首页/牙周病学/做好智齿根部阻力分析,临床操作不迷糊!/
做好智齿根部阻力分析,临床操作不迷糊!
2022-11-07 10:26:042494浏览
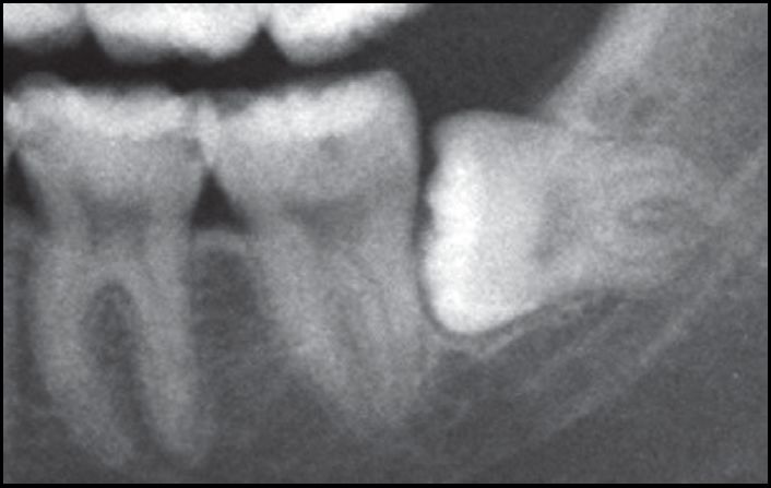
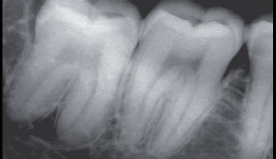
根部阻力亦可称根部骨阻力或牙根阻力,其主要根据X线片分析,阻力大小与牙位、牙根数目、牙根形态、根尖形态、根周骨组织情况有关。

根部阻力

根部阻力亦可称根部骨阻力或牙根阻力,其主要根据X线片分析,阻力大小与牙位、牙根数目、牙根形态、根尖形态、根周骨组织情况有关。

牙根阻力以多根牙、根分歧过大、特长根、U形根、牙颈部倒凹大者阻力较大根尖区以近中弯曲、多向弯曲、根尖肥大者牙根阻力较大。

根部阻力较大者的智齿形态

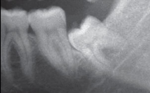
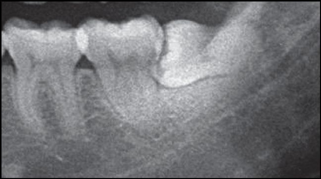
根部阻力较小的智齿形态

单根牙、根分叉不大者、合并根、融合根、特短根、锥形根阻力较小。若根尖区向远中弯曲、无弯曲或根尖未形成,则阻力也较小。

根周骨阻力以骨质增生和牙根有骨粘连者阻力较大,根周骨质疏松、有炎症性骨吸收者阻力较小。

正确分析阻生智齿阻力来源

综上所述,拔牙时的阻力主要为邻牙阻力、冠部阻力、根部阻力。有的阻生智齿可同时存在邻牙阻力、冠部阻力、根部阻力。

阻力存在的不同情况

A.邻牙阻力

B.远中冠部阻力

C.根肥大根部阻力大

D.邻牙阻力、冠部阻力和根部阻力同时存在

阻生智齿的阻力分析并非完全可靠。

即使是有经验的医师,也只能是在多数情况下分析正确,而少数情况下分析结果可能不符合实际。有时术前分析有邻牙或骨阻力者,术中却顺利挺出,而有时术前认为阻力不大者,拔牙时却很难拔出,这是因为术前X线片只能显示其概况。除ⅹ线片所显示的情况外,还需考虑其他因素如患者年龄、性别、邻牙的形态位置是否为特殊位置阻生智齿、椅位高低、医师技术水平熟练程度、用挺姿势、器械质量、插挺部位、用力方式等。临床医师还应该结合临床检查以及临床经验设计出有效的拔除方法。一般来说,如果仅用牙挺或牙钳就能拔除者,可以认为阻力不大或无阻力。需用分牙或去骨拔除者,认为有阻力或阻力较大。

阻生智齿拔除虽然情况比较复杂,但还是有一定规律可以遵循。

术前一定要进行阻力分析,根据阻力情况设计拔除的方法。有关阻生智齿拔除的书籍都会提及如何进行拔牙设计,但均是以翻瓣凿骨为出发点去分析阻力并设计相应的拔除方法,而涡轮钻拔除法与翻瓣凿骨法相比,不仅拔除阻生智齿的操作顺序不同,拔牙术中智齿移动方式、过程亦不相同。如劈开法劈开的是一条线,首先挺出的是牙根部分,牙根不能前移,常需要去骨,而钻拔法磨出的是一沟槽,分牙后首先挺出的是牙冠部分,牙根可以前移,一般不需要去骨。所以分析智齿阻力来源及大小还应根据采取何种拔牙方法来判断,同样的一个阻生智齿,采取不同的拔除方法,它们所需要去除的阻力可能会有很大的不同。

如下面的一个阻生智齿,可有三种拔除方法:

1、劈开法:切开、翻瓣、去骨(凿)、劈开、挺除;

2、钻拔法:切开翻瓣、去骨(钻)、分牙、挺;

3、直接分牙拔除法:分牙拔除法(潜钻),可不切开、不翻瓣、不去骨拔除。

同样的阻生智齿的不同拔除方法

A.水平智齿仅露出远中牙冠

B.X线显示阻生智齿水平中位

C.直接分牙法并未切开、翻瓣、去骨拔除

D.智齿拔除,牙槽窝完好

总之,正确分析阻生智齿的阻力来源,采取适宜的拔除方法,可以避免手术盲目去骨,减少不必要的手术创伤,缩短手术时间,减少手术并发症。

友情链接: