遍的问题,一些研究者建议非手术治疗,使用拐杖和限制负重。还有人建议在翻修前使用外展矫形器3个月以促进骨折愈合。一些作者建议,继发于聚乙烯磨损碎屑的溶骨必须手术治疗,特别是如果溶骨病变很大,只剩下大转子的贝壳状皮质。


钢丝固定和异体植骨


许多固定技术用于处理全髋关节置换术中的骨折,包括钢板、钢丝或钢缆。股骨粗隆间钢板是股骨假体周围骨折的常用固定方法,涉及大转子骨折,其结果各不相同。本文介绍Jun-Wen Wang等人切开复位内钢丝固定和异体植骨治疗大转子骨折合并溶骨性病。


适应症和禁忌症


适应症:大粗隆切开复位钢丝内固定的适应证是急性骨折(持续时间小于3个月),通过溶骨性病变合并过度的聚乙烯磨损和髋臼假体松动。该手术可应用于其他不需要翻修髋臼假体的情况,如大转子急性骨折有移位但无骨溶解,或大转子骨折有骨溶解但不需要翻修假体。然而,如果X线片上有明显的聚乙烯磨损,建议同时检查髋臼假体。


禁忌症:该手术的禁忌症包括:(1)股骨近端广泛骨溶解,骨质丢失,需要股骨近端置换;(2)全髋关节植入物感染性松动。


这一手术的相对禁忌症包括:(1)大转子慢性不愈合骨折伴大范围移位的骨折碎片;(2)小移位的大粗隆骨折,无骨溶解。对于骨折分离较广的大粗隆间慢性骨不连,采用较坚固的固定装置加自体骨移植较少钢丝固定加同种异体骨植骨好。对于没有骨溶解的微小移位的大转子骨折,非负重的非手术治疗通常会导致骨折愈合。


手术技术


图1:术中左髋部照片,患者的溶骨性病变导致大粗隆骨折,在股外侧做倒L形切开后,股骨粗隆下区域的外侧皮质暴露,并在清理纤维组织后清晰地显示骨折部位。B:溶骨性病变彻底清除后,大转子和小转子的巨大缺损清晰可见。


图2:说明大转子张力带钢丝固定技术图。A和B:髋关节正位和侧位,显示两根钢丝穿过股骨外侧皮质的钻孔,位于溶骨性病变下方远端,上方大粗隆尖端,呈八字形。C和D:髋关节正位和侧位,显示8字形钢丝在扭转前的位置,而助手使用复位钳将大转子的碎片重新接近股骨近端。E和F:髋关节正位和侧位,显示用颗粒状同种异体骨填充缺损处并用钢丝紧紧缠绕后,大转子重新附着。




图3:术中照片显示,大转子骨折合并巨大的溶骨性病变(见图1),在用同种异体骨 Q0 填充缺损处并紧紧扭转八字形钢丝后,骨折复位良好。采用同种异体结构移植物修复小粗隆缺损区。

图4:A和B图示大转子斜向环扎钢丝固定图。髋关节正位图(A)和侧位图(B)显示一根金属丝绕过大转子和小转子,用于固定大转子骨折并大转子和小转子骨溶解,然后用颗粒状同种异体骨移植充分填充溶骨病变。

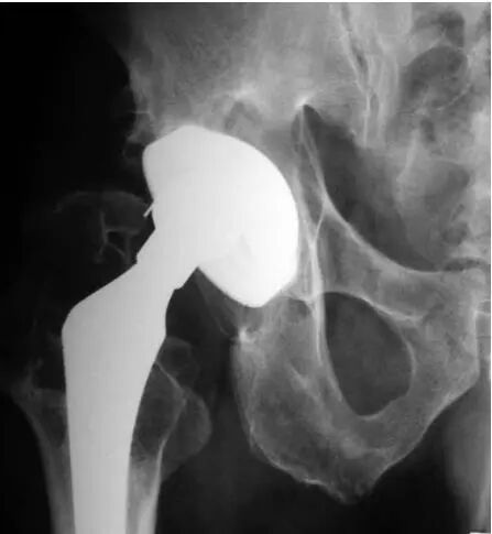
图5:A和B,一名57岁女性的左髋部X光片。A:无骨水泥全髋关节置换术后7年的正位X线片显示,由于聚乙烯磨损,股骨头关节偏心,大转子移位骨折并伴有溶骨性病变(箭头)。B:X线片,髋臼假体翻修8年后,用双张力带钢丝固定大粗隆并植入同种异体骨,显示大粗隆良好愈合和同种异体骨融合。


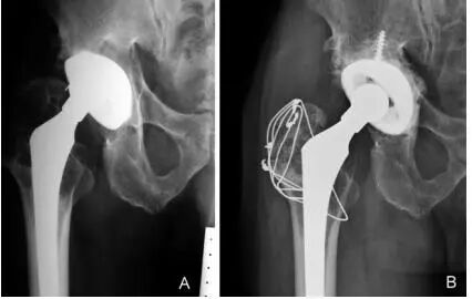
图6:A和B,一位69岁男性假体周围骨盆骨溶解,无骨水泥全髋关节置换术后12年的大转子和小粗隆的右髋位X线片。A:翻修手术前的x光片。B组:髋臼假体翻修一年后行大转子切开复位内固定,2根张力带钢丝和1根斜环扎钢丝,辅以异体骨移植,显示大转子骨折愈合。



关键点


1.钢丝固定必须在完成翻修和髋关节假体复位后进行

2.股骨外侧皮质的前后方钻孔应位于溶骨性病变的远侧,以避免切开骨质。穿过大转子上缘的钢丝必须放置在离大转子尖端足够深的位置。

3.8字钢丝固定前,应将同种异体骨紧密地包裹在溶骨性病变的骨床中。如果病变较大且皮质断裂,或小粗隆伴有病变,则需要用斜向环扎钢丝进一步固定大粗隆至小粗隆。


4.术后护理是关键。必须告知患者,至少三个月的保护性负重和外展矫形器的使用对于骨折的愈合是必要的。如果溶骨性病变较大和/或大粗隆皮质有缺陷,则可能需要较长时间的制动。无论是积极的外展或加强练习,都不应允许,直到骨折愈合的放射检查。


文献

1.Wang Jun-Wen,Chen Liang-Kuang,Chen Chin-En,Surgical treatment of fractures of the greater trochanter associated with osteolytic lesions. Surgical technique.[J] .J Bone Joint Surg Am, 2006, null: 250-8.


2.Wang Jun-Wen,Chen Liang-Kuang,Chen Chin-En,Surgical treatment of fractures of the greater trochanter associated with osteolytic lesions.[J] .J Bone Joint Surg Am, 2005, 87: 2724-2728.

友情链接: